[리빙 앤 조이] 잇몸질환 원인 플라그 잇몸약으로 제거 못해요



예방차원 보조제일 뿐··· 스케일링 등 치료 병행해야
#1 4년 전부터 잇몸에서 피나고 붓는 증상이 시작된 조영훈(가명ㆍ55)씨는 약국에서 잇몸약을 사먹기 시작했다. 광고에서 처럼 잇몸약을 먹으면 튼튼한 잇몸을 갖게 될 것이라고 기대했다. 잇몸약을 먹으니 피나고 붓는 증상이 호전돼 이후 잇몸질환 증상이 있을 때마다 사먹었다. 하지만 요즘 들어선 잇몸약을 먹어도 잇몸이 붓고 욱신거리는 증상이 계속돼 치과를 찾았다. 이미 잇몸질환이 꽤 악화된 상태였다. 어금니 부분은 상태가 심각해 7~8개 치아를 모두 빼야 한다는 의료진의 말을 들은 조씨는 처음 증상이 나타났을 때 잇몸약을 완벽한 치료제라고 과신, 치과를 찾지 않은 것을 후회하고 있다.
#2 이명훈(가명ㆍ67)씨는 잇몸이 자주 붓고 차갑거나 뜨거운 것을 먹으면 시리다. 전형적인 잇몸(치주)질환 증상이다. 하지만 지난 10여 년간 치과에 한 번도 가본 적이 없다. 나이가 들면서 당연히 잇몸이 약해진 것이라고 생각한 이씨는 증상이 있을 때마다 잇몸약을 사서 복용했다. 하지만 조금 불편할 뿐 심각하지 않게 생각했던 잇몸이 최근 욱신거리고 심한 통증까지 느껴져 결국 치과를 찾았다. 치과의사로부터 "염증으로 잇몸뼈가 많이 소실돼 5~6개 치아를 빼고 인공치아를 해넣어야 한다"는 끔직한 얘기를 들었다.
최근 보건복지부가 발표한 통계자료에 따르면 성인의 82%가 잇몸에서 피가 나거나 치석 제거 이상의 치료를 받아야 하는 잇몸질환자인 것으로 조사됐다. 하지만 많은 사람들이 잇몸질환을 가볍게 여기고 방치하다 악화돼 낭패를 보는 경우가 많다. 치과의사들은 특히 "잇몸약이 잇몸질환을 완치시켜 줄 수 있는 것으로 과신하면 더 큰 화를 부를 수 있다"고 주의를 당부했다.
◇"잇몸약은 잇몸질환 일으키는 치태 제거 못해"
= 국내 잇몸약 시장은 400억원 규모를 웃돌며 30종이 넘는 제품이 나와 있다. 시장규모는 매년 두자릿수 이상 커지고 있다. 잇몸약만 먹으면 질긴 고기와 오징어를 끄떡없이 씹을 수 있게 된다는 광고도 흔히 볼 수 있다.
그러나 잇몸약은 일시적으로 염증을 줄이거나 통증을 완화시켜 주는 보조 치료제일 뿐 잇몸질환의 근본 원인인 치태(플라그)와 치석을 제거하지 못한다. 따라서 반드시 치과 치료를 병행해야 한다.
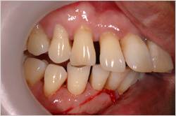
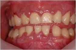
잇몸병의 주요 원인은 세균막인 치태다. 관리 소홀로 오랫동안 치태가 쌓이면 단단하게 굳어 세균 덩어리인 치석이 된다. 이 세균들은 독소를 내뿜어 잇몸에 염증을 일으켜 잇몸이 붓고 피가 나는 잇몸질환 초기 증상, 즉 치은염이 나타난다. 염증이 더 진행되면 잇몸뼈(치조골)까지 녹아내려 방치할 경우 치아가 흔들리며 결국 뽑아야 한다.
따라서 잇몸질환이 악화되는 것을 막으려면 스케일링 등 치과용 기구나 수술 등 물리적인 치료로 풍치 유발 원인인 염증과 치석을 완벽히 제거해야 한다.
지오치과네트워크 수원점 이승범 원장은 "잇몸약으로 잇몸질환을 치료할 수 있다는 생각은 금물이다. 근본 원인인 치석을 제거하지 않은 채 방치하면 질환이 악화될 뿐이므로 치과치료를 받으면서 보조제 정도로 사용하는 것이 바람직하다"고 당부했다. 센트럴치과 홍대점 김지영 원장은 "특히 덧니가 있고 삐뚤삐뚤한 치아를 가진 부정교합자의 경우 정상교합자보다 치석이 많이 끼어 잇몸조직이 손상될 위험이 크다"며 "잇몸이 약해 잇몸질환이 더 빠르게 진행될 수 있기 때문에 치료 시기를 놓치면 증상이 매우 악화될 수 있다"고 경고했다.
◇"잇몸약은 보조치료제일 뿐"
= 그렇다면 잇몸약의 효능은 어느 정도 일까. 한 잇몸약 사이트에 명기된 약효 임상시험 결과에 따르면 '잇몸 염증지수'가 평균 1.71±0.045인 잇몸질환자들이 3개월 간 잇몸약을 먹으면 1.58±0.054로 호전된다. 3개월 간 약을 먹어도 0.1~0.2 정도의 경미한 효과만 있는 셈이다. 잇몸 염증지수란 잇몸 염증의 정도를 나타내는 수치로 0은 정상 잇몸, 1은 가벼운 염증, 2는 잇몸 출혈이 있는 염증, 3은 출혈이 심한 염증을 의미한다.
치아 지지조직이 손상돼 치아가 고정되지 않아 흔들리는 정도를 수치로 나타낸 '치아 동요지수'로 본 실험 결과도 마찬가지다. 0.547 정도의 생리적으로 정상 흔들림을 보이는 환자군에게 잇몸약을 3개월 간 투여해 0.372로 호전됐다고 하는데 사실 치료 전ㆍ후 모두 정상 흔들림으로 구분된다.
물론 잇몸약도 적절히 사용하면 도움이 될 수 있다. 잇몸약에 들어 있는 '염화리소짐' 같은 소염성분은 염증을 줄여주며 옥수수에서 추출한 '베타시토스테롤' 성분은 잇몸을 단단하게 해준다. 또 '카르바조크롬' 성분은 모세혈관을 보호해 잇몸 출혈을 억제하며 '호박산토코페롤칼슘(비타민E)'는 미세 순환을 촉진해 잇몸 조직에 영양을 원활히 공급, 잇몸 조직의 손상과 노화를 방지한다. '제피아스코르빈산(비타민 C)'도 잇몸이 부실하게 가라앉는 것을 예방해 준다. 잇몸약은 통상 3~4개월 정도 먹어야 효과를 볼 수 있는 것으로 알려져 있다.
이승범 원장은 "잇몸질환 위험군이나 심하지 않는 환자군에서 예방 차원이나 잇몸보조제 정도로 복용한다면 어느 정도 효과가 나타날 지 몰라도 잇몸약으로 중증 잇몸질환이 치료되기를 기대하는 것은 무리"라며 "이가 시리고 흔들려서 음식을 못씹을 정도의 중증 잇몸질환자는 반드시 치과치료를 병행해야 한다"고 강조했다. 또 잇몸질환 예방을 위해서는 칫솔질을 철저히 하고 정기적으로 스케일링을 받아야 한다고 당부했다.
송대웅 의학전문기자 sdw@sed.co.kr
ⓒ 인터넷한국일보, 무단전재 및 재배포 금지
<인터넷한국일보는 한국온라인신문협회(www.kona.or.kr)의 디지털뉴스이용규칙에 따른 저작권을 행사합니다>
Copyright © 서울경제. 무단전재 및 재배포 금지.
- 李대통령 '다주택자 양도세 중과 유예 없다'
- 사이버 도박까지…軍장병 신불자 4년새 45% 늘었다
- 이혜훈, 장남 위장 미혼 의혹에 '혼인 유지 어렵다 판단'
- 경찰, '최민희 딸 축의금' 관련 국회사무처 압수수색
- '정책효과·실적 맞물리면 6000피·1200스닥 가능'
- 이해찬 전 총리, 베트남 출장중 응급실 이송…한때 심정지
- 삼성증권, '1조 클럽' 가입…전년比 12%↑
- 중처법 피하려…바지사장 쓰는 中企
- 3주택자 100일 내 안팔면…서울 30평대 양도세 5억→10억
- [단독] 국민연금, 이르면 2월 쿠팡에 주주서한…정보보호 강화와 소비자 배상 확대 요구 [시그널]