
핀은 둥글고 알록달록한 틴케이스에서 티백 같이 작고 하얀 파우치를 꺼내 윗입술과 잇몸 사이에 끼워 넣는다.
그와 친구들은 니코틴 파우치를 토할 때까지 사용한다고 말했다.
파우치 하나에 니코틴이 150mg이나 들어 있을 정도로 강해, 두세 개를 한꺼번에 사용하면 몸을 "움직일 수 없을 정도"로 만든다고 그는 말한다.
17세의 핀은 "처음엔 타는 느낌"이라고 설명한다.
"잇몸에 불타는 듯한 자극이 느껴지고, 그다음에 니코틴이 확 들어와요."
그에 따르면 이 니코틴의 타격감은 담배보다 훨씬 강해서, 종종 그는 친구들과 함께 파우치를 입술 밑에 끼워넣기 전 미리 누워 있는다고 한다.
핀은 이 파우치를 사용하는 게 얼마나 간편한지에 대해서도 말했다. 그는 파우치가 티가 나지 않아 심지어 학교에서도 사용한다고 덧붙였다.
그는 "수업 중에 너무 강한 파우치를 물고 있다가 정신이 완전히 나간 적이 있다"고 말했다.
"땀이 나고, 침이 고이고, 집중을 전혀 할 수 없었어요."
결국 선생님은 핀의 얼굴이 "창백한 초록빛"이 됐음을 눈치챘고, 핀은 핑계를 대고 수학 수업에서 황급히 나왔다고 한다.
성을 제외하고 이름만 밝히길 원한다는 핀은 자신이 자랑하려는 게 아니라고 강조한다.
사실 그는 파우치를 사용하기 시작한 걸 후회한다고 말한다. 그는 이제 스스로를 중독됐다고 여기며, 다른 사람들에게 경고하고 싶다고 했다.
"그냥 전자담배가 지겨워져서 시작했는데, 이제는 이 파우치의 노예가 됐어요."

니코틴 파우치를 사용하는 청소년이 점점 늘어나고 있다. 일부는 전자담배나 담배에서 옮겨 온 케이스이며, 니코틴을 처음 시도하는 경우도 있다.
BBC가 확인한 자료에 따르면, 16세에서 24세 사이의 니코틴 파우치 사용률은 2022년에는 1% 미만이었지만, 2024년에는 3.6%로 거의 네 배 가까이 증가했다.
파우치는 온라인, 슈퍼마켓, 동네 가게 등에서 널리 판매된다.
20개들이 한 팩이 약 5파운드 정도 (한화 약 9330원)이며, 다양한 니코틴 강도와 이국적인 맛으로 구성되어 있다.
강도는 1.5mg에서 많게는 150mg까지 있다는 주장도 있다. 후자의 경우는 보다 "극한의 경험"을 원하는 사람들을 위한 것이다.
문제는 누구나 살 수 있다는 점이다. 담배, 전자담배, 술과는 달리 판매 연령 제한이 없다. 파우치 속 니코틴 강도에 대한 규제도 없다.
영국 거래기준청의 담배 및 전자담배 담당 책임자인 케이트 파이크는 "11세나 12세 아이들이 가게에 가서 이를 산다는 이야기도 들은 적이 있다"고 말했다.
그는 부모와 교사들로부터 아이들에게 파우치가 판매되고 있다는 신고가 점점 늘고 있다고 했다.
"이걸 막을 수 있는 법적 수단이 없다는 게 정말 답답합니다."
니코틴 파우치란?
- 화이트 스누스(white snus)라고도 불리며, 담배 잎에서 추출한 니코틴, 탄산나트륨, 향료, 감미료 등이 포함됨
- 파우치 내 니코틴이 잇몸 안쪽의 부드러운 조직을 빠르게 통과해 혈류에 흡수되도록 하기 위해 pH가 높은 편인데, 이는 탄산나트륨 때문임
(출처: 스웨덴 예테보리대 치의학연구소)
파이크 씨는 정부가 담배 및 전자담배 법안(Tobacco and Vapes Bill) 을 우선적으로 통과시켜야 한다고 주장한다.
해당 법안이 통과되면 18세 미만에게 니코틴 파우치를 판매하는 것이 불법이 된다.
"아이들이 이렇게 중독성 강한 제품에 빠지는 걸 방치하거나 무심하게 방조하는 사람들에게 제재를 가할 수 있어야 합니다."
니코틴 파우치는 많은 양의 니코틴을 포함하고 있지만, "강한 중독성을 지닌 니코틴이 포함되어 있다"는 경고 문구를 제품 포장에 표시할 의무는 없다.

일반 제품 안전 규정에 따르면, 니코틴 함량이 16.7mg을 초과할 경우, 포장에 해골과 X표시의 뼈 그림과 함께 구성 성분을 영어로 표기해야 한다.
하지만 파이크 씨는 이 규정이 점점 더 무시되고 있다며, 거래기준청이 전국에서 수천 개의 불법 제품을 압수하고 있다고 했다.
니코틴 파우치는 담배보다 해로움이 훨씬 적고, 폐로 유해 화학물질이 들어가지 않기 때문에 전자담배보다도 위험이 덜할 수 있다.
UCL(University College London)의 선임 연구원 해리 태튼-버치는 파우치가 "니코틴을 섭취하는 가장 덜 해로운 방식"이라고 말한다.
"흡연이나 전자담배를 끊기 위한 수단으로 사용된다면, 공중 보건에 긍정적인 영향을 줄 수 있습니다. 하지만 그것은 어디까지나 니코틴을 끊으려는 사람들이 사용할 경우입니다. 처음 니코틴을 접하는 청소년이라면 이야기가 다르죠."
담배나 전자담배보다 건강 위험이 적을 수는 있지만, 고함량 니코틴 파우치를 사용하는 사람들에게는 심혈관계 위험이 여전히 존재한다.
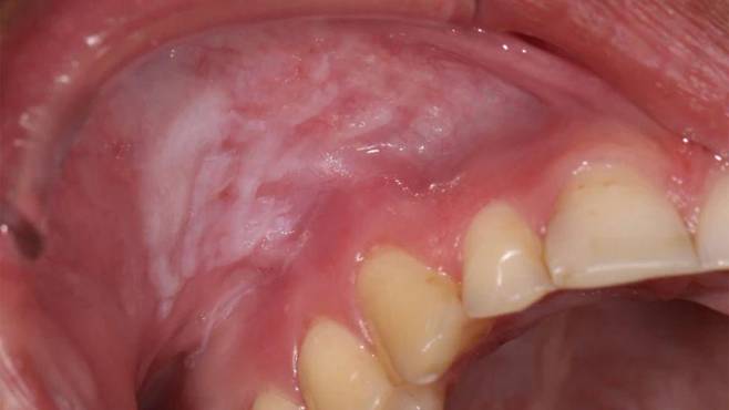
파우치가 잇몸에 미치는 손상에 대한 우려 또한 점점 커지고 있다.
니코틴 파우치를 1년 넘게 사용해 온 핀은 결국 "입 안이 완전히 너덜너덜"해졌으며, 한 번은 "잇몸의 절반이 벗겨졌다"고 말했다.
영국 본머스에 있는 스웨덴 출신 치과의사 패트릭 사라비 박사는, 파우치를 사용하는 환자들 중 일부가 치아 뿌리가 보일 정도로 깊은 잇몸 병변을 겪는 사례를 치료해 오고 있다.
그는 "니코틴 파우치가 장기적으로 끼치는 손상은 정말 심각한 우려를 낳고 있다"고 말했다.
그의 환자 중 한 명인 23세 대학생은 전자담배를 끊기 위한 시도이자 공부에 집중하기 위한 수단으로 시험공부를 하며 하루에 파우치를 5개씩 사용했다. 그러다 잇몸에 병변이 생기기 시작했다.
이 환자는 "처음엔 그냥 재미로 시작했다"며 "그런데 금방 중독됐다"고 말했다.
"파우치를 대던 잇몸의 살점이 떨어져 나간 걸 보고 나서야 심각성을 깨달았어요."
지금 그는 니코틴에서 완전히 벗어났고, 8개월 전 전자담배와 파우치를 모두 끊은 이후 잇몸이 회복되기 시작했다고 말했다.

니코틴 파우치에 대해 2년간 연구를 해 온 사라비 박사는 이 제품이 국소성 치주질환과 국소성 골손실 위험을 높인다고 설명했다.
그는 원조 담배 기반 스누스(snus)의 고향인 스웨덴에서 시작된 "니코틴 파우치 사용의 파장"이 곧 영국에도 밀려올 것을 우려하고 있다.
16~29세의 25%가 이 제품을 사용하고 있는 스웨덴에서 치과 의사들은 점점 더 많은 환자들이 심한 염증을 겪고 있으며, 이 염증은 수개월에서 길게는 수년에 걸쳐야 낫는 경우도 있다고 말한다.
예테보리 대학교에서는 화이트 스누스가 담배 기반 제품보다 왜 더 큰 손상을 남기는지에 대한 5년짜리 연구가 이제 막 시작됐다.
이 연구를 이끄는 구강의학 전문의 지타 게일 박사는, 이 제품의 장기적인 영향에 대해 아직 거의 알려진 바가 없는데도 이렇게 많은 사람들이 사용하고 있다는 사실이 "매우 충격적"이라고 말했다.
영국 정부는 현재 상원에서 심사 중인 '담배 및 전자담배 법안(Tobacco and Vapes Bill)'이 통과되면, 니코틴 파우치의 18세 미만 판매를 금지하고, 아동 대상 니코틴 제품 및 전자담배 광고와 마케팅도 막을 수 있을 것이라고 밝혔다.
정부 대변인은 "이 법안은 차세대가 니코틴에 중독되는 걸 막고, 중독과 그로 인한 불이익의 악순환을 끝내는 데 기여할 것"이라고 덧붙였다.
핀은 학교 친구들 다수가 전자담배에서 니코틴 파우치로 갈아탔다고 했다. 자신도 마찬가지였지만, 이제는 그만두고 줄여보려 애쓰고 있다고 말했다.
핀은 "파우치 생각밖에 안 나고, 너무 심각했다"고 말했다.
"스누스는 전자담배보다 훨씬 끊기 힘들어요."
"제 조언요? 그냥 아예 시작하지 마세요. 니코틴은 사람을 덫에 가두는 물건이에요."