
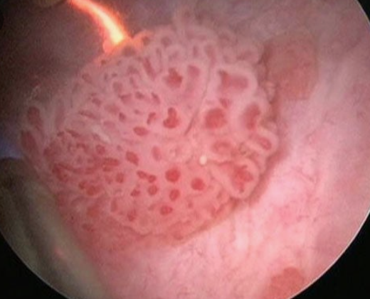
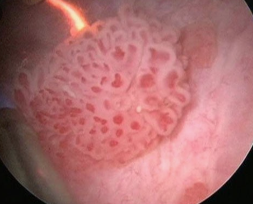
침묵의 경고, 방광암이 보내는 신호를 놓치지 마세요
화장실에서 소변을 보다가 붉은 색깔을 발견했다면 절대 가볍게 넘겨서는 안 됩니다. 이는 방광암이 보내는 가장 중요한 경고 신호일 수 있기 때문입니다.

가장 흔한 전조증상: 통증 없는 혈뇨
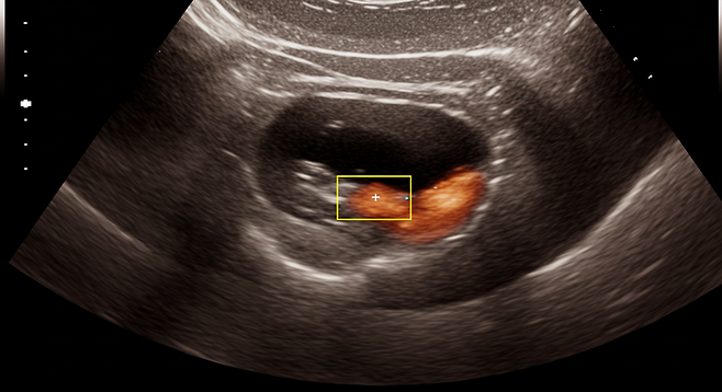
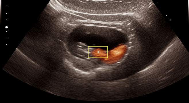
방광암의 가장 대표적인 전조증상은 통증이 없는 혈뇨입니다. 방광암 환자의 80~90%에서 이 증상이 첫 번째로 나타나며, 약 85%의 환자가 혈뇨 증상을 보입니다.
소변 색깔은 간장색에서 선홍색까지 다양하게 나타날 수 있으며, 때로는 소변이 녹색으로 변하기도 합니다. 중요한 점은 혈뇨의 정도가 암의 진행 정도와 반드시 일치하지 않는다는 것입니다.

놓치기 쉬운 미세한 신호들
현미경적 혈뇨
육안으로는 보이지 않지만 소변검사에서만 발견되는 미세한 혈뇨도 주의해야 합니다. 통증도 없고 소변색도 정상으로 보여 자칫 방치하기 쉽지만, 정기적인 소변검사를 통해 확인할 필요가 있습니다.
간헐적 혈뇨
며칠 지나 갑자기 혈뇨가 멈추는 경우도 있습니다. 하지만 증상이 사라졌다고 해서 병이 없어진 것은 아니므로, 한 번이라도 혈뇨가 있었다면 반드시 검사를 받아야 합니다.

방광 자극 증상들
방광암 환자의 약 3분의 1에서 다음과 같은 방광 자극 증상이 나타납니다.
빈뇨와 급뇨
정상보다 더 자주 소변을 보고 싶어지거나, 갑자기 소변이 마려운 느낌이 듭니다. 소변이 급해서 지리는 급박성 요실금이 발생하기도 합니다.
배뇨통
소변을 볼 때 통증이 발생합니다153. 특히 방광암이 괴사를 일으키거나 결석이 동반된 경우, 상피내암이 동반된 경우에 이런 증상이 나타납니다

진행된 단계의 증상들
병이 상당히 진행된 경우 다음과 같은 증상들이 나타날 수 있습니다.
요관 폐색으로 인한 증상
방광암에 의해 소변 길이 막히면 측복부 통증과 하지 부종이 발생할 수 있습니다. 옆구리 통증이 생기기도 하고, 만성적으로 지속되면 신장 기능이 손상되어 요독증이 발생하기도 합니다.
골반 덩어리
증상이 더 진행된 경우 골반에 덩어리가 만져지거나, 아랫배에 덩어리가 만져지기도 합니다.

주의해야 할 상황들
치료에 반응하지 않는 염증
일반적인 치료에 반응하지 않는 방광염이나 전립선염의 경우 방광암 가능성을 고려해야 합니다. 요배양 검사에서 균은 자라지 않는데 방광 자극 증상이 계속되는 경우도 마찬가지입니다

40세 이상의 혈뇨
특히 40세 이상에서 육안적 혈뇨가 한 번이라도 있었다면 방광암을 의심하고 검사를 받아야 합니다. 통증이 없는 육안적 혈뇨를 호소하는 환자의 30% 정도가 방광암으로 진단됩니다.

방광암은 다른 암들과 달리 초기에도 뚜렷한 증상이 나타나는 특징이 있습니다. 따라서 이러한 전조증상들을 조기에 발견하고 적절한 검사를 받는다면 충분히 치료 가능한 질환입니다. 의심스러운 증상이 있다면 주저하지 말고 비뇨의학과 전문의의 진료를 받으시기 바랍니다.
Copyright © 반딧불