[명의에게 묻다] 마흔 넘어 갑자기 변비가.."대장내시경 해봐야"
특별한 병변 없고 2∼3일에 한 번 배변한다면 '정상'
(서울=연합뉴스) 임종필 서울대병원 소화기내과 교수, 김길원 기자 = 김모(70.여)씨는 배변 횟수가 주 2회에 그치고, 배변 시에도 힘을 많이 주는 변비 증상이 10년 넘게 계속되고 있다. 피검사와 CT검사(컴퓨터단층촬영), 대장내시경 검사도 했지만, 아직 원인을 찾지 못했다. 병원에서 처방받은 약을 먹어도 그때뿐이었고, 끊으면 증상이 재발했다. 주변 사람들이 변비에 좋다고 하는 건강보조식품도 먹어봤지만 큰 효과를 보지 못하고 있다.
변비는 변을 보는 데 있어 지속적이거나 간헐적으로 어려움을 겪는 것을 말한다. 전체 인구 5명 중 1명은 생애 1차례 이상 변비를 경험하며, 전 인구의 4%가량은 배변 횟수가 '1주일에 3회 미만'으로 변비에 해당하는 것으로 알려져 있다.
이런 변비는 여성이 남성보다 3배 정도 더 흔하며, 나이가 60세를 넘으면 빈도가 급격히 증가한다.
하지만, 앞선 김씨의 사례처럼 변비 환자들은 병원에서 시행하는 여러 검사에도 불구하고 특별한 이상이 없다는 얘기를 듣곤 한다.

변비 증상은 우리가 칫솔질에 쓰는 치약과 비교하면 이해가 쉽다.
보통 치약을 금방 샀을 때는 내용물이 부드럽고 양도 충분해 뚜껑을 열고 살짝 눌러주기만 해도 치약이 잘 나온다. 하지만, 치약을 다 써 가거나, 실수로 뚜껑을 열어두어 딱딱하게 굳어 버리면 힘줘 꼭 짜야만 내용물이 겨우 나온다. 또한, 치약의 양이 많고 딱딱하지 않더라도 짜는 힘이 충분하지 않으면 치약이 나오지 않을 수 있다.
변비의 발생 과정도 이와 비슷하다. 다양한 원인으로 대장이나 직장의 운동기능에 이상이 생겨 변을 배출하는 힘이 충분치 않거나 반사 감각이 둔화했을 수 있어서다.
변비를 호소하는 환자들이 가장 걱정하는 건 대장암 때문에 발생하는 이차성 변비다.
하지만 대장암은 변비를 유발할 수 있는 다양한 원인 중 하나일 뿐이다. 당뇨병과 갑상선기능저하증 등 내분비질환, 고칼륨혈증 등 전해질 이상 질환, 파킨슨병, 다발성 경화증 등 근육 및 신경질환, 우울증 등 정신질환에 의해서도 변비가 생길 수 있다.
또 질병이 아닌 임신 또는 월경 주기의 황체기에도 변비가 올 수 있고, 탈장 등으로 배변 시 복압을 올리지 못하는 경우에도 변비가 생긴다.
이밖에 다른 질환으로 복용 중인 항콜린작용제, 혈압약, 간질약, 마약성 진통제, 중추신경 작용 약물, 알루미늄 포함 제산제, 철분도 변비를 유발할 수 있으므로 장기 사용할 경우 주의가 필요하다.
다만, 변비 증상을 호소해 다양한 검사를 해도 90% 이상에서는 기능성(특발성) 변비로 진단된다. 뚜렷한 이차성 원인이 밝혀지지 않는다는 얘기다.
![에스자 결장에 생긴 대장암으로 장폐쇄가 생겨서 유발된 변비 [서울대병원 제공]](https://img2.daumcdn.net/thumb/R658x0.q70/?fname=https://t1.daumcdn.net/news/201905/15/yonhap/20190515070012793uxdl.jpg)
사실 변비에 대한 정의는 매우 어렵다. 대부분이 매일 한 번씩 규칙적으로 배변하는 게 정상이라고 믿기 때문에 하루나 이틀만 배변을 걸러도 변비라고 생각하는 경향이 많다.
그러나 배변 횟수와 양은 개인의 식사습관과 정신적, 신체적 요소에 따라 다양한 차이가 있을 수 있다.
이런 이유로 세계 소화기질환 전문가들은 2016년 변비에 대한 국제 합의를 통해 '로마 진단기준 IV'를 만들었다.
이 기준에 따르면 기능성 변비는 ① 배변 시 무리하게 힘이 필요한 경우 ② 대변이 과도하게 굳은 경우 ③ 불완전한 배변감이 있는 경우 ④ 항문직장폐쇄감이 있는 경우 ⑤ 배변을 유도하기 위해 대변을 파내거나 회음부를 눌러야 하는 등 손동작이 필요한 경우 등의 불편함이 배변 4번 중 1회 이상 발생할 때 양성 소견으로 판정토록 했다.
여기에 더해 ⑥ 일주일 3번 미만의 배변 횟수를 포함, 총 6개의 기준 가운데 2개 이상에 해당해야 기능성 변비로 진단된다. 다만, 완하제(설사약)를 먹지 않았을 때는 무른 변이 없어야 하고, 과민성장증후군에 해당하는 복통을 동반하지 않아야 한다.
이와 함께 각 증상이 6개월 이전에 시작됐고 최근 3개월 동안 지속한 경우에도 기능성 변비에 해당한다.
기능성 변비의 원인으로는 식이섬유 및 수분 섭취 부족, 운동 부족, 여성호르몬(프로게스테론)의 증가, 변의에 대한 반응저하, 만성적인 자극성 완하제 복용에 의한 대장 신경 손상이 거론되고 있지만, 아직 과학적인 뒷받침이 없는 실정이다.
기능성 변비는 크게 정상 통과 시간형 변비, 서행성 변비, 기능성 출구폐쇄증 3가지 형태로 나뉘는데, 이 중에서도 정상 통과 시간형 변비가 가장 흔하다.
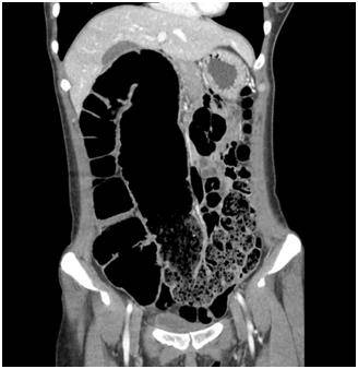
![서행성변비 복부 CT 영상. 상행 결장에서 횡행 결장이 심하게 늘어나 있으며 이보다 항문에 가까운 쪽에 대변이 차 있다. 대장 내 종괴 등 폐쇄를 유발하는 원인 병변은 보이지 않는다. [서울대병원 제공]](https://img2.daumcdn.net/thumb/R658x0.q70/?fname=https://t1.daumcdn.net/news/201905/15/yonhap/20190515070012871ycxl.jpg)
대부분 젊은 환자에서는 변비를 진단하거나 원인을 찾기 위한 별도의 검사가 필요하지 않다.
하지만 40세 이상이면서 없던 변비가 새로이 생겼거나, 배변 시 피가 나오거나, 의도하지 않은 체중감소, 대변 굵기의 변화, 심한 복통, 대장암 가족력 등 경고 증상이나 징후가 있는 경우에는 대장내시경을 포함한 검사를 해야 한다.
만약 변비 증상이 비교적 가볍다면 약물사용보다는 생활습관을 바로잡는 게 우선이다. 앉아서 일하고 비만한 사람이라면 운동시간을 늘리는 식이다. 또 평소 물과 식이섬유도 많이 먹는 게 좋다.
검사 결과 특별한 병변이 없는 상태에서 2∼3일에 1번 정도 배변을 보는 경우는 정상으로 생각해야 한다.
변비 치료를 위해서는 의사와 환자 간에 돈독한 신뢰 관계 형성도 중요하다.
생활습관의 교정과 1차 치료 약제에도 호전이 없다면, 2차 치료로 대변 완하제, 과삼투압 제제 등 약물이 추천된다. 이런 치료도 실패하면 자극성 제제, 폴리에틸렌글리콜 용액, 위장관운동 촉진제 등이 사용되는데 정기적으로 전문의와 상담을 받으며 증상에 따라 약물을 조절해야 한다.
특히 자극성 약물인 센나, 알로에, 비사코딜 등은 습관적으로 사용할 경우 내인성(內因性) 신경손상, 약물 의존성 등 다양한 부작용이 발생할 수 있는 만큼 급성 악화에 국한해 단기간만 사용하고, 장기 사용에는 주의를 기울여야 한다.
![임종필 서울대병원 소화기내과 교수 [서울대병원 제공]](https://img1.daumcdn.net/thumb/R658x0.q70/?fname=https://t1.daumcdn.net/news/201905/15/yonhap/20190515070012946qkzt.jpg)
◇ 임종필 교수는 1998년 서울의대를 졸업한 후 같은 대학에서 석박사 학위를 받았다. 현재 서울대병원 소화기내과 교수로 재직 중이다. 위장관 질환 중에서도 염증성장질환과 대장종양, 내시경치료에 권위자다. 염증성장질환 코호트 연구에도 참여 중이다. 서울대학교암병원에서 암정보교육센터장과 소화기내시경센터장을 맡고 있으며 대한장연구학회 학술이사로도 일하고 있다.
bio@yna.co.kr
- ☞ 호텔방 '석궁사망 미스터리'…30세 여성이 먼저 쏜듯
- ☞ 500대 기업중 38곳 '물갈이'…'톱10'도 2개사 교체
- ☞ 유시민, 정계복귀설에 "혹시 나중에 복귀하면 욕하라"
- ☞ "'사냥놀이'에 여중생 면전서 바지 벗겨…가래침까지"
- ☞ 서울 버스협상 타결…요금인상 피했지만 '세금' 투입
- ☞ "타다 OUT" 서울시청 인근서 택시기사 분신 사망
- ☞ "베트남 돼지열병, 중국서 왔다" 국내 연구진 첫 확인
- ☞ 헬기 타고 딸 학교 갔다가 재력 과시하나 '뭇매'
- ☞ "우즈의 식당서 과음하다 음주운전 사망"…우즈에 소송
- ☞ 박해미, 음주운전 사망사고 낸 남편과 협의이혼
▶연합뉴스 앱 지금 바로 다운받기~
<저작권자(c) 연합뉴스, 무단 전재-재배포 금지>
Copyright © 연합뉴스. 무단전재 -재배포, AI 학습 및 활용 금지
- 가수 김창열 "'다케시마의 날' 앞두고 일본서 입국거부 당했다" | 연합뉴스
- 태진아, 전한길 콘서트 출연설에 "정치적 행사 안 나가" 일축 | 연합뉴스
- "親트럼프 가정 출신" 20대, 총갖고 마러라고 진입하려다 사살돼(종합2보) | 연합뉴스
- [팩트체크] 생산공장 따라 과자 맛이 다르다?…"원재료·성분 동일" | 연합뉴스
- [쇼츠] 비행기 추락 '지옥불'에도 탑승자 전원 기적의 생존 | 연합뉴스
- 은밀한 일탈이 새천년의 '밤 문화'로…성인 나이트에 담긴 욕망 | 연합뉴스
- [샷!] "아들도 현실을 이해하고 귀국 택했다" | 연합뉴스
- 패륜 콘텐츠로 혐오 조장한 사이버 레커, 뒤로는 탈세 | 연합뉴스
- 뇌진탕 아이 태운 승용차, 도심마라톤 속 경찰 도움에 병원 도착 | 연합뉴스
- 춥고 우울해서 집안에 불 질러…금방 꺼졌지만 철창행 | 연합뉴스