
"아무렇지 않은 복통이 멈추지 않고, 이유 없는 체중 감소가 계속된다면? 췌장암이 보내는 은밀한 경고일 수 있습니다."
췌장암은 초기 증상이 모호해 흔한 소화불량이나 스트레스성 복통으로 오해하기 쉽습니다. 하지만 때로는 일상에 큰 변화를 줄 정도로 몸이 보내는 신호들이 있습니다.
이 신호들을 잘 파악하는 것이 초기에 췌장암을 발견하고 생존율을 높이는 첫걸음이 됩니다.

췌장암 시작 신호 5가지
이상한 복통과 등 통증
명치 주변 또는 복부 어느 곳이든 갑자기 시작된 통증이 몇 주 이상 지속되면 주목하세요. 췌장이 등 쪽에 가까워 통증이 허리 쪽으로도 퍼질 수 있습니다. 이 통증은 칼로 도려내는 듯 하거나 뻐근하게 느껴지기도 합니다.
갑작스러운 체중 감소와 식욕 저하
특별한 이유 없이 6개월 내 체중이 5% 이상 감소하거나 음식 먹는 양이 줄어든다면 췌장암을 의심해야 합니다.

새로 발생하거나 악화된 당뇨병
50세 이상에서 가족력 없이 갑자기 당뇨병이 생기거나, 기존 당뇨가 갑자기 조절되지 않는다면 췌장 기능 이상을 확인해야 할 필요가 있습니다.
소화불량, 구역과 구토, 복부 팽만감
평소와 다른 소화 장애와 함께 심한 메스꺼움이 있다면 췌장 이상 가능성이 있습니다.
황달과 변색된 대변
췌장암이 담도를 막으면 피부와 눈이 노랗게 변하고, 변색 또는 기름띠가 낀 변이 나올 수 있습니다.

왜 빨리 알아차려야 할까?
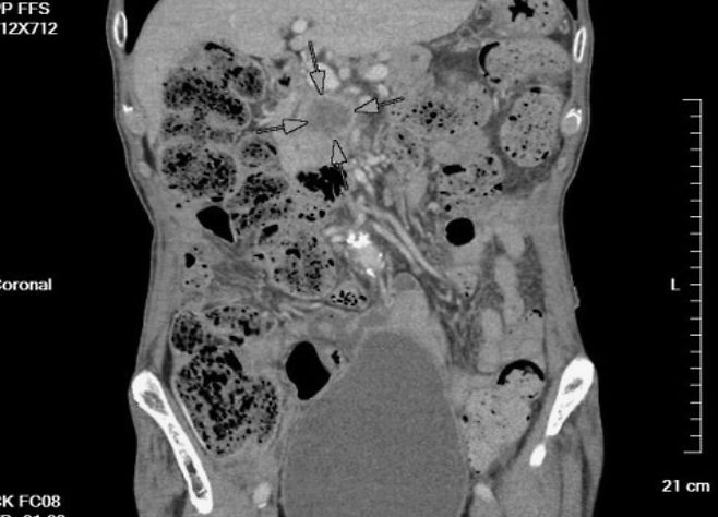
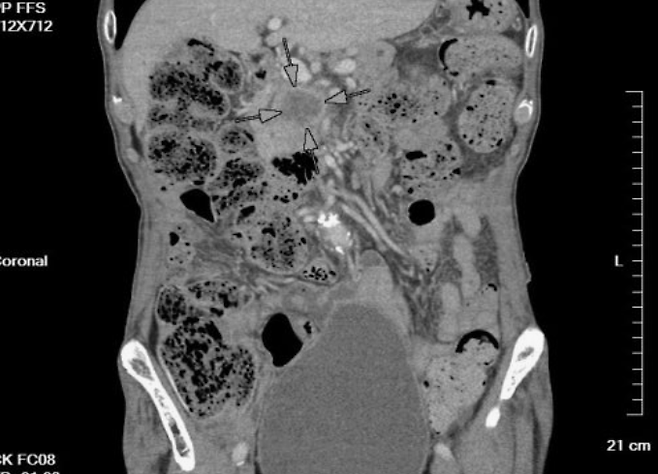
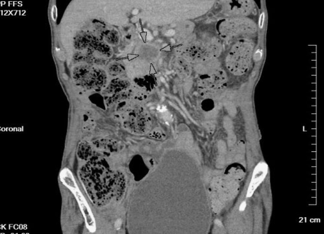
췌장암은 조기 발견율이 매우 낮고, 증상이 나타나면 이미 진행된 경우가 많아 수술 가능성이 적습니다. 하지만 위 증상 중 하나라도 의심된다면 반드시 전문의를 찾아 영상 검사(CT, MRI, 초음파 내시경 등)를 받아야 합니다. 조기 진단이 가능할 경우 생존율을 크게 높일 수 있습니다.
췌장암은 매우 무서운 암입니다. 하지만 몸이 보내는 신호를 무시하지 않고 조기에 대처하면 극복 가능성이 있습니다. 이런 증상이 있다면 늦기 전에 꼭 전문가와 상담하세요.
Copyright © 반딧불