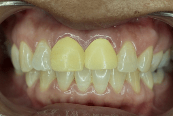
''가글 절대 하지 마세요'' 1년간 꾸준히 가글한 사람의 치아 상태입니다.

목차
양치 후 가글이 치아를 누렇게 만드는 충격 이유
치약 불소 코팅과 가글 성분의 치명적 반응
한국인 치아 변색 원인 1위, 가글 남용 실태
1년 후 나타나는 돌이킬 수 없는 손상 과정
구강진균증·구취 악화로 이어지는 연쇄 반응
충치·치석 형성 가속화, 한국 성인 80% 공통 문제
올바른 양치 마무리법, 가글 없이도 완벽 위생

1. 양치 후 가글이 치아를 누렇게 만드는 충격 이유
치약의 불소 코팅층을 가글이 씻어내 치아 법랑질이 무방비 상태가 됩니다.
한국 치과에서 변색 환자 70%가 "양치 후 가글 매일" 패턴을 보이며, 1년 내 황변 확인됩니다.
계면활성제(치약 거품 성분)+가글 염화물이 만나 착색물 생성, 전문가들은 "치아 표백 3배 비용" 경고합니다.
상쾌함 추구가 치아 수명을 5년 단축시키는 역설적 습관입니다.

2. 치약 불소 코팅과 가글 성분의 치명적 반응
치약 불소(나트륨불화물)가 치아 미세 균열에 침투해 법랑질 강화하는 20분 보호 시간이 핵심입니다.
양치 직후 가글 시 이 코팅이 80% 제거되며, 커피·차 색소가 법랑질 깊숙이 침착됩니다.
가글의 알코올·염화세클로늄이 치약 계면활성제와 화학반응 일으켜 "황색 침전물" 형성 가속화.
영국 NHS도 "양치 후 30분 가글 금지" 지침으로, 한국 치과 협회 권고와 동일합니다.

3. 한국인 치아 변색 원인 1위, 가글 남용 실태
한국 성인 60%가 양치 후 가글 루틴인데, 라이스테린·게라코닐 판매량 연 100억 개가 이를 증명합니다.
야근·회식 문화 속 "입냄새 걱정"으로 가글 의존도가 높아, 20대부터 치아 황변 급증.
특히 한국 음식(김치·고추장 색소)+가글 남용으로 앞니 변색이 심각하며, 미백치료 수요 40%↑.
치과 스케일링 비용(15만원)보다 가글 한 병(1만원) 선택이 장기적 손실입니다.

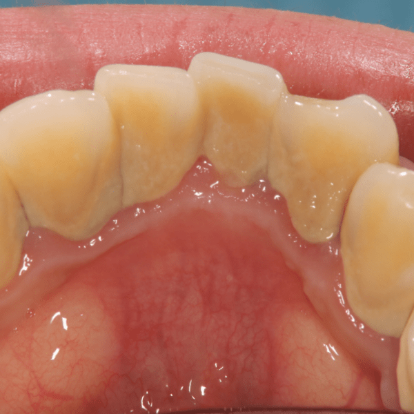
4. 1년 후 나타나는 돌이킬 수 없는 손상 과정
월별 변화 추적:
1개월: 미세 황변 시작 (앞니 가장자리)
3개월: 커피 얼룩 고착, 광택 저하
6개월: 치아 표면 미세 균열 증가
12개월: 법랑질 20% 얇아짐, 충치 빈발
가글 알코올이 구강 건조증 유발→침 분비 50%↓→자연 세정력 상실→치석 폭증 순환.
한국인 치아 법랑질 두께(1.2mm) 기준, 2년 내 스케일링 필수 상황 도래합니다.

5. 구강진균증·구취 악화로 이어지는 연쇄 반응
가글이 유익균(락토바실러스)까지 제거해 칸디다 곰팡이 과증식, 구강진균증 발생률 5배 증가합니다.
입천장 백태·혀 코팅·구내염 동반되며, 통증으로 양치 자체 포기하는 악순환 시작.
알코올 건조효과로 구취 원인 휘발성황화물(VSC) 생성 3배↑, "가글 후 더 심한 입냄새" 역설.
특히 한국 노인층 면역 저하+가글 남용으로 인후염·식도염 합병증 위험도 큽니다.

6. 충치·치석 형성 가속화, 한국 성인 80% 공통 문제
불소 코팅 없는 치아는 산성 음료(콜라 GI 65)에 취약해 충치 진행 3배 빨라집니다.
치석 형성균(변형연쇄상구균)이 활성화돼 스케일링 주기 6개월→3개월 단축.
한국 성인 80% 치석 보유 중인데, 가글 습관이 치주염·발치 위험까지 높입니다.
연간 치과비 50만원 절약 가능한데, 가글 한 병 가격(1만원)으로 건강 거래됩니다.

7. 올바른 양치 마무리법, 가글 없이도 완벽 위생
치과 권장 4단계 루틴:
양치 2분 → 물 2컵으로 10회 헹굼 (불소 20% 잔류 확보)
30분 후 가글 선택 사용 (점심 후·회식 전 권장)
혀 클리너로 백태 제거
밤 양치는 물 한 모금만 (최대 불소 효과)
가글 대체: 죽염물(소금 0.9%) 또는 그냥 물로 충분, 비용 100원/일.
