위암 조기발견을 위한 위내시경 가이드

위암은 우리나라에서 발생률이 높은 암 중 하나로, 조기에 발견할 경우 완치율이 매우 높아 정기적인 검진이 매우 중요합니다. 위암을 조기에 발견하는 데 가장 효과적인 검사법은 위내시경 검사입니다.

위내시경 검사란?
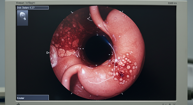
위내시경은 입을 통해 내시경 기구를 삽입하여 식도, 위, 십이지장까지 직접 관찰하는 검사입니다. 위 점막의 이상 부위를 실시간으로 확인할 수 있어 위염, 위궤양, 위암 등 다양한 질환을 진단할 수 있습니다. 의심 부위에서는 조직검사를 통해 암세포 유무를 확진할 수 있습니다.

위내시경의 중요성
- 조기 위암 발견에 가장 효과적인 방법으로, 증상이 없는 초기 단계의 위암도 발견할 수 있습니다.
- 위암뿐만 아니라 식도염, 위염, 궤양 등 다양한 위장질환을 조기에 발견하고 치료할 수 있습니다.
- 검사 중 이상 소견이 발견되면 즉시 조직검사를 시행하여 정확한 진단과 치료 계획 수립이 가능합니다.

검진 권고안
- 우리나라 국가암검진사업에서는 40세 이상 성인을 대상으로 2년에 한 번씩 위내시경 검사를 권고하고 있습니다.
- 위암 가족력이 있거나 위암 전구병변이 있는 고위험군은 더 이른 시기부터, 더 짧은 간격으로 검진을 받는 것이 좋습니다.
- 75세 이상 고령자는 검진의 이득과 위해를 고려하여 의료진과 상담 후 결정합니다.
검사 과정과 최신 기술
- 내시경을 통해 위 내부를 직접 관찰하며, 필요 시 염색약을 사용해 점막을 착색하는 색소내시경, 고해상도 확대내시경, 협대역내시경 등의 첨단 기술을 활용해 진단 정확도를 높이고 있습니다.
- 검사 시간은 보통 5~10분 정도이며, 검사 전 간단한 준비와 진정제를 통해 불편함을 최소화합니다.

검진의 효과
- 위내시경 검진은 위암 사망률을 약 54~65%까지 감소시키는 효과가 있음이 여러 연구에서 확인되었습니다.
- 조기 위암 발견 비율이 높아져 치료 성공률과 생존율이 크게 향상됩니다.
검진 대상자 및 주의사항
- 속쓰림, 소화불량, 명치 통증, 구토, 체중 감소 등 위장 증상이 있으면 반드시 위내시경 검사를 받아야 합니다.
- 증상이 없더라도 40세 이상은 정기적으로 검진을 받는 것이 권장됩니다.
- 검사 전 금식이 필요하며, 검사 후에는 일시적인 목 이물감이나 복부 팽만감이 있을 수 있으나 대부분 곧 호전됩니다.

위내시경 검사는 위암을 조기에 발견하고 치료할 수 있는 가장 신뢰받는 검사법입니다. 40세 이상 성인은 정기적인 검진을 통해 건강을 지키고, 위암 발생 위험을 낮추는 데 적극적으로 참여해야 합니다. 검진을 통해 발견된 이상 소견은 전문 의료진과 상의하여 적절한 치료와 관리가 이루어져야 합니다.
Copyright © 반딧불