"단순 신경통인 줄 알았는데 암이었다니..."

평범한 일상을 뒤흔든 충격적 진단
서울에 사는 김모씨(45세)는 지난해 봄부터 뺨 쪽에 찌릿한 통증을 느끼기 시작했다. 처음엔 스트레스 때문이려니 했지만, 통증이 점점 심해져 결국 대학병원 신경과를 찾았다. 의사는 "삼차신경통"이라고 진단했고, 김씨는 1년 반 동안 꾸준히 치료를 받았다.하지만 증상은 나아지지 않았다. 오히려 더 심해졌다. 결국 이비인후과를 찾은 김씨에게 돌아온 것은 청천벽력 같은 소식이었다. "침샘암 4기입니다." 더욱 충격적인 건 초기 MRI에서 이미 종양 의심 병변이 보였다는 사실이었다.

의료진도 헷갈리는 '닮은꼴' 질환들
왜 이런 일이 벌어질까?
전문의들은 "삼차신경통과 침샘암은 증상이 너무 비슷해서 구분하기 어렵다"고 입을 모은다. 두 질환 모두 얼굴 부위의 통증을 주요 증상으로 하기 때문이다.
삼차신경은 얼굴과 머리의 감각을 뇌에 전달하는 중요한 신경이다. 이 신경에 문제가 생기면 얼굴에 갑작스럽고 날카로운 통증이 찾아온다. 반면 침샘암 중에서도 특히 샘낭암 같은 유형은 신경계를 침범하는 특성이 있어 비슷한 통증을 유발한다.
더 큰 문제는 이 두 질환이 모두 '배제의 질병'이라는 점이다. 쉽게 말해, 다른 모든 가능성을 배제한 후에야 진단이 내려지는 질환들이라는 뜻이다. 확실한 진단을 위한 특별한 검사나 생검 방법이 없어 의료진도 판단하기 어렵다.

놓치면 안 되는 위험 신호들
그렇다면 언제 의심해야 할까?
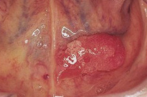
침샘암은 교활하다. 대부분 특별한 증상 없이 타액선에 혹이 만져지는 정도로만 나타나기 때문이다. 하지만 다음과 같은 증상이 나타난다면 반드시 주의해야 한다.
첫 번째, 안면신경마비. 갑자기 얼굴 한쪽이 마비되거나 표정을 짓기 어려워진다면 단순한 신경 문제가 아닐 수 있다.
두 번째, 혀의 이상 감각. 혀가 마비되거나 감각이 이상하다면 더욱 세심한 관찰이 필요하다.
세 번째, 지속적인 통증. 일반적인 침샘 질환은 통증이 심하지 않다. 하지만 지속적이고 심한 통증이 있다면 악성 종양을 의심해볼 필요가 있다.
네 번째, 급격한 변화. 혹의 크기가 갑자기 커지거나 주위 구조물에 단단하게 붙어있는 느낌이 든다면 즉시 전문의를 찾아야 한다.

생명을 구하는 골든타임
조기 발견이 곧 생명입니다.
침샘암 전문의들은 한목소리로 강조한다. 침샘암은 조기에 발견하면 치료 성공률이 높은 편이다. 하지만 신경통으로 오인되어 진단이 늦어지면 치료가 어려워진다.
특히 침샘암은 비교적 희귀한 질환이기 때문에 경험이 풍부한 전문병원에서 진단받는 것이 중요하다. 설명할 수 없는 안면 마비나 신경 통증을 경험한다면 주저하지 말고 이비인후과 전문의를 찾아야 한다.
정확한 진단을 위해서는 조직검사와 방사선학적 검사가 필수다. CT나 MRI 같은 영상 검사로 종양의 위치와 크기, 주변 조직 침범 정도를 파악하고, 조직검사로 암의 종류와 악성도를 확인할 수 있다.

당신의 몸이 보내는 신호
얼굴 통증, 과연 단순한 신경통일까? 아니면 더 심각한 질환의 신호일까?
우리 몸은 항상 신호를 보낸다. 중요한 건 그 신호를 제대로 읽고 적절히 대응하는 것이다. 단순한 얼굴 통증이라고 가볍게 여기지 말고, 지속되는 증상이 있다면 전문의의 도움을 받자.
조기 발견과 정확한 진단이야말로 건강한 삶을 지키는 가장 확실한 방법이다. 당신의 건강, 더 이상 미루지 말자.
Copyright © 반딧불