혈압 높은데 등에 통증이? 그냥 넘기면 안되는 이유 [건강 팁]
성인 3명 중 1명이 고혈압···대동맥 건강 적신호
대동맥박리·대동맥류 예방하려면 혈압관리 필수
증상 의심되면 즉각 병원 내원해 CT 검사 받아야

혈압은 동맥의 혈관 벽에 대항하는 혈액의 압력이다. 인체의 여러 동맥 중 심장에서 몸 전체로 혈액을 공급하는 대동맥은 혈압의 변화에 민감하게 영향을 받는다. 혈압이 오를수록 동맥질환, 특히 대동맥질환의 발생 위험이 덩달아 높아진다. 대동맥에 질환이 생기거나 파열되는 경우 심장, 뇌, 복부 장기 및 다리 등으로 정상적인 혈액 공급이 되지 않는 허혈로 인해 심각한 합병증이 발생할 수 있다. 자칫 사망에 이를 수도 있으므로 적극적인 치료가 필요하다.
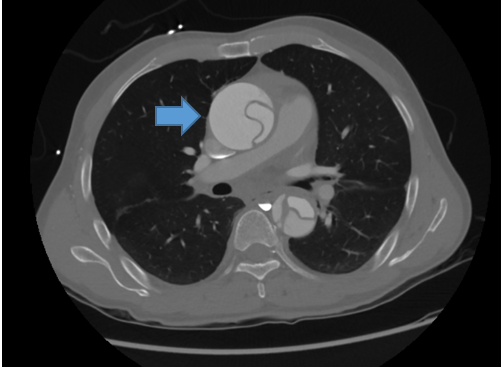
대동맥에 주로 발생하는 질환으로는 대동맥박리, 대동맥류를 들 수 있다. 대동맥박리는 대동맥을 이루는 3층의 막 중 가장 안쪽에 위치한 내막에 미세한 파열이 발생하면서 생기는 질환이다. 고혈압, 마르팡증후군 같이 유전적 원인으로 인해 대동맥의 혈액이 내막과 중막 사이로 고이고 층의 분리가 일어나 발생한다. 대동맥의 층이 분리되면 피가 고인 부분에 ‘가성 내강’이 형성된다. 그 결과 정상적으로 혈류를 보내고 있는 공간인 ‘진성 내강’이 좁아지고 주요 장기에서 피가 부족한 허혈이 생긴다. 얇아져 있는 가성 내강에 혈류가 계속 고여 대동맥 파열로 이어질 수도 있다. 따라서 대동맥박리가 발생한 경우 발생 혈관의 위치와 허혈 증상의 동반 여부가 치료 방향을 결정하는데 매우 중요한다.
대동맥박리는 발생 위치에 따라 크게 A형과 B형의 2가지로 나뉜다. A형 대동맥박리는 심장에 가까운 상행대동맥, 대동맥궁에 대동맥 박리가 있는 경우다. 심장이나 뇌에 허혈을 일으킬 가능성이 높은 데다 혈압이 높은 부위이기 때문에 대동맥 파열로 진행할 위험이 높다. 증상 발현 후 48시간 이내 사망할 확률이 50% 이상일 정도로 매우 위험한 상황이다. A형 박리는 흉통이나 실신, 뇌경색 등의 증상으로 발견되는 경우가 많다. 만약 이같은 증상이 있다면 지체없이 응급실로 내원해야 한다. 컴퓨터단층(CT) 검사 결과 A형 대동맥박리가 맞다면 즉시 응급수술이 필요하다.

대동맥 박리가 하행 대동맥, 복부대동맥에만 발생한 경우 B형 대동맥박리로 분류된다. 등에 갑작스럽게 발생한 통증이나 복부 통증, 다리 마비 등이 주요 증상이다. A형 박리에 비해 사망률이 높지는 않은데 복부 장기, 다리 허혈로 인해 허혈성 또는 괴사성 장염이 생기거나 중증 하지 허혈로 합병증이 생길 수 있다. 이같은 합병증이 의심될 땐 수술 또는 스텐트 시술 등을 통한 응급 치료가 필요하다. B형 박리는 언제든지 박리 부위가 심장이나 뇌혈관 쪽으로 진행돼 A형 박리로 변할 수 있다. 입원 후 혈압 조절과 경과 관찰이 반드시 뒤따라야 하는 이유다. 대동맥박리는 CT 촬영을 통해 박리 유무 및 발생 부위를 쉽게 진단 할 수 있는 만큼 증상이 의심되는 경우 즉각 병원에 내원하는 것이 가장 중요하다.
대동맥류(Aneurysm)는 대동맥을 이루는 3층 중 중막에 위치한 콜라겐이 노화로 약화돼 생기는 질환이다. 혈압을 견디지 못한 대동맥의 직경이 정상 혈관보다 1.5배 이상 늘어난다. 대동맥류는 고령이거나 오랫동안 고혈압을 앓았던 환자에서 주로 발생한다. 유전성 대동맥질환을 가진 경우 상대적으로 젊은 연령대에서도 발병할 수 있다. 대동맥류는 파열된 경우를 제외하고는 대부분 특별한 증상이 없다. 드물지만 대동맥궁에 발생한 대동맥류는 갑자기 쉰 목소리로 변하는 증상으로 발견되기도 한다.

대동맥이 늘어나다가 파열되는 경우는 치료를 하더라도 사망률이 굉장히 높다. 따라서 파열되기 전에 치료를 하는 것이 중요하다. 치료가 필요한 시점은 CT 촬영을 통해 측정한 대동맥의 크기가 5cm를 넘거나 대동맥류의 크기가 커지는 속도가 6개월 동안 0.5cm 이상 빠른지를 따져 결정한다. 대동맥류의 모양이 주머니형이거나 혹처럼 짧은 구간에서 튀어나왔는지 여부도 중요한 요인이다. 대동맥류가 발견됐더라도 크기가 5cm 이하라면 즉각 치료하는 대신 적극적인 혈압 조절, 금연, 운동 등 생활습관 개선이 권고된다. 정기적인 CT 검사도 필수적이다. 대동맥류는 수술 또는 대동맥 내 스텐트 삽입술로 치료한다. 수술은 대동맥의 모양, 위치와 관계 없이 모두 가능하다. 다만 대동맥에 스텐트를 삽입하려면 대동맥류 주위 정상적인 혈관의 범위를 포함해 대퇴동맥의 크기나 질환 유무, 유전성 대동맥질환의 유무 등을 확인해야 한다. 대동맥류의 위치에 따라 수술과 스텐스 삽입술을 함께 시행하는 하이브리드 수술도 가능하다.
고혈압 치료는 대동맥질환의 예방 뿐 아니라 발병 후 수술, 시술 후 관리 측면에서도 매우 중요한 부분이다. 고혈압이나 대동맥 관련 질환으로 진단 받았다면 평소 혈압을 자주 측정하고 적극적인 약물 치료와 생활습관 개선이 필요하다. 흉통, 등 통증 등 의심 증상이 나타나면 즉시 병원을 방문해 정확한 진단을 받아보기를 권한다.

Copyright © 서울경제. 무단전재 및 재배포 금지.
- '성인방송 강요받다 숨진 내 딸' 아버지의 절규…검찰, 징역 7년 구형
- 흥행 열기 뜨거운 KBO리그100경기 달성…압도적 1위는 '한화'
- 이재용 딸 이원주, 美NGO 인턴십 6개월만 종료
- BTS 진 '허그회'서 기습 뽀뽀한 팬, 결국 고발당했다
- '손흥민은 위선자. 이강인보다 나쁘다'…선 넘은 中 해설위원의 '궤변'
- 바이든 대통령도 찾는 '美 베이글 맛집'…퇴출 위기 왜
- '둔촌주공 잡으면 月 2600만원 따박따박'…관리 경쟁도 불붙었다
- BTS 진 '허그회'서 기습 뽀뽀한 팬, 결국 고발당했다
- '오픈런해서 380만 원 주고 샀는데'…디올 핸드백 원가 알고 보니 '허무해'
- 2주 美 출장 마친 이재용…저커버그 집 홀로 찾았다 [biz-플러스]