콘택트렌즈, 절대 ‘수돗물’로 씻으면 안 되는 이유 [메디컬 인사이드]

미용에 탁월…콘택트렌즈 전성시대
‘렌즈 관리법’ 얼마나 알고 있나요
시력교정과 미용 효과를 동시에 얻는 ‘콘택트렌즈’ 이용이 늘고 있습니다. 한국 인구의 10%가 사용한다는 통계가 있을 정도입니다. 그러나 이렇게 사용량이 늘다보니 콘택트렌즈 사용법을 제대로 확인하지 않은 청소년들이 무분별하게 제품을 사용하는 사례가 증가하고 있습니다.
심지어 콘택트렌즈를 아예 세척하지 않거나 친구들과 돌려서 사용하는 일도 있다고 합니다. 결국 병원 신세를 지고 나서야 생각을 바꾸게 되죠. 왜 그런지 구체적으로 설명해드립니다.
26일 대한안과학회와 한국콘택트렌즈학회에 따르면 콘택트렌즈를 착용할 때 가장 흔하게 생기는 병은 ‘각막염’입니다. 콘택트렌즈로 인한 각막염의 60%는 우리 주변에서 흔히 볼 수 있는 ‘녹농균’에 의해 발생합니다.
녹농균은 항생제 내성이 잘 생기기 때문에 치료가 쉽지 않습니다. 소프트렌즈의 대표 격인 ‘실리콘하이드로겔 렌즈’에 잘 달라붙는 특징도 있습니다. 렌즈 표면이 거친, 제조사 불명의 조잡한 컬러렌즈에서도 녹농균 번식 위험이 높습니다.

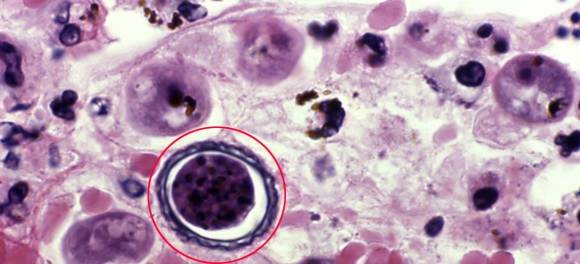
●작지만 무서운 ‘가시아메바’…항생제도 무용지물
여러분 대부분 세균 감염을 막는 ‘렌즈 세척법’은 잘 알고 있습니다. 렌즈 세척제나 다목적 관리용액을 1~2방울 떨어뜨린 뒤 손의 약지나 새끼 손가락 끝부분으로 가볍게 20초 정도 문지르는 방식이 일반적입니다. 이런 부분에선 실수가 거의 없죠. 감염은 다른 틈을 노립니다.

렌즈를 세척하고 난 뒤 멸균된 식염수로 충분히 씻어야 하는데 이 식염수를 장기간 사용하는 분이 있습니다. 식염수 오염은 아주 흔하기 때문에 작은 용량으로만 쓰고 1주일을 넘기면 안 됩니다. 심지어 식염수를 쓰지 않고 ‘수돗물’로 헹구는 분도 있는데, 절대 하지 말아야 할 위험한 행동입니다.
수돗물이 렌즈에 닿으면 ‘가시아메바’라는 위험한 미생물이 달라붙습니다. 가시아메바는 물이나 토양에 서식하는 미생물이지만, 상처나 점막을 통해 침투하기 때문에 병을 일으킬 확률은 매우 희박합니다. 그러나 콘택트렌즈는 가시아메바가 달라붙기 좋은 환경이기 때문에 각막 감염 확률을 450배나 높입니다.

가시아메바는 렌즈에서 잘 떨어지지 않을 뿐만 아니라, 일반 항생제로는 제거하기 힘든 까다로운 녀석입니다. 세포벽이 매우 두꺼워 생존력이 강하기 때문입니다. 그래서 꽤 복잡한 소독과정을 거치는 수돗물에서도 살아남습니다.
따라서 ‘염산폴리헥산메틸렌비구아니드’(PHMB), ‘클로로헥시딘’ 등 이름조차 생소한 강력한 ‘소독제’를 한꺼번에 투약하는 치료를 받아야 합니다. 만약 이 치료마저 실패하면 끔찍한 일이지만 ‘각막이식’을 해야 합니다. 가시아메바는 더러운 손으로 렌즈를 만질 때도 감염될 수 있습니다.

●당신이 아는 것보다 까다로운 ‘렌즈 관리법’
콘택트렌즈를 세척한 뒤에는 ‘렌즈 보존액’이나 ‘다목적 관리용액’을 채운 용기에 보관하게 되는데요. 오염을 피하려면 이 용액들은 매일 갈아줘야 합니다.
렌즈를 살짝 담궈도 소독된다고 생각하면 오해입니다. 소독이 제대로 이뤄지려면 최소 ‘6시간 이상’ 렌즈를 담가둬야 합니다. 그만큼 렌즈 사용 시간을 줄여야 한다는 겁니다. 보통 설명서에 쓰여져 있지만, 음주나 모임으로 깜빡 잊기 마련입니다. 또 장기간 사용하는 렌즈는 손으로 계속 만지면 단백질이 묻게 되는데, 이물질을 완벽히 제거하려면 제품에 따라 1~4주 간격으로 ‘효소세척제’를 사용해야 합니다.

여기까지만 읽어도 아마 숨이 가쁠 겁니다. 실제로 이런 까다로운 규칙을 제대로 지키는 분은 많지 않습니다. 미생물은 그 틈을 비집고 들어옵니다.
미국 미국질병통제예방센터(CDC)나 한국 질병관리청 모두 한 목소리로 강조하는 부분이 있습니다. 바로 ‘3개월 원칙’입니다. 렌즈 보관용기는 최소 3개월에 1번씩 교체해야 합니다. 세척제, 보존제, 효소 세척제, 다목적 관리용액도 3개월이 지나면 새 것을 사용합니다. 소독효과가 있는 용액은 용기 뚜껑을 늘 닫아야 합니다. 입구를 열어 두면 소독 효과가 떨어질 수 있기 때문입니다.

사실 콘택트렌즈는 그 자체로 눈에 악영향을 줍니다. 눈의 각막은 대부분의 산소를 대기로부터 직접 받아들이는데, 렌즈가 마치 눈을 감은 것과 같은 ‘산소 차단 효과’를 주기 때문입니다. 렌즈를 쓰면 대략 산소 흡수량이 8~15% 가량 감소하는데, 이 때 눈에 신생혈관이 늘어나 충혈이 생기고 눈이 붓게 됩니다. 말랑말랑한 재질의 소프트렌즈는 밀착력이 더 좋아 충혈과 각막부종에 더 취약합니다.
●렌즈 자체가 각막 악영향…위험 줄이려면
콘텍트렌즈는 각막의 두께도 줄입니다. 종류와 무관하게 소프트렌즈는 10년 이상, 하드콘택트렌즈는 25년 이상 사용하면 각막 내피세포에 변형이 일어나고 이후엔 렌즈를 사용하지 않아도 잘 회복되지 않습니다.
많은 분들이 이미 아시겠지만 소프트렌즈는 ‘하이드로겔 렌즈’보단 산소 투과율이 높은 ‘실리콘하이드로겔 렌즈’를, 눈 충혈이나 부종이 잦은 사람은 ‘1회용 렌즈’나 하드렌즈인 ‘RGP 렌즈’를 이용하는 게 좋습니다. 하드렌즈를 처음 사용하면 심한 불편감이 생길 수 있습니다. 전문가의 지도를 통한 눈깜빡임 연습이 필요합니다. 그러면서 하루 4시간 정도로 착용 시간을 줄인 뒤 10~14일간 적응기간을 갖는 것이 좋습니다.

청소년들이 많이 사용하는 미용콘택트렌즈는 ‘6시간 이내’로 짧게 사용하는 것이 좋습니다. 미용콘택트렌즈는 산소투과율가 떨어지고 표면이 더 거칠어 각막염, 각막부종, 충혈이 일어나기 쉽다는 연구결과가 많습니다. 제조 과정의 결함으로 샌드위치 형태로 렌즈 내부에 삽입한 염료가 밖으로 묻어나오는 경우도 있습니다.
렌즈 착용 뒤 눈에 이상을 느끼는 시기는 주로 아침에 눈 떴을 때와 렌즈를 계속 착용한 상태로 잠들었을 때입니다. 만약 안과에서 문제가 있다는 판단이 나오면, 렌즈 관리에 더 신경쓰시길 바랍니다.
정현용 기자
▶ 밀리터리 인사이드 - 저작권자 ⓒ 서울신문사 -
Copyright © 서울신문. 무단전재, 재배포, AI 학습 및 활용 금지.
- 황영웅 ‘불타는 트롯맨’ 하차 “더 늦으면 안될 것 같아서…”
- ‘학폭’ 정순신 아들은 서울대 가고…대입 실패·자퇴 후 해외로
- 유아인 ‘과한 제스처 반복’ 코카인·케타민 때문이었나
- 황교안 “전광훈 목사 고소했습니다” 분노 표출 ‘왜’
- “결혼하면 축하금 1000만원” 주는 도시…인구 역주행
- 식칼로 학생 허벅지 찌른 교사, 교감 승진 논란
- 미코 출신 여배우, 8억 전신 성형설에 입 열었다
- “수퍼카 5대 구입”…권상우, 세무조사서 추징금 10억
- “푸틴의 31살 연하 연인…방 20개 딸린 144억 펜트하우스 소유”
- 도서관에서 빌려온 장난감서 꼽등이가…아기엄마 ‘충격’