수술 받아도 30~40%는 ‘이 암’ 재발···이래도 피우시겠습니까[건강 팁]
요로상피암이 전체 방광암의 90%로 대부분 차지
‘방향족 아민’ 등 화학물질 취급 직업도 고위험군
가장 흔한 증상은 혈뇨···전립선·방광질환과 유사
수술 후 30~40%는 재발···예방·조기발견 힘써야

방광암은 소변을 저장하는 장기인 방광에 생긴 암을 지칭한다. 주로 60·70대에 발생하지만 젊은 층에서도 발생할 수 있다. 통상 남성의 발병 위험이 여성보다 3~4배 가량 높다. 방광암은 암세포 형태에 따라 종류가 나뉜다. 요로상피암이 전체 방광암의 약 90%로 대부분을 차지하고 편평세포암이 6~8%, 선암이 2%의 비중을 나타낸다. 방광암의 원인은 아직 명확히 알려지지 않았다. 요로상피암은 담배 연기와 주변의 화학물질 같은 발암물질 때문에 발생한다고 알려져 있다. 흡연자는 비흡연자보다 방광암에 걸릴 확률이 약 4배 높은 것으로 보고된다. 직업상 각종 화학물질에 노출돼 방광암이 생기는 경우도 전체의 20~25%에 달하는 것으로 알려져 있다. 고무, 가죽, 직물, 인쇄 재료, 페인트 제품 등 ‘방향족 아민’이라고 불리는 화학물질을 취급하는 직업이 대표적이다. 그 밖에 감염, 결석, 인공 감미료, 방사선조사, 항암제 등도 방광암의 원인이 될 수 있다.

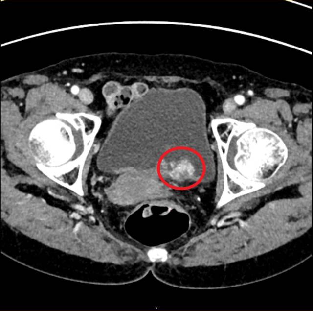
방광암의 가장 흔한 증상은 통증이 없는 혈뇨다. 방광암 환자 10명 중 9명은 혈뇨가 첫 번째 증상으로 나타난다. 소변이 명백하게 붉은색으로 보이거나 녹색으로 변할 수도 있다. 정상보다 더 자주 소변이 마렵거나 갑자기 소변이 마려운 절박뇨, 배뇨 시 통증이 발생하는 배뇨통 등의 증상을 겪기도 한다. 이는 전립선염 같은 전립선질환이나 방광염 증상과 유사하다. 만약 전립선이나 방광질환이 잘 치료되지 않는다면 방광암을 의심해보는 것이 좋다. 대개 암이 진행되면 체중감소와 통증이 나타나는데 전이 부위에 따라 증상이 달라진다. 뼈로 암이 전이되어 뼈에 통증이 생기고 신장에 물이 차는 수신증이 생기면서 옆구리 통증이 생길 수 있다. 방광암이 의심되면 먼저 컴퓨터단층촬영(CT)과 방광내시경 검사를 시행한다. 방광에 종양이 보이면 전신마취 상태에서 요도를 통한 내시경 수술로 종양 조직을 절제하고, 병리검사로 방광암을 확진하게 된다. 이 때 암세포가 저등급 혹은 고등급인지, 암조직이 방광 근육을 침범했는지 여부가 중요하다. 저등급 암은 대개 진행·전이가 드물고 임상 경과가 양호하지만 고등급 암은 진행·재발이 흔하기 때문에 보다 주의를 기울여야 한다.
방광암 환자 10명 중 8명은 방광근육을 침범하지 않은 단계에서 진단된다. 비근육침범 방광암은 내시경으로 종양을 제거하는 ‘경요도 절제술’로 치료가 가능하다. 이후 방광암의 병기와 등급에 따라 적절한 방광 내 항암치료 또는 면역치료를 시행하게 된다. 최대한 본인의 방광을 보존하면서도 재발과 진행을 막는 것이 목표다. 반면 근육침범 방광암은 대개 고등급 암이기 때문에 ‘방광 적출술’로 치료한다. 방광 전체를 제거하면 소변 배출에 문제가 생기다 보니 소장의 55㎝ 정도를 이용해 새로운 방광을 만드는 ‘요로전환술’을 같이 시행하는 경우가 많다. 소장방광을 만들기 부적절한 경우 소장을 이용해 회장도관을 만들어 소변을 배출시킨다. 환자의 오른쪽 복부에 소장의 끝을 노출시키는 요루를 만들어 주는 방법이다.

방광암은 수술이 복잡하고 수술 후 재발률이 30~40%에 달하는 데다 전이가 잦다. 성기능을 잃는 경우가 많고 자연 임신이 불가능해 환자들의 심리적 불안감도 크다. 따라서 수술 전후로 항암치료를 병행하거나 근육침범 방광암의 크기, 발생 위치, 개수 등을 종합적으로 고려해 수술 전후 항암치료를 병행할 수 있다. 방사선 치료를 병행해 원래의 방광을 살리는 방광보존치료를 시행하기도 한다. 최근에는 로봇을 이용한 최소침습수술 시행률이 높아지는 추세다. 로봇수술은 배를 갈라 진행하는 개복수술만큼 치료 효과가 좋으면서도 출혈, 합병증이 적고 회복이 빨라 환자들의 삶의 질 향상에 기여하고 있다. 정밀한 수술로 전립선 등 주변 신경혈관다발을 건드릴 가능성이 적어 성기능을 보존하기에도 용이하다.
방광암은 무엇보다 예방이 중요한 암이다. 가장 중요한 예방 수칙은 금연이다. 간접흡연도 피하고 방향족 아민을 취급하는 직업에 종사한다면 화학물질을 안전하게 취급하는 습관을 갖는 것이 중요하다. 과일, 채소가 많은 균형 잡힌 식사와 충분한 수분 섭취도 도움이 된다. 40세부터는 정기적인 소변 검사를 통해 혈뇨 증상의 조기 발견에 힘쓰는 것이 중요하다.

Copyright © 서울경제. 무단전재 및 재배포 금지.
- '카리나 차에서 못 내려'…성수동 '프라다 행사' 몰려든 인파에 결국
- 최민환, 전처 율희 사생활 폭로에 활동 중단…경찰 '성매매 위반 혐의' 내사
- 관중이 던진 폭죽 줍다가 '펑'…결국 손가락 절단된 벨기에 축구선수
- '아침 내내 울었다'…브루노 마스 '아파트' 음방 1위에 '한글 소감' 썼다
- 영원한 '일용엄니' 배우 김수미 사망…지병으로 추정
- 문전성시 이루는 삼성동 9000원 함바집…강남 전체 소비는 줄었다
- '의대 힘들게 뭐하러' '장마철엔 미국집'…강남 슈퍼리치들의 '그사세'
- ''삐약이' 신유빈 효과 이 정도일 줄은'…주문 '30배' 폭증에 대박 난 '이 회사'
- '황금 당근 얻었다'…테슬라 시총 하루새 1500억달러 불어나
- '서울에서만 4500억 쓰고 있다'…외신도 주목한 '이 전염병' 뭐길래