콩팥 정맥이 복부 동맥에 심하게 눌려 발생…"정상 체중 이하 여성에게 많아"


30대 여성 A씨는 갑작스러운 혈뇨에 혹시 암이 아닐지 덜컥 겁이 났다. 이내 여러 병원을 찾아 방광 내시경, 콩팥 조직 검사, CT(컴퓨터단층촬영), MRI(자기공명영상) 검사 등을 한 결과 다행히 암은 아니었다.
하지만 혈뇨 증상은 몇 년에 걸쳐 나타났다가 사라지기를 반복했고 불안감은 커져만 갔다.
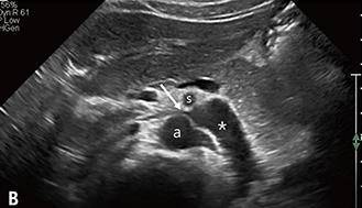
그러다가 한 대학병원에서 초음파 검사를 통해 '호두까기증후군'(Nutcracker Syndrome)이라는 생소한 질환을 진단받았다.
연합뉴스 보도에 따르면 호두까기증후군은 왼쪽 콩팥 정맥이 대동맥과 상장간동맥 사이에서 눌려 콩팥 안에 압력이 증가하면서 미세한 콩팥 조직과 혈관에 손상이 생기는 질환을 일컫는다.
증상으로는 왼쪽 콩팥 정맥의 압력이 올라가면서 콩팥 속의 작은 정맥이 터져 혈뇨가 발생하거나 단백뇨, 옆구리 통증 등의 증상이 나타난다.
호두까기증후군이라는 질환명은 두 동맥이 콩팥 정맥을 누르는 모양새가 마치 호두까기 기계의 집게처럼 보이고, 콩팥 정맥이 호두처럼 보인다고 해서 붙여졌다.

문제는 호두까기증후군이 아직은 환자뿐만 아니라 의료진에게조차 생소한 질환이라 A씨의 사례처럼 증상이 나타나도 조기에 정확한 진단이 힘들다는 점이다. 국제적으로도 이제야 진단과 치료법 등에 대한 전문가 합의가 이뤄지고 있다.
미국혈관외과학회 정맥포럼이 발행하는 국제학술지(Journal of vascular surgery. Venous and lymphatic disorders) 최신호(2025년 1월)를 보면 미국, 네덜란드, 영국, 프랑스 등의 혈관외과 전문가 20여명은 호두까기증후군에 대한 국제적인 합의 문서 개발을 진행 중이라고 밝혔다.
그동안 나라별로, 의료진마다 조금씩 달랐던 진단 기준과 치료, 후속 관리법 등을 표준화하겠다는 것이다.
이 논문에서 의료진은 호두까기증후군 발생에 따른 신체 증상으로 옆구리 통증을 가장 많이 꼽았으며 이어 혈뇨, 골반 통증, 단백뇨 등을 지목했다.
국내에서도 최근 호두까기증후군 진단 환자가 늘어나는 추세이지만, 전체적인 유병률은 명확한 집계가 없는 상황이다.

이대목동병원 영상의학과 김승협 교수는 1일 "호두까기증후군은 우리 병원에서만 1년에 200명 안팎의 환자가 확진될 정도로 늘고 있지만, 아직은 체질량지수 25 이하의 정상 체중 여성에게 자주 나타나는 질병 정도로만 알려져 있을 만큼 생소하다"고 말했다.
김 교수는 "상대적으로 체중이 덜 나가는 사람은 복부지방이 적고, 왼쪽 콩팥 정맥 주변에도 쿠션 역할을 할 수 있는 지방조직이 많지 않아 두 동맥 사이에 눌리는 현상이 좀 더 심한 것으로 보인다"면서 "마른 사람에게 좀 더 많이 나타나는 요추 전만(앞쪽으로 활처럼 휘어진 상태)도 콩팥 정맥을 누르는 원인으로 추정된다"고 설명했다.
호두까기증후군으로 진단됐을 때 가장 먼저 해야 할 일은 잠잘 때 될 수 있으면 왼쪽으로 누워 자는 습관을 들이는 것이다. 낮에는 될수록 많이 움직이는 것도 증상 개선에 도움이 된다.
이렇게 생활 습관을 바꾸는 것만으로 증상이 좋아지지 않는다면 적극적인 치료를 검토할 수 있다.
그동안의 치료법으로는 눌린 혈관을 잘라서 다시 연결하거나 혈관 내에 스텐트 등을 삽입하는 방식이 주로 쓰였다. 하지만 이 치료법은 평생 약을 먹거나 스텐트가 혈관 내에서 움직이는 등의 부작용이 단점으로 꼽힌다.
이에 최근에는 혈관 대체 물질을 이용해 눌려 있는 왼쪽 콩팥 정맥을 눌리지 않도록 감싸는 방식의 '신정맥 감압 로봇수술'이 시행 중이다. A씨도 최근 이 수술을 받고 혈뇨 증상이 개선됐다.
이대비뇨기병원 김완석 교수(비뇨의학과)는 "신정맥 감압술은 혈관 내 이물질이 남지 않아 추가로 약물치료가 필요하지 않고, 부작용 또한 극히 드물다"면서 "수술받은 환자들은 CT와 초음파 검사 결과 눌려있던 혈관들이 눌리지 않고 혈류 속도가 감소했으며, 소변검사에서 혈뇨도 관찰되지 않았다"고 말했다.

Copyright © 저작권 보호를 받는 본 콘텐츠는 카카오의 운영지침을 준수합니다.