발등뼈 골절, 수술‧깁스 대신 의료용 신발도 효과 있어
전체 맥락을 이해하기 위해서는 본문 보기를 권장합니다.
최근 연구에 의하면 근육 및 인대 손상을 동반하는 발등뼈(중족골)이 골절됐을 때 의료용 신발을 착용하는 것만으로도 치료 효과를 볼 수 있는 것으로 나타났다.
한림대강남성심병원 정형외과 김형년 교수는 중족골(발등뼈) 골절에 대해 수술적 치료나 깁스 치료가 아닌 간편한 의료용 신발 착용 또한 효과가 있다고 밝혔다.
이 글자크기로 변경됩니다.
(예시) 가장 빠른 뉴스가 있고 다양한 정보, 쌍방향 소통이 숨쉬는 다음뉴스를 만나보세요. 다음뉴스는 국내외 주요이슈와 실시간 속보, 문화생활 및 다양한 분야의 뉴스를 입체적으로 전달하고 있습니다.
![[사진=게티이미지뱅크]](https://img1.daumcdn.net/thumb/R658x0.q70/?fname=https://t1.daumcdn.net/news/202203/18/KorMedi/20220318163013346navl.jpg)
최근 연구에 의하면 근육 및 인대 손상을 동반하는 발등뼈(중족골)이 골절됐을 때 의료용 신발을 착용하는 것만으로도 치료 효과를 볼 수 있는 것으로 나타났다.
한림대강남성심병원 정형외과 김형년 교수는 중족골(발등뼈) 골절에 대해 수술적 치료나 깁스 치료가 아닌 간편한 의료용 신발 착용 또한 효과가 있다고 밝혔다.
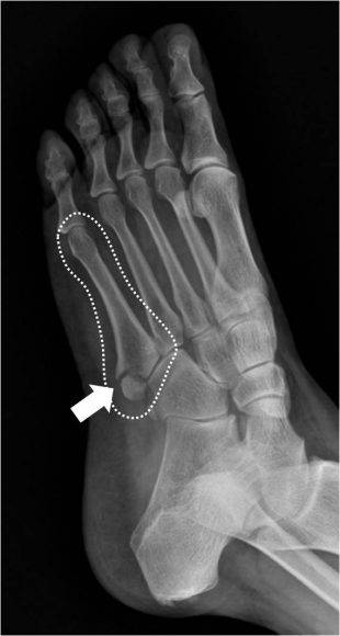
중족골 골절은 운동이나 낙상, 교통사고, 무거운 물건의 낙하 등으로 인해 일어나는 발 부상 중 하나로, 초기에는 통증과 멍, 붓기가 함께 나타날 수 있다. 근육 및 인대 손상을 동반하는 경우가 많아 치료 시 각별히 주의해야 한다.
중족골은 발목뼈와 발가락뼈를 잇는 5개의 뼈로 이루어져 있는데 흔히 발등뼈로도 부른다. 중족골 골절은 5개 뼈 중 몇 번째 뼈가 골절되느냐에 따라 앞에 숫자가 붙는다. 그중에서도 제5중족골은 새끼발가락 쪽 뼈가 골절된 상태로 치료가 유독 까다롭다. 제5중족골을 세 구역(제1구역·제2구역·제3구역)으로 나눠 어느 부위가 골절됐는지에 따라 치료방법과 예후가 다르기 때문이다.
제1구역에 발생하는 견열 골절의 경우 전위가 심하거나 관절면 침범이 30% 이상인 경우 수술이 필요한 것으로 알려져 있으나 통깁스로 보존적 치료를 하기도 한다. 환자 입장에서 깁스는 땀이 차고 간지럽고 쉽게 벗지 못하는 불편함이 있어 이러한 깁스 치료 대신 간편한 의료용 신발(Hard-Soled Shoe)을 이용하면 훨씬 가볍고 편리하다.
의료용 신발의 원리는 통깁스와 동일하다. 골절 부위가 잘 유합되려면 골절 부위를 고정하는 것이 필요한데 통깁스가 이런 역할을 해준다. 다만 제5중족골 기저부 견열 골절의 경우 의료용 신발만으로도 고정 가능하고 발목까지 고정하는 통깁스보다 발 부위만 고정해도 충분하기 때문에 의료용 신발로도 치료가 가능하다.
연구는 제5중족골 기저부 견열 골절 치료를 위해 의료용 신발과 통깁스 치료의 통증 점수와 치료 유무를 비교·확인하기 위해 진행됐다. 김형년 교수 연구팀은 골절 6개월 후 통깁스를 한 환자군(50명)과 딱딱한 의료용 신발을 착용한 환자군(46명)의 통증을 비교했다. 연구 결과, 깁스로 치료한 경우와 의료용 신발로 치료한 경우 골절 후 6개월에 측정한 통증 점수에 큰 차이가 없었으며 두 경우 모두 불유합 없이 잘 치료됐다.
![중족골 골절 [사진=한림대강남성심병원 제공]](https://img2.daumcdn.net/thumb/R658x0.q70/?fname=https://t1.daumcdn.net/news/202203/18/KorMedi/20220318163014956blbj.jpg)
김형년 교수는 "골절 치료는 골절 부위와 양상에 따라 수술적 치료가 필요하거나 깁스 치료를 해야 하는 경우가 있기 때문에 모든 경우에서의료용 신발로 치료할 수 있는 것은 아니다. 다만, 훨씬 편하면서도 안전한 방법이 있기 때문에 발 전문의와 상의 후 치료 방법을 결정하는 것이 좋다"라고 밝혔다.
한편 이번 연구는 '제5중족골 기저부 견열 골절 치료에서 통깁스와 딱딱한 의료용 특수 신발의 비교(Hard-Soled Shoe Versus Short Leg Cast for a Fifth Metatarsal Base Avulsion Fracture)'라는 제목으로 학술지 《미국정형외과학술지(J Bone Joint Surg Am)》에 게재됐다.
김성은 기자 (sekim@kormedi.com)
Copyright © 코메디닷컴. 무단전재 및 재배포 금지.