난소암의 조용한 신호: 건강한 줄 알았던 40대 여성의 경고

최근, 정기적인 운동과 균형 잡힌 식사를 통해 건강한 생활을 유지하던 40대 중반의 여성들이 예상치 못한 난소암 판정을 받는 사례가 증가하고 있습니다.
이러한 여성들은 초기에 특별한 건강 문제를 느끼지 않았지만, 복부 팽만감과 빈뇨 증상을 경험하기 시작했지만, 이를 단순한 식습관 변화나 노화로 인한 것으로 여겼습니다.
이러한 증상이 단순한 식습관 변화나 노화로 인한 것으로 여겨지기도 하지만, 장기간 지속되면 반드시 전문의와 상담해야 합니다. 난소암은 초기 증상이 모호하여 진단이 늦어지는 경우가 많기 때문입니다.

난소암의 주요 증상
난소암의 초기 증상은 매우 모호할 수 있으며, 다른 질병의 증상과 유사합니다. 주요 증상으로는 다음과 같은 것들이 있습니다.

- 복부 팽만감: 배가 부어오르는 느낌이나 복부가 팽창한 느낌
- 복부 및 골반 통증: 복부나 골반 부위에 통증이 지속적으로 발생
- 소량의 음식을 먹고도 배부름: 소량의 음식을 먹어도 배가 부른 느낌
- 빈뇨: 잦은 배뇨나 급한 배뇨 욕구
- 체중 변화: 원인 모를 체중 감소
- 극심한 피로감: 이유 없이 지속적인 피로감
- 허리 통증: 허리 부위에 통증이 발생
- 폐경 이후 비정상적 출혈: 폐경 후에도 비정상적인 출혈이 발생
- 배변 습관 변화: 변비나 설사 등 배변 습관의 변화

조기 진단의 중요성
난소암은 초기에 발견할 경우 치료 효과가 크게 증가합니다. 그러나 대부분의 여성들이 증상이 나타나기 전까지는 진단을 받지 못하는 경우가 많습니다.
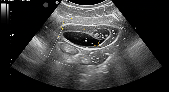
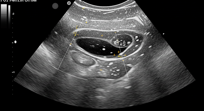
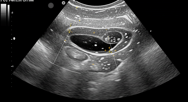
따라서 정기적인 부인과 검진과 초음파 검사가 중요합니다. 특히 40대 이후 여성이라면 이러한 검진을 1~2년마다 받는 것이 권장됩니다.

건강한 생활습관
난소암 예방을 위한 건강한 생활습관으로는 규칙적인 운동과 균형 잡힌 식사가 있습니다. 이러한 습관은 전반적인 건강 관리에 도움이 됩니다.
난소암은 조기 진단이 어렵지만, 증상이 나타나면 즉시 전문의와 상담하는 것이 중요합니다.
건강한 생활을 유지하면서도 자신의 몸 상태를 세심하게 관찰하는 것이 난소암 예방에 큰 도움이 될 수 있습니다.
Copyright © 반딧불