
최근 국내 신장암 환자가 급증하고 있습니다. 2022년 기준 약 7,000명이 새로 신장암 진단을 받았으며, 10년 사이 1.5배 이상 증가했습니다. 신장은 우리 몸 노폐물 배출과 수분·전해질 조절, 적혈구 생성 호르몬 분비 등 생명 유지에 필수적인 장기입니다.

분당서울대병원 비뇨의학과 변석수 교수는 신장암 발생 위험을 높이는 핵심 요인으로 고혈압, 비만과 함께 ‘흡연’을 꼽았습니다. 흡연은 신장의 혈류 불균형과 허혈 상태를 악화시켜 종양 발생에 영향을 미치는 것으로 알려졌습니다.
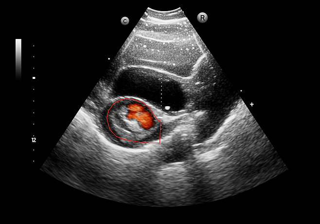
초기 신호는 사라진다…조기 발견 중요성
신장암은 초기 증상이 거의 없어, 암이 커져 혹이 만져지거나 혈뇨, 통증 등의 증상이 나타나면 이미 3기 이상 진행된 경우가 많습니다. 전체 환자의 약 80%는 건강검진 중 우연히 발견되며, 이때면 종양 크기가 작아 치료 성적이 좋은 편입니다.
신장암이 ‘착한 암’이라 불리는 이유도 조기 진단 시 10년 생존율이 1기에서 98%, 2기에서도 80% 이상에 이르기 때문입니다. 치료법으로는 수술적 절제가 표준이며, 신장 기능을 최대한 보존하는 부분 절제술과 로봇 수술이 선호됩니다.
생존율 높이는 ‘로봇 수술’과 비수술 치료
특히 3cm 이하의 종양은 고주파, 냉동 치료 등 비수술적 방법이나 적극적 관찰이 가능합니다. 4기 암 환자도 면역항암제와 표적 치료제 병합요법 덕분에 생존률이 크게 개선되고 있습니다.

예방을 위한 기본 생활 수칙
혈압 철저 관리
적정 체중 유지
금연
정기적 건강검진과 복부 초음파 검사 병행
적당한 물 섭취 (과다 섭취 시 숙면 방해 주의)

신장암은 조기에 발견하면 충분히 극복 가능한 질병입니다. 위험인자를 가진 사람은 정기 검진을 통해 조기 발견에 힘써야 하며, 평소 건강한 생활습관으로 예방해야 합니다.
Copyright © 반딧불