간암 무섭다던데···1년에 두 번 ‘이 검사’ 챙기면 걱정 뚝 [건강 팁]
연간 1만5000여 명 신규 진단···암 발생률 7위
B형간염, 백신접종으로 감소···C형간염 증가세
B·C형 간염 및 간경변증 진단 시 간암 고위험군

간세포암(이하 간암)은 국내에서 일곱 번째로 많이 발생하는 암이다. 2021년 한해 동안 새롭게 진단된 환자는 1만 5131명에 달했다. 인구 10만 명당 암 사망률은 담도암에 이어 두 번째다. 경제활동을 활발히 하는 40·50대 남성에서는 암 사망률 1위라는 오명을 안고 있다. 간은 도저히 견딜 수 없을 정도로 망가져야 신호를 보낸다. 위에 염증이나 궤양이 생기면 속이 쓰리고 소화가 안 되는 등의 증상을 느낄 수 있지만 간에는 염증이 발생하더라도 자각 증상이 없을 수 있다. 웬만큼 지방이 끼거나 붓고 염증이 생겨서는 별다른 경고를 보내지 않기 때문이다. 몸이 붓고 황달이 생겼을 때는 이미 간 기능이 70% 이상 상실됐을 가능성이 높다.
국내 간암 발생의 원인 질환은 B형간염(60%), C형간염(10%) 등 만성 바이러스성 간염이 약 70%를 차지한다. 15%는 알코올성 간질환이며, 최근에는 대사이상 간질환이 빠른 속도로 증가하고 있다. 만성 간염 환자라고 해서 모두 간암이 발병하는 것은 아니다. 다만 건강한 사람에 비해 간암에 걸릴 확률은 훨씬 높다. 만성 간염에 걸리지 않는 게 간암을 예방하는 길이다.
신생아는 B형 간염 백신을 필수적으로 접종해야 한다. 어릴 때 백신 접종을 했더라도 성인이 되었을 때 항체가 검출되지 않을 수 있다. 이전에 항체 생성이 확인됐다면 재접종이 불필요하지만 항체 생성 여부를 모를 경우 백신을 다시 맞아야 한다. 국가적으로 백신 접종을 시행하면서 B형 간염 보유자는 점차 감소하고 있다. 반면 C형 간염 보유자는 증가하는 추세다. C형 간염은 동양보다 서양에 더 많다. 피어싱·문신·마약·주사 등 주로 혈액을 통해 감염된다. C형 간염은 현재 예방 백신이 없으므로 간염 바이러스에 노출되지 않는 것이 중요하다.

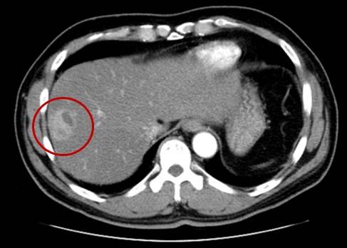
암 치료 기술의 발전으로 간암의 5년 생존율은 39.3%까지 높아졌다. 그러나 여전히 다른 암종에 비해 치료 성적이 낮은 편이다. 간암은 주로 만성 간질환의 결과로 발생하는데, 간암을 치료하더라도 만성 간질환이 치료되는 것은 아니라 재발률이 높기 때문이다. 간경변증으로 간이 이미 많이 나빠진 상태에서는 치료 선택지가 제한되다보니 치료 효과가 떨어질 수밖에 없다. 따라서 B형, C형간염이나 간경변증을 진단받은 40세 이상 고위험군은 국가암검진 프로그램을 통해 6개월마다 간 초음파검사와 혈액검사(혈청알파태아단백 검사)를 받아야 한다. 간경변증이나 지방간이 심해 초음파 영상만으로 간암을 발견하기 어려운 경우 컴퓨터단층촬영(CT)이나 자기공명영상(MRI)이 필요하다. 전문의의 처방에 따라 항바이러스제를 복용할 수도 있다. 현재 C형간염은 항바이러스제를 투약하면 완치가 가능하다. 간염 환자라도 정기 검진을 받고 올바른 생활습관을 갖는다면 간암 발생 위험을 낮출 수 있다.
사회적으로 음주 문화가 퍼지면서 알코올성 간질환에 의한 간경변 및 간암 환자도 증가하는 추세다. 특히 바이러스성 간염 환자에게 잦은 음주는 간을 빠른 속도로 손상시켜 간암 발생 위험을 높일 수 있으므로 금주가 필수다.
간암의 수술적 치료는 크게 간절제와 간이식으로 나뉜다. 간절제는 간암 환자의 30% 정도에서만 가능하다. 암이 진행돼 있지 않고 잔여 간 기능이 충분하다는 전제조건을 충족해야 한다. 최근에는 복강경 혹은 로봇을 활용한 최소 절개를 통해 환자들의 삶의 질과 수술 성적을 향상시키려는 노력이 활발하다. 간암 자체는 조기에 발견됐으나 간 기능이 나쁘면 수술로 절제하기 어려우므로 간이식을 시행한다. 간경변증이 심한 환자에게도 간이식이 유일한 치료법이 될 수 있다.
크기가 작은 간암은 고주파열치료술(RFA), 체외방사선치료 등 국소 치료를 진행한다. 여러 개의 간암이 동시에 있거나 수술적 치료가 어려운 경우 간동맥화학색전술(TACE) 또는 방사선색전술(TARE)을 고려할 수 있다. 간암 조직에 영양분과 산소를 공급하는 간동맥에 항암제나 고선량 방사능을 가진 미세구를 투여하는 치료법이다. 간암이 간 밖으로 전이됐거나 많이 진행됐다면 항암제 치료를 고려한다. 간암을 완전히 치료했더라도 남아있는 병든 간에서 암이 또 발생할 가능성이 있다. 따라서 간암 치료 후 정기적인 추적 관찰이 중요하다. 원인이 되는 만성 간질환 관리와 함께 적절한 항바이러스 치료를 시행하면 재발 위험을 줄일 수 있다.

Copyright © 서울경제. 무단전재 및 재배포 금지.
- '기록 제조기' 오타니, 美 프로스포츠 사상 첫 ‘만장일치 MVP 3회’
- '선행도 영웅급' 임영웅팬, 소아 화상환자 위해 3천달러 기부
- 5만 관중 앞 '알몸'으로 등장한 여성…경기장 뛰어다니다 체포, 무슨 일?
- 지연·황재균, 얼굴도 안 보고 남남 됐다…조정 끝 이혼 확정
- 민희진 “BTS 뷔가 새벽에 문자”→훈련병이 새벽에 휴대폰?…국방부 “특혜 아냐” 해명
- '지구 종말의 날 물고기' 또…美 서남부 해안서 3번째 발견, 무슨 일?
- 'LoL 전설' 페이커 '실패 모여 지금의 나…혐오와 차별 안타까워'
- 민희진 '더 이상은 시간 낭비'… 어도어 떠난다
- '임영웅, 인기 가수 넘어 '사회문화적 현상''…학술대회 열린다
- '사찰 갔다가 치킨 먹으면 완벽' 中 관광객 '핫플'된 이 곳 …스님들도 놀랐다