[분당서울대병원이 알려주는 의료상식] 편도선에도 암이 생기나요? 구인두암과 HPV의 불편한 진실

#56세 여성 최 씨는 3년 전을 생각하면 아직도 아찔하다고 합니다. 음식을 먹을 때 나타나는 인후통 증상을 단순 편도염이라 생각하고 참고 지냈습니다. 하지만 두 달이 지나도 통증이 나아지지 않아 간단한 약 처방을 받기 위해 가까운 이비인후과를 찾았다고 하는데요. 그곳에서 최 씨는 뜻밖의 이야기를 들었습니다. 편도암일 수도 있으니 큰 병원을 가보는 것이 좋겠다는 이야기를 들었고, 조직검사 결과 1기 편도암(편평상피세포암)을 진단받았습니다.
비교적 젊은 나이여서 암 진단은 마치 청천병력과도 같은 소식이었습니다. 다행히 다른 곳으로의 전이 없이 비교적 이른 시기에 발견해 유도항암제 투여 후 편도와 구인두의 일부를 제거하는 로봇수술로 암 덩어리를 제거했습니다.
수술 후 3년이 지난 지금, 최 씨는 재발 없이 경과를 관찰하는 중입니다. 구인두의 일부를 잘라낸 탓에 아직 특정 발음이 어눌하게 들릴 때도 있지만, 3년 전에 병원을 찾지 않았다면 지금보다 더욱 어려웠을 것이기에 천만다행이라는 생각이 든다고 합니다.

30-50대에서 증가하는 발병률
구인두암은 편도선, 연구개(목젖), 혀뿌리, 구인두 등 구강의 뒤쪽 목구멍 안쪽 깊숙한 곳에 발생하는 암입니다. 전 세계적으로 전체 암의 약 1~2%를 차지하고 있고, 주로 남성에게서 더 잘 생기는 것으로 알려져 있습니다.
국내 통계자료에 따르면 2013년에 약 500명의 구인두암 환자가 발생했고, 2016년에는 720여명의 환자가 발생하였습니다. 특히 지난 10년간 구인두암의 발병은 25% 가량 증가한 것으로 나타났으며 꾸준히 증가하고 있는 추세입니다.
구인두는 일상적으로 말을 하거나 음식을 섭취하고 숨을 쉬는 통로가 되는 부위로서, 이 부위에 암이 발생할 경우 치료가 잘 되더라도 삶의 질이 크게 떨어질 수 있습니다. 특히 종양의 크기가 크거나 전이가 있다면 수술적 절제 이후에도 피부 이식과 방사선 치료가 필요해, 미용적으로나 기능적으로 큰 손실을 야기할 수 있으므로 조기에 발견하는 것이 중요합니다.

목의 멍울 만져지면 내시경 검진이 필수
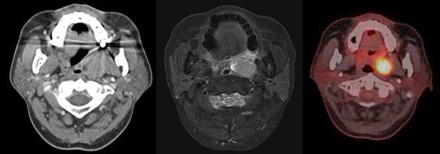
목과 편도가 붓고 구강 뒤쪽의 통증을 호소하며 병원을 찾는 환자들 중 구강암을 걱정하며 찾아오시는 분들이 있습니다. 대부분은 염증성이지만, 구인두암의 경우에는 신체 검진만으로 악성을 완전히 배제할 수 없는 경우가 많기 때문에 CT나 MRI와 같은 영상의학적인 검사 및 조직검사가 필요할 수 있습니다.
삼킬 때 어려움이 있거나 통증이 있을 경우, 목에 걸린 느낌이 지속되는 경우, 인후에 사라지지 않는 백색반 혹은 붉은 반점, 염증성 궤양이 2~3주 이상 지속되는 경우에는 이비인후과 내시경을 포함한 검진을 받아볼 것을 권합니다.
특히 림프절(임파선) 전이가 첫 증상으로 나타나는 경우가 많기 때문에, 통증을 동반하지는 않더라도 목에 혹이 만져지는 경우라면 반드시 전문가의 진찰을 받아보아야 합니다.

인유두종 바이러스(HPV)가 주요 위험요인
과거부터 잘 알려져 있던 구인두암의 주요 위험인자로는 흡연과 음주, 불량한 구강위생을 들 수 있습니다.
하루에 한 갑 이상 흡연하는 흡연자의 경우 구강암을 포함한 구인두암이 발생할 확률이 비흡연자에 비해 10배 이상 높아진다는 연구 결과가 있으며, 흡연과 음주를 같이 할 경우에는 구강암 및 구인두암의 발생률이 15배 이상 높아지는 것으로 알려져 있습니다. 이는 일반적으로 여성에 비해 남성에게서 유병률이 높은 원인으로 지목되기도 합니다. 물론 음주와 흡연을 하지 않는 사람에서도 구인두암이 발생할 수 있는데, 구강 위생을 청결하게 유지하는 것도 매우 중요합니다.
2000년대 중반 이후에는 구인두암의 주된 위험요인으로 인유두종 바이러스(Human papillomavirus, HPV)의 중요성이 대두되었습니다.
HPV는 자궁경부암의 원인 바이러스로 잘 알려져 있는데, 자궁 외의 다른 부위에도 암을 유발하며 이 중 46%가 구인두암으로 알려져 있습니다. HPV 양성 구인두암은 HPV 음성 구인두암에 비해 30~50대의 비교적 젊은 연령에서 빈발하고, 구강성교에 의해 성기로부터 바이러스가 옮을 수 있는 것으로 알려져 있습니다.
HPV 양성 구인두암은 전체 구인두암에서 차지하는 비율이 약 40~50%에 해당하며 점차 늘고 있는 추세입니다. 구인두암에서 HPV가 양성인 경우에는 임상 양상과 치료 방침이 달라지기 때문에 이는 매우 중요한 요소입니다.
예를 들어 HPV 양성과 음성 구인두암의 종양 크기가 같거나 경부 임파선으로의 전이 상태가 같더라도 HPV 양성 구인두암은 상대적으로 예후가 더 좋기 때문에 암의 임상적 단계가 더 낮은 것으로 분류되게 됩니다.
종양 특성에 따른 맞춤형 치료 필요
구인두암은 목구멍이라는 위치의 특성 때문에 어떤 치료를 해도 삼킴의 불편함과 목의 이물감 같은 불편한 증상이 남는 경우가 많습니다.
또한, 일반적인 절개 수술과 경구강 로봇수술, 방사선치료, 항암치료 등 다양한 치료방법이 있고, 종양의 종류와 위치, 병기에 따라 다양한 순서와 조합으로 치료를 해야 합니다. 따라서 환자 개개인에 적합한 맞춤형 다학제(여러 진료과가 함께 하는) 치료가 필요한 종양입니다.
구인두암은 종양의 위치와 병기에 따라 다소 차이는 있지만, 방사선치료와 수술의 치료 효과가 비슷합니다. 방사선치료는 치료 장비와 치료 기법의 발달로 치료가 필요한 부위에 방사선량을 최대한 집중하고 정상 부위에는 최소한으로 들어가도록 발전해왔습니다.
수술 역시 과거에는 목 앞을 절개하거나 턱뼈를 가르면서 했던 방식에서 수술용 로봇과 내시경을 도입해 입을 통한(경구강) 수술이 가능해져 종양을 정확히 절제해내고 합병증을 줄일 수 있습니다.
특히 조기암(1기, 2기 암)에서는 경구강 수술이 정상 조직을 최대한 보존하면서 암을 제거해 정확한 병기를 파악하고 추후 예후 판단이나 추가 치료를 결정할 수 있어 각광을 받고 있습니다. 진행된 암(3, 4기암)에서는 방사선치료와 항암치료를 병행하거나, 수술 후 보조적 방사선 치료를 시행해야하는 경우가 많습니다.
구인두암은 서양과 우리나라에서 모두 증가하고 있는 암종입니다. 특히 30~50대의 비교적 젊은 층에서 증가하고 있으며 이 중 상당수는 HPV가 원인이므로, 이에 대한 이해가 필요하고 예방접종을 고려하거나 성생활에 유의할 필요가 있습니다.
또한 전통적인 위험인자인 흡연, 음주, 구강위생 역시 중요합니다.
통증이 없더라도 목에 멍울이 만져지거나, 삼킬 때 통증이 느껴지고 편도염 증상이 한 쪽으로 오랜 기간 지속될 때는 반드시 병원을 찾아 내시경을 포함한 검진을 받아보시길 바랍니다. 경구강 로봇수술 등의 발전으로 조기 치료하면 좋은 성적을 거둘 수 있는 만큼 적극적인 치료에 나설 것을 권장합니다.
이범구 기자 ebk@hankookilbo.com
Copyright © 한국일보. 무단전재 및 재배포 금지.
- 현직 청와대 행정관, 옵티머스 로비스트와 수차례 만났다
- 2년 전 정경두는 특급 예우ㆍ 서욱은 홀대...확 달라진 美 의전 왜?
- 폼페이오 만난 서훈, 종전선언 갈등설 진화 “韓美 간 다른 생각 없다”
- 뜨긴해야 하는데...'국감 딜레마'에 복잡미묘한 민주당
- 백악관 안보보좌관 "북한 비핵화 협상, 내년 도쿄올림픽이 기회"
- '리비아 검은돈' 공모 혐의로, 사르코지 전 프랑스 대통령 기소
- 김봉현 옥중 폭로에 강기정 "권력형 게이트가 아니라 검찰 게이트"
- 쌍따옴표 기사 시대의 살풍경 ... 조정래 '친일파' 논란
- 플라톤이 말했다 “삶에 지친 40대여, 와인을 실컷 마셔라”
- 갈수록 버거워지는 혼사... 결혼 장벽을 낮춰라