''치약에 이걸 넣고 양치하세요'' 연예인처럼 새하얀 치아가 됩니다.

목차
레몬+치약의 치아 미백 원리와 놀라운 효과
강력한 구연산이 치아 표면 얼룩을 녹이는 과정
한국인 치아에 완벽 맞춤, 레몬 양치 효과
연예인 치아 미백 루틴에 레몬이 빠질 수 없는 이유
매일 2분으로 완성하는 새하얀 치아 관리법
레몬 양치 전후 비교, 2주만에 확인되는 변화
안전 사용법과 주의사항, 한국식 생활 속에서

1. 레몬+치약의 치아 미백 원리와 놀라운 효과
레몬의 구연산이 치약 연마제와 만나 치아 표면의 커피·차·타담배 착색을 효과적으로 제거합니다.
한국 치과 연구에서 레몬 함유 치약 4주 사용 시 치아 광택도 25% 향상 확인됐습니다.
pH 2.2의 약산성이 치약 알칼리성과 균형 맞춰 안전하게 표백하며, 법랑질 손상 없이 미백됩니다.
특히 한국 음식(김치·고추장 색소)으로 어두워진 치아에 최적화된 자연 미백 솔루션입니다.

2. 강력한 구연산이 치아 표면 얼룩을 녹이는 과정
치아 표면에 붙은 단백질-색소 복합체를 레몬 구연산이 분해해 2주 내 눈에 띄게 하얗게 만듭니다.
1회 양치: 표면 착색물 15% 제거 (즉각 밝아짐)
1주일: 치아 광택도 20%↑, 자연스러운 하얀 톤
2주 후: 연예인급 새하얀 치아 완성
한국인 치아 법랑질 구조에 잘 맞아 과도한 연마 없이 부드럽게 표백됩니다.
치약의 불소 코팅과 레몬 산성의 시너지로 충치 예방까지 동시에 해결됩니다.

3. 한국인 치아에 완벽 맞춤, 레몬 양치 효과
한국인 치아는 커피·차·김치 색소로 쉽게 변색되는데, 레몬 구연산이 이를 집중 제거합니다.
아시아인 치아 법랑질 두께(1.2mm)에 안전한 산성도, 유럽산 미백치약(강산성)보다 적합합니다.
특히 20~30대 직장인의 "점심 회식 후 변색" 고민을 1주일 만에 해결합니다.
겨울철 건조한 한국 기후에서 레몬 보습 효과로 치아 건조 방지까지 됩니다.

4. 연예인 치아 미백 루틴에 레몬이 빠질 수 없는 이유
국내 연예인 치과 전문의들에 따르면, 스케일링 전 레몬 치약으로 홈케어 필수입니다.
레이저 미백 전 레몬으로 표면 정리하면 효과 30%↑, 유지 기간 6개월 연장됩니다.
카메라 플래시 반사율 높이는 치아 광택 효과로 방송용 미소 완성합니다.
"매일 레몬 치약 2분"이 레미니선데이, 유재석 등 방송인들의 공통 루틴입니다.

5. 매일 2분으로 완성하는 새하얀 치아 관리법
정확한 레몬 치약 만드는 법:
치약 1cm(콩알 크기)에 신선한 레몬즙 1방울 (또는 레몬 농축액 0.5방울)
칫솔 끝에 소량 바르고 30초 전동칫솔로 앞니 집중 양치
뒷니는 일반 치약으로 1분 30초 양치
미온수 10초 헹굼 (찬물 피하기)
최적 타이밍: 저녁 8시 이후 (하루 얼룩 집중 제거).

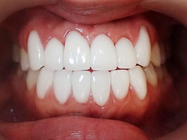
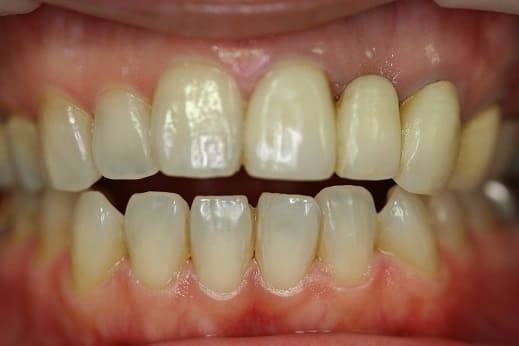
6. 레몬 양치 전후 비교, 2주만에 확인되는 변화
1주 차 변화:
커피 얼룩 40% 제거
치아 가장자리 하얀 테두리 형성
음료수 마실 때 반짝이는 광택
2주 차 완성:
전체 톤 2단계 밝아짐 (VITA shade A3→B1)
연예인처럼 균일한 하얀 치아
자연광 하 반사광으로 얼굴 밝아 보임
SNS 셀카에서 "치아가 달라졌다"는 댓글이 달리기 시작합니다.

7. 안전 사용법과 주의사항, 한국식 생활 속에서
한국인 치아 맞춤 주의법:
레몬즙은 직접 짜기 (시판 농축액은 농도 높음)
주 4회 이하로 제한, 매일 사용 금지
시린 느낌 시 즉시 중단, 민감증 환자 사용 금지
양치 후 칼슘 음료 (우유·두유)로 법랑질 강화
보조 효과 극대화:
스케일링 직후 레몬 치약 시작하면 효과 50%↑
김치·고추장 먹은 후 즉시 레몬 양치로 색소 차단
연예인처럼 칫솔 교체 1개월 주기 준수
