최근 재채기를 참다가 기도가 파열된 남성의 사례가 보도되어 큰 충격을 주고 있다.
영국의 30대 남성은 꽃가루 알레르기 증상으로 재채기가 나오려던 순간, 코를 쥐고 입을 다물며 재채기를 참으려 했고, 그 결과 심각한 통증을 호소하며 응급실을 찾게 되었다.

영국 던디 나인웰스 병원에 따르면, 이 남성(A씨)은 운전 중 재채기가 나오려 하자 코를 막고 입을 다물며 재채기를 참으려 했다.
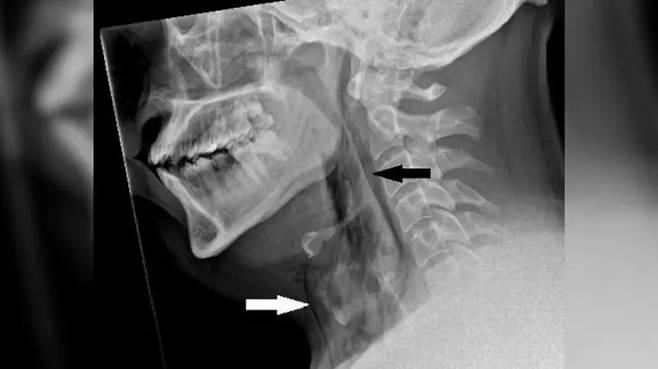
이로 인해 심한 통증이 발생했고, 응급실을 방문한 그는 X-ray 촬영 결과, 폐기종의 징후가 발견됐다.
CT 스캔에서는 목의 세 번째와 네 번째 뼈 사이에 기도가 찢어진 흔적이 보였으며, 이로 인해 공기가 목의 조직과 폐 사이로 빠져나갔다.
기도에 생긴 구멍의 크기는 지름 2㎜로, 이로 인해 급격히 증가한 압력이 기도에 영향을 미친 것으로 의료진은 진단했다.

영국 던디 나인웰스 병원에 따르면, 이 남성(A씨)은 운전 중 재채기가 나오려 하자 코를 막고 입을 다물며 재채기를 참으려 했다.
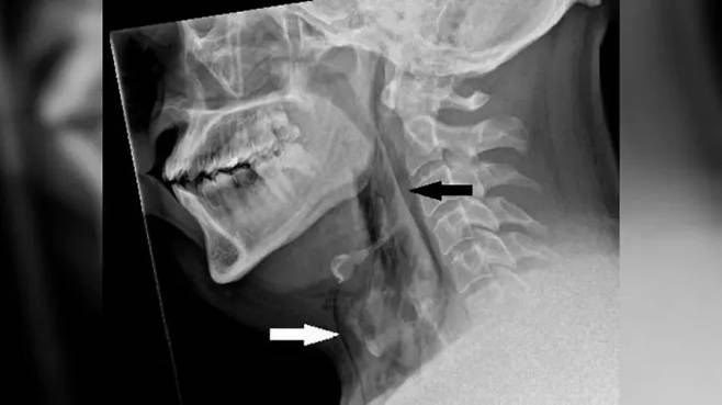
이로 인해 심한 통증이 발생했고, 응급실을 방문한 그는 X-ray 촬영 결과, 폐기종의 징후가 발견됐다.
CT 스캔에서는 목의 세 번째와 네 번째 뼈 사이에 기도가 찢어진 흔적이 보였으며, 이로 인해 공기가 목의 조직과 폐 사이로 빠져나갔다.
기도에 생긴 구멍의 크기는 지름 2㎜로, 이로 인해 급격히 증가한 압력이 기도에 영향을 미친 것으로 의료진은 진단했다.

의료 전문가들은 재채기를 참지 말고, 얼굴을 팔꿈치 안쪽이나 손으로 가려서 주변 사람들에게 바이러스가 전파되지 않도록 해야 한다고 권장한다.
또 다른 방법으로는 재채기가 나오려 할 때 윗입술 바로 아래를 엄지로 누르는 방법이 있다.
이렇게 하면 비강 통로를 막지 않으면서도 재채기를 멈추는 데 도움이 될 수 있다.

재채기를 참으면 고막 파열, 뇌동맥류 등 드물지만 심각한 건강 문제를 초래할 수 있다.
또한, 감기나 독감으로 재채기를 참으면 박테리아가 중이로 밀려들어 중이염을 유발할 수 있으며, 횡경막에 압력이 가해져 기흉을 일으킬 수도 있다는 경고도 있다.
재채기는 바이러스와 같은 자극 물질을 몸 밖으로 배출하는 중요한 생리적 기능이다.
이를 참는 것은 내부에 과도한 압력을 가해 위험을 초래할 수 있으므로, 되도록 참지 않고 적절한 방법으로 처리해야 한다.
만약 재채기와 관련된 증상이나 통증이 지속된다면, 반드시 전문가와 상담하여 적절한 조치를 취하는 것이 필요하다.
Copyright © 가지뉴스 All rights reserved.