바늘로 찌르는 듯한 손톱 밑 통증..'사구체종' 의심해봐야
전체 맥락을 이해하기 위해서는 본문 보기를 권장합니다.
여름철 설거지를 하려고 찬물을 틀어두고 손을 넣었는데, 바늘로 손톱 밑을 찌르는 듯한 아픔이 느껴졌다면 '사구체종'을 의심해봐야 한다.
6일 전문가들은 스치기만 해도 손끝이 아린 사구체종양은 눈에 보이는 증상이 없고, 통증이 있다가도 조금 지나면 사라지는 특성 때문에 환자들이 치료 기회를 놓치는 경우가 많다고 조언했다.
사구체종양은 보통 손톱 밑과 뼈 사이에 발생하기 때문에 수술 시 일반적으로 손톱을 들고 종양을 제거하며 수술 시간은 약 30분 정도 걸린다.
이 글자크기로 변경됩니다.
(예시) 가장 빠른 뉴스가 있고 다양한 정보, 쌍방향 소통이 숨쉬는 다음뉴스를 만나보세요. 다음뉴스는 국내외 주요이슈와 실시간 속보, 문화생활 및 다양한 분야의 뉴스를 입체적으로 전달하고 있습니다.
![설거지 [연합뉴스TV 제공]](https://img3.daumcdn.net/thumb/R658x0.q70/?fname=https://t1.daumcdn.net/news/201908/06/yonhap/20190806114813890jbky.jpg)
(서울=연합뉴스) 강애란 기자 = 여름철 설거지를 하려고 찬물을 틀어두고 손을 넣었는데, 바늘로 손톱 밑을 찌르는 듯한 아픔이 느껴졌다면 '사구체종'을 의심해봐야 한다.
6일 전문가들은 스치기만 해도 손끝이 아린 사구체종양은 눈에 보이는 증상이 없고, 통증이 있다가도 조금 지나면 사라지는 특성 때문에 환자들이 치료 기회를 놓치는 경우가 많다고 조언했다.
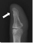
사구체종양은 모세혈관이 털 뭉치처럼 얽혀 형성된 사구체에 양성 종양이 발생한 질환이다. 사구체는 피부의 정상조직으로 피부 아래 인접 부위에 있다.
체온조절을 돕는 기능을 하는 꼬인 형태의 혈관 덩어리인데 이 사구체에 이상 비대가 생기면 바로 사구체종양이 된다. 보통 5㎜∼1㎝의 작은 크기다.
주로 여성에게 잘 발생하고, 손톱이나 발톱 아래에서 주로 생기며 통증이 극심하다. 해당 부위를 누를 때나 스칠 때, 찬물에 손을 넣었을 때 통증이 심하며 겨울철에는 찬바람에도 욱신거리며 통증이 생길 수 있다.
종종 종양이 있는 부위의 손발톱이 갈라지거나 변색이 되는 경우도 있지만, 육안으로는 쉽게 확인할 수 없는 경우가 많다. 종양 크기가 작아 초음파 검사로도 발견하기가 어렵고, 종양 발생 후 오랜 기간 치료가 지연된 경우 수지골의 함몰이 동반될 수 있다.
사구체 종양 치료는 종양의 위치를 정확히 파악해 수술로 제거해야 한다. 사구체종양은 보통 손톱 밑과 뼈 사이에 발생하기 때문에 수술 시 일반적으로 손톱을 들고 종양을 제거하며 수술 시간은 약 30분 정도 걸린다.
박종웅 고려대안암병원 정형외과 교수는 "사구체종양은 손에 생기는 종양의 약 1%를 차지하는 드문 양성 종양"이라며 "최근에는 정밀한 진단은 물론 사구체종양 절제술 시 가능한 한 손톱을 절개하지 않고 종양을 제거함으로써 수술 후 손톱이 갈라지는 기형을 방지하고 있다"고 말했다.
이어 "손끝이 찬물에 닿을 때 저린 통증이 발생하거나 볼펜 끝으로 손톱 뿌리 부분이나 손톱 주변을 누를 때 눈물이 날 정도의 통증이 있다면 병원을 방문해 상담을 받아봐야 한다"고 당부했다.
![손가락 끝 사구체종양 [고대안암병원 제공]](https://img4.daumcdn.net/thumb/R658x0.q70/?fname=https://t1.daumcdn.net/news/201908/06/yonhap/20190806114813982jyyy.jpg)
aeran@yna.co.kr
- ☞ '불매운동' 日맥주, 7월 수입량 확인했더니…
- ☞ 일본 간다던 크고 강한 태풍 '레끼마' 진로 급변경?
- ☞ 北탓에 이재용도 최태원도 미국갈때 비자 만들어야
- ☞ 2019 미스코리아 전원, 日주최 미인대회 불참
- ☞ 란제리 브랜드가 트랜스젠더 女모델을 뽑은 이유
- ☞ 황교안 "미사일 쏘는 사람들과 어떻게 경협하나"
- ☞ 日지자체, 韓관광객 줄까 노심초사…韓항공사에 '읍소'
- ☞ 중사가 같은 부대 하사가 몰던 차에 치여 숨져
- ☞ 바가지만 있나?…피서 절정 해수욕장 '무질서도 극성'
- ☞ "日기업 아닙니다"…다이소·쿠팡 해명 '진땀'
▶연합뉴스 앱 지금 바로 다운받기~
<저작권자(c) 연합뉴스, 무단 전재-재배포 금지>
Copyright © 연합뉴스. 무단전재 -재배포, AI 학습 및 활용 금지
- 고려대, '인천대 교수임용' 유승민 딸 연구부정 의혹 조사 | 연합뉴스
- 완전체 깨진 뉴진스…"하니는 어도어 복귀, 다니엘은 계약해지"(종합) | 연합뉴스
- 가평 풀빌라 수영장서 배수구에 팔 끼인 9세 남아 숨져 | 연합뉴스
- 거제 캠핑카서 사실혼 남녀 의식 없이 발견…1명 사망·1명 중상 | 연합뉴스
- 햄스터 강제 합사·잔혹 학대 생중계…경찰, 수사 착수 | 연합뉴스
- BJ·사업가 주거지서 마약류 수천회 투약…간호조무사 구속 | 연합뉴스
- [샷!] "저희는 레벨테스트는 하지 않습니다" | 연합뉴스
- 경산 일가족 사망사건 가장 등 마지막 행적 집중 조사(종합) | 연합뉴스
- 고흐 대표작 '별밤'이 물리학 현상 '난류' 묘사?…논쟁 가열 | 연합뉴스
- 수리남 칼부림에 아이 포함 9명 사망…"근래 최악 사건" | 연합뉴스