자고 일어나면 뻣뻣한 허리? 단순 근육통 아닌 '이 병'일 수도?[건강 팁]
척추와 천장관절에 염증이 발생하는 만성질환
일반적인 허리 통증과 유사해 초기 진단 놓치기도
아침에 유독 허리 통증 심하고 운동 시 호전 경향

강직척추염은 척추와 천장관절에 염증이 발생하는 만성질환이다. 질환이 진행되면 척추뼈가 서로 붙어 움직임이 제한될 수 있고 심한 경우 척추가 대나무처럼 딱딱하게 굳어가는 대나무 척추(Bamboo Spine)로 발전할 수도 있다. 척추 뿐 아니라 손목, 무릎 등의 말초 관절과 각종 신체기관에 영향을 미쳐 포도막염, 건선, 크론병, 궤양성 대장염 등의 위험을 높인다. 강직척추염의 초기 증상은 일반적인 허리 통증과 유사하다. 허리가 뻣뻣하거나 불편함을 느끼지만 단순한 근육통이나 생활 습관의 문제로 오해하기 쉽다. 방치하면 염증이 지속되면서 척추의 변형이 진행될 수 있으므로 조기 진단이 중요하다.
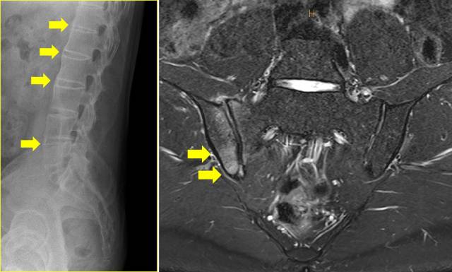
36세 남성 A씨는 몇 년 전부터 간헐적인 허리 통증을 경험했다. 그는 오랜 시간 앉아서 일하는 직업을 가진 탓에 피로가 누적된 것으로 여겼고 피곤할 때마다 진통소염제를 복용하는 데 그쳤다. 하지만 시간이 지나면서 통증이 점점 심해졌고 병원을 찾았을 땐 이미 대나무 척추 변형으로 진행된 상태였다(왼쪽 사진). 반면 27세 여성 B씨는 허리 통증이 세 달 넘게 이어지자 병원을 방문했다. 아침에 유독 통증이 심하고 움직이면 증상이 호전되는 특징을 보이자 단순한 근육통이 아닐 수도 있다는 생각이 들었다. 내원 당시 척추 엑스레이(오른쪽 사진)에서는 뼈의 강직이나 구조적 변화가 보이지 않았다. 반복적인 증상이 나타나 추가로 자가공명영상(MRI) 검사를 시행한 결과 천장관절의 염증이 확인돼 강직척추염으로 진단됐다. B씨는 조기 치료를 시작하고 꾸준한 운동을 병행하면서 질환의 진행을 막을 수 있었다. 강직척추염을 초기에 발견해 적극적으로 치료하면 진행을 억제할 수 있음을 보여주는 단적인 예다. 그러나 현실에서는 첫 번째 사례처럼 진단이 늦어져 병을 키우는 환자들이 많다.

학계에 따르면 강직척추염의 진단은 평균 6~8년 가량 지연되고 있다. 진단이 늦어지는 첫 번째 이유는 초기 증상이 일반적인 허리 통증과 비슷하기 때문이다. 피로나 자세 문제라고 생각해 병원을 늦게 찾는 경우가 많고, 특히 젊은 환자들은 "나이가 어린데 관절염일 리 없다"며 증상을 방치하는 경향이 있다. 두 번째 이유는 강직척추염의 초기 병변은 MRI에서만 확인 가능하다는 것이다. 단순 엑스레이에서는 초기 병변이 보이지 않는데, 병원에 내원하고도 '정상' 소견을 받고 돌아가는 경우가 많다. 성별차도 진단을 어렵게 만든다. 남성 환자는 HLA-B27 유전자 양성률이 높고 전형적인 방사선 소견(강직성 변화)이 뚜렷하게 나타나는 데 비해 여성 환자는 HLA-B27 양성률이 낮고 이러한 특징이 상대적으로 덜하다. 말초관절염 같은 증상이 먼저 나타날 가능성도 커 류마티스관절염, 섬유근육통으로 오진되는 경우가 많다. 질환에 대한 인식 부족도 진단이 늦어지는 원인 중 하나다. 실제 강직척추염으로 인한 허리 통증을 단순한 근육통이나 디스크 문제로 여겨 병원을 전전하다가 골든타임을 놓치는 사례가 적지 않다.
아침에 심하고 운동하면 나아지는 허리 통증이 3개월 이상 지속되거나 강직척추염의 가족력 또는 포도막염, 건선, 크론병, 궤양성 대장염의 병력이 있다면 강직척추염을 의심해야 한다. 강직척추염은 조기에 발견할수록 치료 효과가 좋고 진행을 막을 수 있다. 치료 목표는 통증과 염증을 조절하고 척추의 변형을 방지하며, 환자의 삶의 질을 유지하는 것이다. 강직척추염의 치료는 크게 비약물 치료와 약물 치료로 나뉜다. 1차 치료는 규칙적인 운동과 물리치료다. 비스테로이드성 소염제는 염증과 통증을 줄이는 1차 치료제로 사용된다. 증상이 조절되지 않는 경우 생물학적 제제나 표적 합성 치료제가 사용될 수 있다. 흡연은 질환 진행을 악화시킬 수 있어 금연이 권장된다.

강직척추염은 젊은 연령대에서도 발생하는 질환이다. 조기에 발견하고 치료하면 정상적인 생활을 유지할 수 있지만 진단이 늦어질 경우 척추가 점점 굳어져 심한 운동 제한과 통증을 겪을 수 있다. 허리 통증이 오래 지속된다면 단순한 피로로 넘기지 말고, 강직척추염 여부를 확인하는 것이 중요하다.

Copyright © 서울경제. 무단전재 및 재배포 금지.
- '로또 100억 대박 터졌나'…1등 수동 5개 무더기 당첨 명당은
- '같이 벚꽃 보러 갈 사람 구해요'…'일당 20만원' 데이트 아르바이트 뭐길래? [이슈, 풀어주리]
- “아이유, 헌법수호 실천한 예술가” 성명문…尹 파면에 ‘집회 선결제’ 재조명
- 몰래 드라마 보더니 '장가계 와라'…중국이 보낸 깜짝 '초대장', 무슨 일?
- 윤석열 '전 대통령' 김건희 '기업인'…尹 검색해 보니 발 빠르게 바뀌었다
- '방 빼세요' '이제야 봄이다'…이동욱·김규리 등 '尹 파면' 환호
- '대통령 윤석열을 파면한다' 선고에…책상 '쾅' 내려친 전한길 꺼낸 한마디
- '尹 파면'에 분노한 JK김동욱 “대한민국 예상보다 빨리 망할 것”
- “나름 기회 드렸는데, 고소 들어갑니다”…민증 공개한 황보, 무슨 일?
- 서예지, 악플러 잡고 보니 前 스태프였다…”선처·합의 없을 것”