
사람들은 치아가 하얗고 깨끗해야 건강하다고 생각한다. 하지만 치아의 색은 단순히 미용적인 문제를 넘어, 전신 건강과 직결된 중요한 신호일 수 있다. 치아는 뼈와 마찬가지로 신체 내부 상태를 반영하는 조직이다.
색의 변화는 충치, 잇몸질환뿐 아니라 간 질환, 영양 상태까지 드러낼 수 있다. 따라서 치아 색을 잘 살펴보는 것은 건강 점검의 중요한 단서가 된다.

노란색 치아, 단순 착색일까
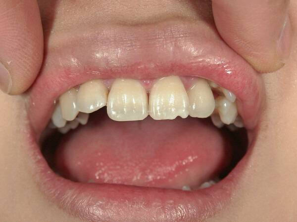
치아가 노랗게 변하는 가장 흔한 원인은 음식이나 음료에 의한 착색이다. 커피, 홍차, 와인, 흡연 등이 대표적이다. 그러나 단순 착색을 넘어선 문제가 숨어 있을 수도 있다. 치아 법랑질이 마모되면서 안쪽의 상아질 색이 드러나면 자연스럽게 노란빛을 띠게 된다.
이는 나이가 들면서 흔히 나타나며, 구강 관리가 부족하거나 잦은 산성 음식 섭취로 법랑질이 약화될 때 더 두드러진다. 결국 노란 치아는 단순 미용 문제가 아니라, 치아 보호층이 손상되고 있다는 신호일 수 있다.

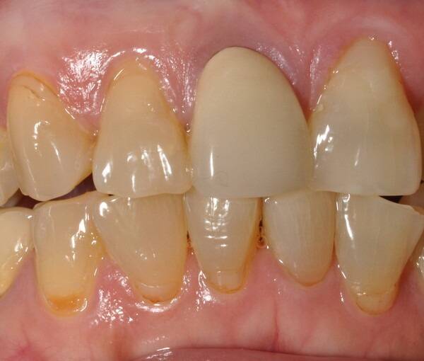
갈색이나 검은색 치아, 충치 가능성
치아가 갈색이나 검은색으로 변했다면 충치를 우선 의심해야 한다. 충치는 세균이 치아를 파괴하면서 색이 점점 어두워지는 것이 특징이다. 특히 작은 검은 점이 생겨 점차 넓어지면 치아 내부까지 세균이 침투한 상태일 수 있다.
또한 금속성 충전물의 부식이나 오래된 보철물 때문에도 색이 변할 수 있다. 단순히 미용 차원에서 하얗게 만들려 하기보다는 조기에 치과 검진을 받아 충치 치료가 필요한지 확인하는 것이 중요하다.

회색빛 치아, 신경 손상 신호
치아가 갑자기 회색빛을 띠는 경우도 있다. 이는 외상이나 신경 손상으로 인한 신호일 가능성이 크다. 치아 신경이 죽으면 혈액 공급이 끊기면서 치아 내부가 어두워지고, 그 결과 치아가 전체적으로 탁한 회색이나 청회색을 띤다.
이런 경우 통증이 없더라도 이미 신경 손상이 진행된 상태일 수 있어 방치하면 치아를 잃을 수 있다. 따라서 회색 치아는 미관상 불편함 이상의 문제로, 반드시 전문적인 신경치료가 필요하다.

하얗게 반점이 생기는 치아, 불소 과잉이나 질환
치아 표면에 하얀 반점이 생기는 경우도 있는데, 이는 불소 과잉 노출로 생기는 ‘치아 불소증’일 수 있다. 반대로 영양 불균형이나 법랑질 발육 부전으로도 나타난다. 어린 시절 영양 상태가 불균형하거나 특정 약물에 과도하게 노출되면 치아 발육이 제대로 되지 않아 반점이 남는다.
성인의 경우에도 초기 충치가 진행되면서 하얗게 탈회된 부위가 보일 수 있다. 결국 단순한 미백으로는 해결되지 않으며, 원인을 정확히 진단하고 치료하는 것이 필요하다.

치아 색 변화에 따른 생활 관리법
치아 색깔은 단순히 미관을 좌우하는 문제가 아니다. 신체 건강의 신호일 수 있다는 점에서 세심한 관찰이 필요하다. 색이 변하면 먼저 치과 진료를 통해 충치, 신경 손상, 불소 과잉 여부 등을 확인해야 한다. 생활습관 관리도 중요하다.
착색을 줄이려면 흡연을 줄이고, 색소가 강한 음식 후에는 반드시 양치나 가글을 하는 것이 좋다. 정기적인 스케일링과 불소 도포도 예방에 도움이 된다. 무엇보다 중요한 것은 치아 색 변화를 ‘미용 문제’로만 여기지 않고, 몸이 보내는 건강 경고 신호로 받아들이는 것이다.