[최승일 원장의 눈,사람..] 백내장, 잘 안보이는데? 그럼 나도 심봉사?
[헤럴드POP][강남 성모에이스안과 최승일 대표원장]
과학과 문명이 눈부시게 빠른 속도로 발달이 되면서 우리 신체의 질환도 상당한 변화를 가져오고 있습니다.
수명이 길어짐에 따라 과거에는 몰랐던 질환이 이제는 누구나 당연히 생기는 질환으로 또 불치병이었던 것이 약으로 치료가 되는 시대에 살고 있습니다.
백내장...평균 수명 60세가 안되던 시절에는 중요 질환이 아니었는데 최근 몇 년간 건강보험공단 발표를 보면 수술 1위에 올라가 있는 안과 대표적인 질환으로 되었습니다.
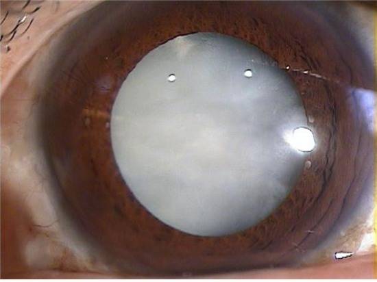
백내장은 눈 속의 수정체가 혼탁이 되어 생기는 것으로 수정체는 카메라의 렌즈에 해당하는 부위로 물체를 굴절시켜 필름에 해당하는 망막에 상을 맺게 해줍니다.카메라의 렌즈가 흐리면 사진이 희미하게 찍히듯이 수정체가 흐려지면 물체가 희미하게 보이게 되는데 이와같이 수정체가 흐려지는 것을 백내장이라 합니다. 수정체가 흐려지면 눈속이 까맣게 비쳐보이던 애기동자가 하얗게 된 수정체 때문에 희게 보여 백내장이란 병명이 붙게 되었습니다.

우리 몸의 세포는 노화가 되어 죽으면 탈락이 되고 대부분 몸 바깥으로 떨어져 나가는 것에 비해 눈 속 수정체는 세포가 죽으면 수정체 내부로 차곡차곡 쌓이게 됩니다. 쌓인 것이 수정체 가운데로 모이면서 단단해지는 것이 노인성 핵백내장으로 백내장 중에선 가장 많이 발생합니다.
그 밖에 임신 초기에 산모가 풍진에 감염됨으로 발생하는 선천백내장, 눈에 상처를 받거나 열이 나 방사선에 노출됨으로 써 일어나는 외상성 백내장이 있습니다.
또 녹내장이나 망막색소변성 등에 의해 발병하기도 하며, 당뇨병과 같은 전신질환에 동반되기도 합니다. 부신피질 호르몬제나 녹내장 치료제를 장기간 사용하는 사람에 생기는 경우도 있습니다.
백내장의 증상은 통증이 없이 단지 시력장애만 일으킵니다.
초기에는 원거리 시력이 다소 장애를 받으나 점점 진행되어 심한 시력장애를 초래하게 됩니다. 초기라도 수정체의 중심부위에 혼탁이 생기면 밤에는 동공이 커져 물체가 잘 보이지만 낮에는 동공이 축소되어 잘 보이지 않으므로 "주맹" 이라고 합니다.
초기, 특히 미숙백내장의 경우 수분이 수정체 안으로 흡수돼 수정체가 팽창함으로써 일시적인 근시현상이 나타납니다. 따라서 평소 돋보기를 사용하던 사람이 돋보기 없이 신문이나 책을 읽게 되면 눈이 좋아졌다고 생각하기 쉬우나 사실은 백내장이 진행되고 있음을 알아야 합니다.
수정체가 좀더 팽창하여 동공을 막게 되면 녹내장이 발생되어 두통, 안통, 충혈, 시력장애를 일으키고 심하면 구토까지 합니다. 그래서 내과질환과 혼동해 치료시기를 놓쳐서 실명하는 수도 있습니다. 적당한 시기에 수술을 하지 않고 방치해서 과숙백내장이 되면 녹내장이 되거나 또는 수정체단백에 의한 과민반응으로 눈 안에 염증이 생기기도 합니다.
50여년 전에는 백내장수술이 어려워 완전히 혼탁해질 때까지 안약과 약물치료를 하였습니다.초음파백내장 수술기법이 개발되면서 점안마취를 하고 3mm 정도의 작은 절개창을 열어 혼탁된 백내장을 제거하고 돗수에 맞는 인공수정체를 삽입하는데 인공수정체는 생체적으로 적합하여 원래의 수정체 역할을 하면서 영구히 그 자리에 있게 되며, 최근에는 접는 인공수정체, 자외선 차단 인공수정체, 다초점 인공수정체 등이 개발되어 환자의 상태에 따라 적합한 렌즈를 삽입하게 됩니다. 수술 후 하루정도 안정을 취하면 일상생활이 가능하며 수술 후 염증빈도도 최소로 줄일 수 있기 때문에 입원이 필요 없이 통원수술로 백내장을 깨끗이 해결할 수 있습니다.
전래동화 중 심청전을 보면 심봉사 심학규는 어릴때부터 시력이 없이 지내다가 인당수에 빠진 심청이가 하늘이 감동 황후가 되고 아버지를 그리워해 맹인들을 초대하는데 이곳으로 온 심봉사는 심청이를 만나고 기쁜 나머지 눈을 뜨게 된다는 얘기인데 아마 백내장이 과숙으로 있다 백내장이 눈속 초자체쪽으로 빠지면서 눈이 떠진 것이 아닌가 추측을 하고 있습니다.

수술 후 6개월에서 2년 사이에 발생하는 것으로, 잘 보이다가 점점 흐려지는 경우가 생깁니다. '후낭혼탁' 이라 하며 이는 백내장이 다시 생기는 것이 아니며, 인공수정체를 넣은 낭에 혼탁이 오는 것을 말하며, 시력저하가 있는 경우 외래에서 간단히 레이저요법을 시행하면 전과 같이 즉시 시력이 회복됩니다.
수술 후 시력회복의 정도는 수정체뿐만이 아니라 각막, 초자체, 망막 등 우리 눈의 여러 가지 요소에 의해 결정이 됩니다.
우리의 눈에는 매체라 하여 빛이 통과해야 하는 부분들이 있는데 각막, 전방, 수정체, 초자체 등이 이에 해당하며 이들 매체를 통과한 빛이 망막에 정확히 상을 맺어야 하고 또한 시신경을 통해 뇌에까지 전달되어 뇌에서 제대로 인지하여야 비로소 잘 볼수 있게 되는 것입니다.
백내장 수술은 수정체에만 해당되는 수술이므로 수정체외의 다른 원인에 의한 시력장애는 백내장 수술만으로는 회복되지 않습니다. 백내장이 심한 경우는 빛이 들어가지 않아 초자체, 망막이 보이지 않으므로 수정체외의 다른 부분의 이상 유무를 수술 전에 발견하지 못할 경우도 있습니다.
평소와 달리 시력이 흐려지는 경우에는 빨리 안과를 방문하여 눈에 대한 전반적인 검사가 필요합니다. 치료시기를 놓쳐 시력회복이 영구히 안되는 경우가 발생해서는 절대 안됩니다.
*외부 필진 칼럼은 본지의 편집 방향과 다를 수 있습니다.
entnews@heraldcorp.com
- Copyrights ⓒ 헤럴드POP & heraldpop.com, 무단 전재 및 재배포 금지 -
Copyright © 헤럴드경제. 무단전재 및 재배포 금지.
- 나이가 들수록 살찌는 이유 알고보니..
- 손담비, 운동복 차림에 S라인 볼륨몸매 과시
- 박서준 백진희, 두번재 열애설은 우연?
- '롤챔스' 조은정, 알고보니 이대 무용학과 출신 '여신'
- 송지효 개리 '월요커플' 과감한 스킨쉽
- “김마리아가 누구야?”…송혜교, 또 나섰다
- “만점 받아도 의대 어렵다” 국·수·영 다 쉬운 수능에 입시 ‘혼란’ 예고
- ‘여직원 성폭행 논란’ 김가네 회장…‘오너 2세’ 아들이 사과하고 ‘해임’
- 김소은 '우결' 남편 故송재림 추모…"긴 여행 외롭지 않길"
- [단독] 사생활 논란 최민환, ‘강남집’ 38억에 팔았다…25억 시세차익 [부동산360]