
아침에 일어나면 몸 상태가 밤 동안의 건강 변화를 보여줍니다. 특히, 이 증상이 반복된다면 단순한 피로나 감기가 아니라 폐암의 초기 신호일 수 있습니다.
지금부터 폐암과 관련된 아침 증상 3가지를 알려드립니다.
첫 번째, 아침에 극심한 기침이 멈추지 않는다.

자고 일어나자마자 마른기침이 계속되거나목에 가래가 끼고, 기침 소리가 점점 심해진다면 폐 건강을 의심해봐야 합니다.
특히, 3주 이상 지속되는 기침은 폐암 초기 증상일 가능성이 높습니다.
두 번째, 밤새 식은땀을 심하게 흘린다.

폐암이 진행되면 체온 조절 기능이 약해져
자고 일어나면 옷이 흠뻑 젖을 정도로 식은땀이 날 수 있습니다.
특히, 감기 증상 없이 열감과 함께 식은땀이 지속된다면 단순한 면역 저하가 아니라 폐암의 신호일 가능성이 있습니다.
세 번째, 숨이 차고 가슴이 답답하다.

아침에 일어났을 때 숨이 가빠지고, 가슴이 답답하거나 묵직한 느낌이 든다면 폐에 종양이 생겼을 가능성을 배제할 수 없습니다.
특히, 숨 쉴 때 휘파람 소리 같은 잡음(천명음)이 들린다면 즉시 병원 검사를 받아야 합니다.
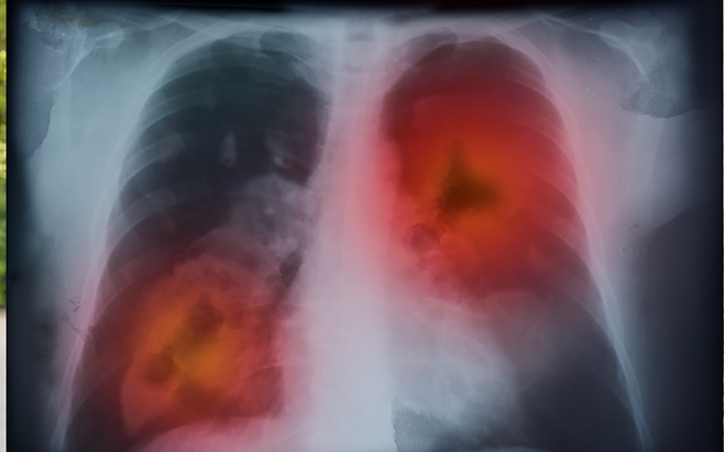
폐암은 초기에 증상이 뚜렷하지 않아 이런 작은 신호를 놓치지 않는 것이 중요합니다.
아침마다 기침이 심해지거나, 숨이 가빠지고 식은땀이 난다면 지체하지 말고 병원을 찾아 검사를 받아보세요. 조기 발견이 생명을 지킵니다.
Copyright © 뇌생각