치과에서 ''스케일링'' 절대 받지 마세요, 나중에 치아 전부 다 녹아내립니다

목차
스케일링은 왜 두려움의 대상이 됐나
스케일링 후 실제로 일어날 수 있는 불편감
“치아가 녹아내린다”는 주장의 근거와 과학적 반박
잇몸 후퇴·치아 사이 벌어짐의 진짜 원인
시림·피·불편감, 왜 생기는가
스케일링을 받지 않을 때 생기는 진짜 위험
건강한 치아 지키는 올바른 관리법
전문가가 권장하는 스케일링 주기
한국인 구강 환경에 맞는 맞춤 케어

1. 스케일링은 왜 두려움의 대상이 됐나
많은 사람이 스케일링 후 치아 시림, 잇몸 퇴축, 치아 사이 벌어짐 등 다양한 문제를 겪었다고 말합니다. “치아가 녹아내린다”는 과장된 소문까지 온라인상에 떠돌기도 하지만 실제로는 사실이 아닙니다.

2. 스케일링 후 실제로 일어날 수 있는 불편감
스케일링 후 일시적인 시림, 잇몸 출혈, 치아 사이의 허전함, 씹을 때의 약간의 통증 등이 느껴질 수 있습니다. 대체로 며칠~2주 이내 자연스럽게 사라지는 증상들입니다.

3. “치아가 녹아내린다”는 주장의 근거와 과학적 반박
현대 스케일링 기구(초음파 스케일러)는 치아에 위험할 만큼 강하게 작동하지 않으며, 치아 자체를 갈아내거나 손상시키지 않습니다. 녹아내리는 현상은 과학적으로 불가능하며, 표면의 치석이 떨어지면서 치아와 잇몸이 더 드러나 ‘허전함’을 느끼는 것이 전부입니다.

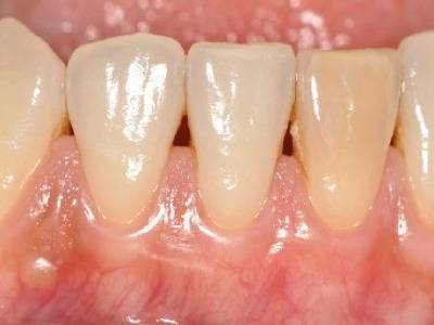
4. 잇몸 후퇴·치아 사이 벌어짐의 진짜 원인
잇몸이 내려가거나 치아가 벌어진 것처럼 느껴지는 현상은 오래된 치석이 제거된 뒤 치아와 잇몸 사이의 공간이 드러나면서 생기는 착각입니다. 자체 부작용이 아니라, 기존 구강 건강이 안 좋아서 치석이 심하게 쌓였던 곳에서 자주 발생합니다.

5. 시림·피·불편감, 왜 생기는가
치석이 제거된 부위에 일시적으로 민감해지면서 시린 느낌, 잇몸 출혈이 나타날 수 있지만, 이는 정상적인 회복 과정입니다. 시림 증상은 1~2주 내에 사라지고, 시린이 전용 치약을 사용하면 효과적으로 관리할 수 있습니다.

6. 스케일링을 받지 않을 때 생기는 진짜 위험
치석이 쌓여 방치되면 치주염, 풍치, 심한 경우 치조골 파괴, 발치로 이어질 수 있습니다. 오히려 스케일링을 피할수록 전체 치아 건강에 더 심각한 위협이 됩니다. 정기적인 스케일링이 잇몸병 예방에 가장 확실한 방법임을 치과 전문의들도 권장합니다.

7. 건강한 치아 지키는 올바른 관리법
스케일링 후 부드러운 칫솔, 시린이 치약, 미지근한 물 사용, 자극적 음식 피하기 등으로 일시적 불편감을 줄이고, 철저한 양치와 치실 사용, 6개월~1년마다 정기 검진+스케일링이 권장됩니다.