잇몸 속에 숨어있던 치아 81개?…11세 소녀의 충격적인 진단

유치를 뽑으러 갔다가 밝혀진 ‘치아 81개’의 진실
브라질 미나스제라이스에 사는 11세 소녀는 단순히 유치를 뽑기 위해 치과를 찾았습니다.
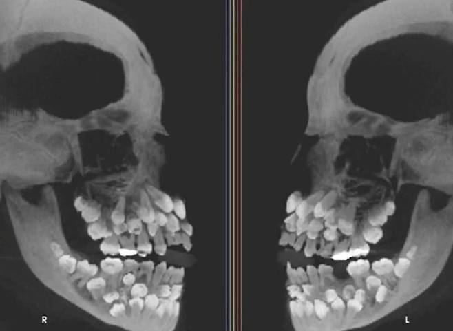
그러나 엑스레이 촬영 결과, 그녀의 잇몸 속엔 무려 81개의 치아가 숨어 있었고, 이 사실은 의료진은 물론 국제 학계까지 충격에 빠뜨렸습니다.
"다발성 과잉치증", 얼마나 드문 병일까?

보통 성인은 사랑니를 포함해 32개의 치아를 갖고 있지만, 이 소녀는 유치 18개, 영구치 32개, 그리고 과잉치 31개까지 총 81개의 치아를 보유하고 있었습니다.
이러한 상태는 ‘다발성 과잉치증’으로 불리며, 보통은 1~2개의 과잉치만 나타나는 반면, 30개가 넘는 경우는 세계적으로도 매우 희귀합니다.
정밀 CT와 유전자 검사 결과, 염색체 9번의 배열 이상(염색체 역위)이 확인되었으나, 과잉치와의 직접적 연관성은 아직 명확히 밝혀지지 않았습니다.
치료는 어떻게 진행될까?

이 소녀의 치료에는 교정과, 악안면외과, 치주과, 보철과 등 다양한 전문의가 협업하여 장기적인 계획을 수립했습니다.
과잉치는 잇몸 안에서 다른 치아의 성장을 방해하거나, 턱관절에 통증을 유발할 수 있어 복합적인 수술과 교정 치료가 필수입니다.
정기적인 검진이 중요한 이유
이번 사례는 미국치과교정·악안면외과학회지에도 공식 보고되며, 조기 진단의 중요성을 다시 한번 부각했습니다.
어릴 때부터 정기적인 치과 검진을 통해 잇몸 속 비정상적인 구조를 확인하고, 이상이 발견되면 성장 단계에 맞춘 적절한 대응이 무엇보다 중요합니다.

“잇몸 속 숨어 있는 치아는 겉으로는 보이지 않지만, 평생 치아 건강에 큰 영향을 줄 수 있습니다.”
성장기 자녀가 있다면, 지금이라도 치과 검진 일정을 점검해 보세요.
Copyright © 해당 콘텐츠의 저작권은 3분건강레터에게 있습니다.