
회식 자리, 술 한 잔 곁들일 때 혹은 친구 따라 한두 대 피우는 담배.
“매일 피우는 것도 아닌데 괜찮지 않을까? ”많은 사람들이 이렇게 생각합니다.
하지만 전문가들의 답은 의외로 단순합니다. “안전한 담배는 없습니다.”
‘가끔 피우는 담배’도 몸은 기억합니다

흡연의 위험은 ‘양’보다 노출 여부 자체에 더 가깝습니다. 담배 한 대를 피우는 순간, 니코틴과 타르, 일산화탄소 등 수천 가지 유해 물질이 혈관을 타고 온몸을 순환합니다.
특히 문제는 혈관과 심장입니다. 연구에 따르면 하루 한 갑을 피우는 사람과 ‘하루 1~2개비만 가끔 피우는 사람’ 사이의심혈관 질환 위험 차이는 생각보다 크지 않습니다.
몸은 “가끔이니까 봐주자”라고 판단하지 않습니다.
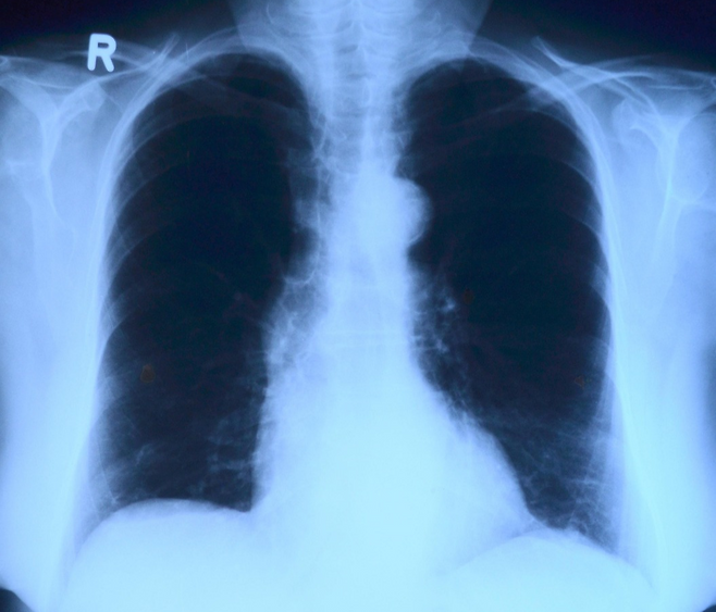
폐는 더 솔직합니다

폐는 회복력이 강한 장기지만, 담배 연기에 노출되는 순간 염증 반응이 즉각적으로 시작됩니다.
기침이나 가래가 없어도, 숨이 차지 않아도 미세한 손상은 이미 누적되고 있을 수 있습니다. 문제는 이런 변화가 상당히 진행될 때까지 증상이 거의 없다는 점입니다.
‘나는 중독 아니야’라는 착각
사회적 흡연자들이 가장 자주 하는 말이 있습니다. “원하면 언제든 끊을 수 있어요.”
하지만 니코틴은 뇌의 보상 회로를 빠르게 학습시킵니다. 특정 상황(술, 스트레스, 사람 관계)과 흡연이 연결되면 흡연 빈도는 서서히 늘어나는 경우가 많습니다.
실제로 많은 정기 흡연자들이 처음엔 모두 ‘가끔 피우는 사람’이었습니다.
전자담배·궐련형은 괜찮을까?

“연기가 없으니까 덜 해롭지 않나요? ”전문가들은 고개를 젓습니다.
전자담배 역시 니코틴을 전달하며, 혈관 수축·심박수 증가·중독 위험은 그대로입니다. ‘덜 해롭다’는 말이 ‘안전하다’는 뜻은 아닙니다.
한 대도 ‘예외’는 아닙니다
전문가들이 공통으로 말하는 결론은 이렇습니다.
흡연은 단순 빈도의 문제가 아니라, 노출의 문제입니다. 가끔 피우는 담배도 몸에 분명한 부담을 줍니다.
만약 지금 스스로를 “나는 흡연자는 아니고, 그냥 가끔”이라고 생각하고 있다면 지금 담배를 끊어야 할 시점일 수 있습니다.
‘사회적 흡연’이라는 말은 있어도, 몸에는 ‘사회적으로만 해로운 담배’는 없습니다.
Copyright © 해당 콘텐츠의 저작권은 3분건강레터에게 있습니다.