Sony a7RV , Canon 6D Mark II + 소프트 박스 를 사용해서 환자분 전후 사진을 찍고 있습니다.
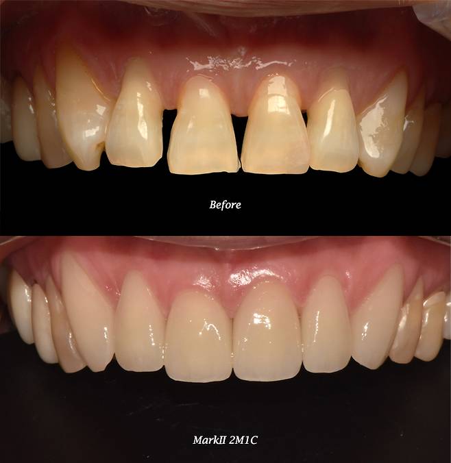
제 고민은 아래 사진에서 보시는것 처럼.. 찍을 때 마다 환자 분 잇몸 색깔과 치아 색깔이 변합니다.
그래서 시술전 잇몸색깔과 시술후 잇몸색깔, 그리고 치아색이 차이가 납니다...
처음에는 화이트밸런스를 오토로 놓고 찍다가, 카메라 화이트밸런스 셋팅에 있는 플래쉬모드로 셋팅하고 찍었습니다만.
저희 치과가 남향에 통창이라, 아침에 햇볕이 많이 들어올때와 저녁에 해가 지고 난 다음에 찍을 때가 다릅니다.
그래서 그레이카드로 화이트밸런스를 커스터마이징 하고 난 다음에 찍어봐도... 한달 전 사진과 한달 후 사진의 색감이 다릅니다.
특히 sony a7RV는 와~ 진짜 천차만별 자기 맘데루 입니다. 그나마 캐논이 조금 나아서 지금은 캐논으로 찍고 있습니당...
소프트 박스는 포토다이나믹 제품을 사용하고 있습니다.
어떻게 하면 한달 간격의 전 후의 잇몸색깔을 맞출 수 있을까요?
참 저는 신뢰도를 높이기 위해 리사이징을 제외한 다른 포토샵은 사용하지 않습니다.
고수님들 좀 도와주십시요~~~~~ ^^;;

.

.

.

.

.

.

.

.
