
건강을 위해 꼭 챙겨야 할 양치 습관에 대해 이야기해보려고 해요.
많은 사람들이 건강한 치아를 유지하기 위해
하루 3번 이상 양치하는 것이 좋다고 생각하지만,
50대 이후에는 양치 습관을 조금 조정할 필요가 있습니다.
왜냐하면 과도한 양치가 오히려 잇몸과 치아 건강을 해칠 수 있기 때문입니다. 🦷

1. 잇몸이 약해지는 시기 🩸
50대 이후에는 잇몸 조직이 점점 약해지고 퇴축이 시작됩니다.
너무 자주, 세게 양치하면 잇몸이 손상되고 치아 뿌리가 노출될 위험이 있습니다.
이는 치아의 민감도를 높이고 시린 이 증상을 유발할 수 있습니다.
또한, 잇몸이 퇴축하면 세균이 쉽게 침투할 수 있어
잇몸 질환의 위험이 높아집니다.

2. 법랑질이 점점 얇아진다 ⚠️
치아의 바깥층인 법랑질은 나이가 들수록 점점 얇아집니다.
특히 강한 마찰을 주는 칫솔질은 법랑질을
더 빠르게 마모시키는 원인이 됩니다.
법랑질이 닳으면 충치가 발생하기 쉬우며 치아의 강도가 약해질 수 있습니다.
따라서 50대 이후에는 부드러운 칫솔을 사용하고,
너무 강한 양치는 피하는 것이 좋습니다.

3. 타액 분비 감소 💧
나이가 들면 자연스럽게 타액 분비량이 줄어들어 입안이 건조해집니다.
타액은 입속 세균을 제거하고 충치를 예방하는 중요한 역할을 합니다.
하지만 과도한 양치는 오히려 타액 분비를 줄여 구강
건강을 더 악화시킬 수 있습니다.
입이 건조하면 구취가 심해지고 충치가 생길 가능성이 높아지므로
적절한 양치 습관이 필요합니다.

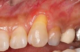
4. 잇몸 퇴축으로 인한 시린 이 문제 🥶
양치질을 자주 하면 잇몸이 점점 퇴축하여 치아 뿌리가 노출됩니다.
이 부분은 법랑질보다 약한 상아질로 이루어져 있어 쉽게 마모되고
시린 증상이 심해질 수 있습니다.
특히 찬 음료나 신 음식 섭취 시 통증이 발생할 수 있어 주의가 필요합니다.
양치 후에는 부드러운 칫솔을 사용하고,
치약도 민감성 치아에 맞는 제품을 선택하는 것이 중요합니다.

5. 양치 대신 구강 건강을 유지하는 대안 방법 🦷✨
양치질은 하루 2번으로 조정: 아침과 저녁, 즉 하루 2번 정도 부드러운 칫솔을 사용하여 양치하는 것이 좋습니다.
치실과 가글 사용: 양치를 덜 하더라도 치실과 가글을 꾸준히 사용하면 플라그 제거와 입속 세균 감소에 도움이 됩니다.
치아 보호 음식을 섭취: 치아 건강에 좋은 유제품, 채소, 견과류 등을 섭취하면 자연스럽게 구강 건강을 유지할 수 있습니다.
전문적인 치과 검진: 정기적으로 치과를 방문하여 잇몸 상태를 확인하고 필요하면 스케일링을 받는 것이 좋습니다.

6. 올바른 양치 습관 유지하기 ✅
과도한 양치보다는 효과적인 양치 습관을 유지하는 것이 중요합니다.
올바른 칫솔을 선택하고,
적절한 양으로 치약을 사용하며, 부드러운 압력으로 양치하는 것이 좋습니다.
또한, 칫솔 교체 주기를 지켜서 항상 깨끗한 칫솔을 사용하는 것도 중요합니다.

7. 추가로 신경 써야 할 점 🤔
과도한 양치질은 치아 미백 효과를 감소시킬 수 있다
칫솔모가 너무 딱딱하면 치아 손상을 유발할 수 있다
구강 건강을 위해 하루 2리터 이상의 수분 섭취가 필요하다
50대 이후에는 무조건 자주 양치하는 것보다,
올바른 방법으로 치아와 잇몸을 보호하는 것이 더 중요합니다.
치과에서 정기 검진을 받고,
자신에게 맞는 구강 관리 습관을 유지하는 것이
건강한 치아를 유지하는 비결입니다. 😊
Copyright © '건강한 하루' 를 보낼 수 있도록!