π‘ μ΄ λ¦¬λ·°λ λΈλλμκ² μ νμ νμ°¬μ λ°μ, μ νμ μ¬μ©ν ν μμ±ν 리뷰μ΄λ©°, κ΄κ³ λΉλ₯Ό μ§κΈ λ°μ μ μμ΅λλ€
κ°μμ§ λ€λ¦¬, μ λ μ λ거리며 κ±·κ±°λ κΉ½κΉ½μ΄κ±Έμ λ±μ μ¦μμ μ§μμ μΌλ‘ 보μΈλ€λ©΄ κ΄μ μ§νμ μμ¬ν μ μμ΅λλ€. μ κ° λ°λ €νλ λͺ½μ΄λ κ΄μ μ΄ μ’μ§ μμλ° λ€λ¦¬λ₯Ό μ λμ΄λ κ² μ²μ λ³΄μΈ μ¦μμ΄μμ΄μ. λ€νν λͺ½μ΄λ κ΄λ¦¬λ₯Ό ν΅ν΄ λ§μ΄ μ’μμ‘λλ°μ. μ΄λ»κ² κ΄μ κ±΄κ° λ¬Έμ λ₯Ό 극볡νκ³ μλμ§ μ΄μΌκΈ°ν΄ λ³΄λ € ν©λλ€.

κ°μκΈ° μμλ κ°μμ§ λ€λ¦¬ μ λκ±°λ¦Ό
μ λ λͺ½μ΄μ 2011λ λΆν° μ½ 12λ μ λ ν¨κ» μ΄κ³ μμ΄μ. λ Έκ²¬μ΄μ§λ§ λ€νν ν¬κ² μν κ³³μ μκ³ κ±΄κ°ν νΈμ λλ€. λ€λ§, 2017λ κ°μμ κ°μκΈ° λ€λ¦¬λ₯Ό μ λ거리기 μμνμ΅λλ€.
λͺ½μ΄κ° κ²ͺμ κ°μμ§ κ΄μ μ§ν μ¦μΈλ€
λͺ½μ΄λ μλ κ±΄κ° μ²΄μ§μ΄λ€ 보λ λ€λ¦¬λ₯Ό μ λ거리λ κ² μΌμμ μΈ νμμ΄λΌκ³ μκ°νμ΄μ. κ·Έλ°λ° μ λκ±°λ¦Όμ΄ κ³μλμκ³ , λ€λ¦¬λ₯Ό λ§μ§λ κ±Έ νΌνκΈ°λ νμ΅λλ€.
μ’μνλ μ°μ± λ μ€λ νμ§ μκ³ μ§μ 빨리 λ€μ΄κ°λ € νκ³ μ. λ§μ΄ μν λ μ λ°λ₯μ μ£Όμ μλ μΌλ μμμ΄μ.(μ€μΈ λ°°λ³μ΄λΌ μ°μ± μ ν μ λ°μ μμμ΅λλ€π₯)
μ΄λ° μ¬λ¬ μ¦μλ€μ΄ κ³μλμ λͺ½μ΄ κ΄μ μ΄ λ§μ΄ μ μ’μ μνλΌλ κ±Έ μκ² λμμ΅λλ€.

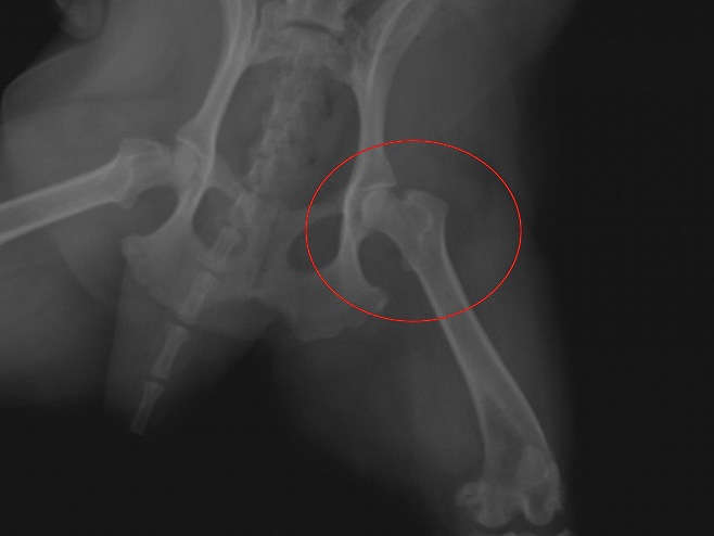
κ°μμ§ λ€λ¦¬ μ λκ±°λ¦Ό, μ¬κ°κ³¨ νꡬλ₯Ό μμνμ΄μ
κ·Έλ κ² λͺ½μ΄μ κ΄μ κ΄λ¦¬λ₯Ό μμνκ² λμμ΄μ. μΌλ°μ μΌλ‘ μ€μν견μ κ²½μ° μ¬κ°κ³¨μ΄ μ μ’μ κ²½μ°κ° λ§λ€κ³ ν΄μ μ€νκ²¬μΈ λͺ½μ΄ μμ μ¬κ°κ³¨ νꡬλ₯Ό μμνλλ°μ. μ μ μμ€λ μ΄λ₯Ό μ°μ΄λ³΄λ νλ² μ§ λΌμ(λν΄κ³¨) 머리 λΆλΆμ΄ κ³ κ΄μ μ μ μ리μμ λ²μ΄λ κ³ κ΄μ νꡬμκ³ κ΄λ¦¬κ° νμν μνμμ΅λλ€.

κ΄μ 건κ°μ μν΄ νλ κ²λ€
μμμ , μ²΄μ€ κ΄λ¦¬ κ·Έλ¦¬κ³ λ§μ¬μ§κΉμ§
κ΄μ μ μ’λ€λ 건 κ±°μ λ€ ν΄λ³Έ κ² κ°μμ. κ΄μ μ μ’μ μ±λΆμ΄ λ€μ΄κ° κ°μμ΄λ κ΄μ μμμ λ₯Ό λ¨ΉμΈ κ±΄ λ¬Όλ‘ μ΄κ³ μ. λν, 과체μ€μΌ κ²½μ° κ΄μ μ λ¬΄λ¦¬κ° κ° μ μλλ° λͺ½μ΄λ μ½κ° 과체μ€μ΄λΌ μ²΄μ€ κ΄λ¦¬λ₯Ό μν΄ μ μΉΌλ‘리 μ¬λ£λ κΈμ¬νμ΅λλ€. κ·μ°¨λμ¦μ΄ μ¬ν μ κ° κ°μμ§ κ΄μ λ§μ¬μ§ λ°©λ²μ μ°Ύμμ λ§€μΌ λͺ½μ΄μκ² λ§μ¬μ§λ₯Ό ν΄μ£Όκ² λλλΌκ³ μ.π
κΎΈμ€ν κ΄λ¦¬νλ ν¨κ³Όκ° μμμ΄μ
μ²μμ ν° ν¨κ³Όκ° μλ μΆμλλ°, νλ λ¬ μ λ κΎΈμ€ν κ΄λ¦¬νλ μ μ λͺ½μ΄κ° κ΄μ 건κ°μ ν볡νκΈ° μμνμ΄μ. λ¬Όλ‘ μ΄λ―Έ λλΉ μ§ κ΄μ μ λ¨μ κ΄λ¦¬λ§μΌλ‘ λλ릴 μ μκ² μ§λ§, κ΄μ ν΅μ¦ κ°μ μ΄ λμ΄ λ€λ¦¬λ₯Ό μ λμ΄κ±°λ μ°μ± μ νλ€μ΄νμ§ μκ² λμλ€λ μ μμ λ§μ‘±νμ΅λλ€.

κ°μμ§ κ΄μ μμμ κ³ λ₯΄κΈ°κ° μ€μνμ΄μ
μ¬λ¬ κ°μμ§ κ΄μ μμμ λ₯Ό κΈμ¬ν΄ 보며 μκ² λ 건 μμμ μ μ΄λ€ μ±λΆμ΄ λ€μ΄κ°λμ§, λ κ·Έ μ±λΆμ΄ μΆ©λΆν λ€μ΄κ°λμ§ μ²΄ν¬νλ κ±°μμ΄μ. μ°Ύμ보λ κ΄μ 건κ°μ λμμ΄ λλ μ±λΆμ κ²½μ° μλμ κ°μμ΅λλ€.
<κ°μμ§ κ΄μ μ μ’μ μ±λΆλ€>
- μ€λ©κ°-3
- 보μ€μ°λ¦¬μ
- κΈλ£¨μ½μ¬λ―Ό
- μ½λλ‘μ΄μΉ
- μ΄λ‘νν©λΆλ§
- MSM(λ©νΈμ€ν¬λλ©ν)
κ°μμ§ λ€λ¦¬, μ λ μ λ거릴 λ μμμ λ₯Ό κΈμ¬ν΄ μ£ΌμΈμ!

κ°μμ§ κ΄μ μμμ , λΈλ¦¬μ§ν μΌ νν λ©λ ν μ€ μ‘°μΈνΈ μΌν°λ°
κ°μμ§ κ΄μ κ³Ό μ°κ³¨μ ν볡과 ν΅μ¦ μνμ λμμ΄ λλ μ±λΆμ΄ λ€μ΄κ° κ°μμ§ κ΄μ μμμ μ λλ€. κ°μμ§ κ΄μ μ λμμ λ μ μλλ‘ μ μ 볡μ©λμ μ ννκ² μ²λ°©νλ€λ μ μ΄ ν° μ₯μ μ΄μμ. κΈ°νΈμ±μ΄λ 보쑴μ μν ν©μ± 첨κ°μ λ μ ν λ€μ΄κ°μ§ μμμ μμ¬νκ³ κΈμ¬ν μ μμ΅λλ€.π
λκ° μ¨λ΄€λꡬμ?

λͺ½μ΄ μΈλκ° λλ μ₯μ

κ΄μ μ μ’μ μ±λΆμ΄ κ°λ
λ€ κ°μ§ μ±λΆμ κ°κ° λ€λ₯Έ μν μ ν΄μ μ λ°μ μΈ κ΄μ κ³Ό μ°κ³¨ 건κ°μ λμμ μ€ μ μλ€κ³ ν©λλ€.
κ°μΈμ μΌλ‘ λκ°λ§μ κ²½μ° κ³λ κ»μ§μ ν°μ λ§μΌλ‘ μ΄λ²μ μ²μ μκ² λ μ±λΆμΈλ°, κ°μμ§ κ΄μ μμ§μμ μ’λ€κ³ ν΄μ. μ΄λ―Έ ν΄μΈμμλ λ§μ΄ μ¬μ©νλ μ±λΆμΈλ° μμ§ κ΅λ΄μμ λ§μ΄ μλ €μ§μ§ μμλ€κ³ ν©λλ€.

κ΄μ κ±΄κ° κ°μ μ λμμ΄ λμ΄μ
κ·Έλ¦¬κ³ νλ ₯μ΄ λλμ§ λ§μ΄ν μ νμλ³΄λ€ λ μμ£Ό νκ² λ κ² κ°μ΅λλ€π

μΉμ ν κΈμ¬λ μ€λͺ
κΈμ¬λμ λ³΄ν΅ μμ κΈμ¨λ‘ μ°μ¬μκ±°λ, λ°μ€μλ§ μλ΄λμ΄ μμ΄μ νμΈνκΈ° μ΄λ €μ λλ° μ΄λ° μ¬μν μ μ΄ μΌμ€μλ€κ³ λκ»΄μ‘μ΄μ.
μμ¬ν μ μλ ν¨ν€μ§
λΈλ¦¬μ§ν μΌ ν μ€ μ‘°μΈνΈ ν¨ν€μ§μ μ루미λ μΌμ΄μ€λ‘ λΉμ, λκ» λ°©μ΅μ λ‘ μλΆμ κ·Έλ¦¬κ³ μΊ‘μλ‘ λ°λ΄ν΄ 곡기κΉμ§ μλ²½νκ² μ°¨λ¨ν΄μ μμ¬ν μ μμμ΄μ.
κ·Έλμ κ²°λ‘ μ?
κ΄μ μ μ’μ μ±λΆμ μ μ λ κΈμ¬ν μ μμ΄μ
λΈλ¦¬μ§ν μΌ νν λ©λ ν μ€ μ‘°μΈνΈλ μ μ 볡μ©λμ μ νν μ²λ°©νλ€λ μ μ΄ κ°μ₯ μ’μμ΄μ. μ무리 μ’μ μ±λΆμ΄λΌκ³ ν΄λ, μΆ©λΆν μμ λ¨Ήμ¬μΌ κ΄μ μ μ’μ μν₯μ μ€ μ μμΌλκΉμ.
μ¬κ°κ³¨ λ° κ³ κ΄μ νꡬλ λ Ένλ‘ μΈν κ΄μ μ§ν λ±μ μκ³ μλ κ°μμ§μκ² μ’μ μν₯μ μ€ μ μμ κ² κ°μ΅λλ€.
κΆκΈν μ νμ΄ μμΌμλ©΄ editor@bemypet.krλ‘ μ λ³΄ν΄ μ£ΌμΈμ!
