"4년 생존 이끌었다"…개 비강육종 정밀항암치료, 국제학술지 게재
전체 맥락을 이해하기 위해서는 본문 보기를 권장합니다.
치료가 어려웠던 개 비강육종 환자에서 약 4년 이상의 생존을 끌어낸 정밀 항암치료 사례가 국제 학술지에 게재됐다.
본동물의료센터 수원점 종양팀은 개 비강 육종 환자에서 정밀 항암치료를 적용한 사례를 미국수의내과학회지(JVIM, Journal of Veterinary Internal Medicine)에 발표했다고 밝혔다.
이번 사례의 환자(환견)는 비강(코 안)에서 발생한 육종이 약 2년간 수술과 항암치료 등을 받았음에도 종양이 다시 진행된 상태였다.
이 글자크기로 변경됩니다.
(예시) 가장 빠른 뉴스가 있고 다양한 정보, 쌍방향 소통이 숨쉬는 다음뉴스를 만나보세요. 다음뉴스는 국내외 주요이슈와 실시간 속보, 문화생활 및 다양한 분야의 뉴스를 입체적으로 전달하고 있습니다.

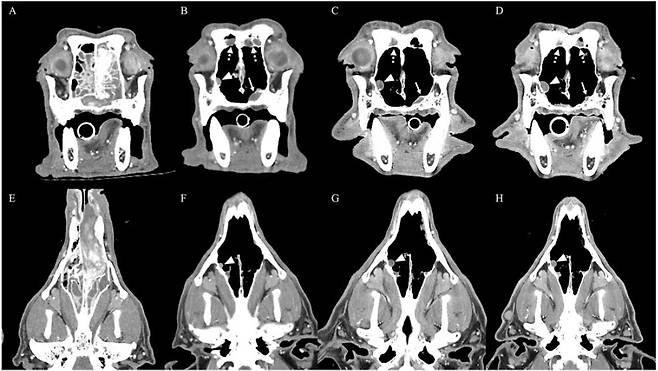
(서울=뉴스1) 한송아 기자 = 치료가 어려웠던 개 비강육종 환자에서 약 4년 이상의 생존을 끌어낸 정밀 항암치료 사례가 국제 학술지에 게재됐다. 종양 특성에 맞춘 약물 선택과 정밀 모니터링의 중요성을 보여준 사례다.
본동물의료센터 수원점 종양팀은 개 비강 육종 환자에서 정밀 항암치료를 적용한 사례를 미국수의내과학회지(JVIM, Journal of Veterinary Internal Medicine)에 발표했다고 밝혔다.
29일 본동물의료센터에 따르면 JVIM은 수의내과 분야의 대표적인 국제 학술지다. 이번 연구에는 김도윤 종양내과부장이 제 1저자로 참여했다. 김용선 대표원장과 최미현 원장이 공동 연구자로 이름을 올렸다.
이번 사례의 환자(환견)는 비강(코 안)에서 발생한 육종이 약 2년간 수술과 항암치료 등을 받았음에도 종양이 다시 진행된 상태였다. 추가 치료가 필요한 상황에서 의료진은 보다 효과적인 치료 방법을 찾기 위해 종양 조직을 정밀 분석했다.

검사 결과 종양세포에서 'PDGFR'이라는 특정 수용체가 과도하게 발현된 것이 확인됐다. 의료진은 이를 근거로 해당 수용체를 표적으로 하는 항암제 '소라페닙'을 선택해 치료를 시작했다.
그 결과 환자는 약 4개월 이상 종양이 더 커지지 않는 안정적인 상태를 유지했다.
그러나 치료 약 4개월 후 환자에게 갑작스러운 코피와 호흡 불편 증상이 나타났다. 일반적인 혈액검사와 응고 검사에서는 특별한 이상이 발견되지 않았다. CT(컴퓨터 단층촬영)에서도 종양 악화는 확인되지 않았다.
이에 의료진은 보다 정밀한 검사인 'VCM-Vet 점탄성 응고 검사'를 실시했다. 그 결과 기존 검사에서는 보이지 않던 '피가 잘 응고되지 않는 상태(저응고 상태)'가 확인됐다.
의료진은 약물 부작용 가능성을 고려해 소라페닙 투여를 중단했다. 이후 환자의 상태는 점차 호전됐다. 실제로 16일, 37일, 58일에 걸쳐 시행한 추가 검사에서 응고 기능이 점진적으로 정상으로 돌아오는 것이 확인됐다. 종양 역시 안정적인 상태를 유지했다.
현재 이 환자는 최초 진단 후 약 4년이 지난 시점에도 비교적 안정적인 상태를 유지하며 장기 생존 중이다.
김도윤 종양내과부장은 "이번 연구는 종양 특성에 기반한 정밀의료가 임상에서 실제 치료 효과로 이어질 수 있음을 보여준 사례"라며 "표적항암치료 중 나타날 수 있는 미세한 이상은 일반 검사로 놓칠 수 있어 기능적 검사를 통한 조기 모니터링이 중요하다"고 덧붙였다.
한편 본동물의료센터는 앞서 소라페닙의 항암 효과를 평가한 연구를 국제 학술지에 발표한 바 있다. 이번 연구를 통해 맞춤형 항암치료와 정밀 모니터링을 결합한 임상 근거를 확장해 나가고 있다. [해피펫]

badook2@news1.kr
Copyright © 뉴스1. All rights reserved. 무단 전재 및 재배포, AI학습 이용 금지.
- 친정서 7억 집 해줬는데 시댁에 100만씩 보내는 남편…시모 "며느리 눈치 왜 봐"
- 48세 탕웨이, 둘째 임신 '경사'…플랫슈즈 신고 배 나온 모습 포착
- "새댁, 남편이 바람피워요"…병원서 다른 간병인과 외도, 아내 충격
- 고두심·김준현 태웠던 울산 유명 택시 기사, 여중생에게 "라면 먹고 갈래" 의혹
- "서유리 사채업자보다 집요해…스토킹 수준" 전 남편 최병길 PD 고통 호소
- "나 좀 데려가 줘" 남편과 별거 중 초5 딸의 절박한 문자…데려올 수 있나
- 조문 후 가족여행이 죄?…"이러려고 왔냐, 소름" 동서가 SNS에 저격 '불쾌'
- 여성 운전자만 골라 바지 내리고 '노상방뇨'…춤까지 춘 '알코올 중독자'[영상]
- 암 투병 아내 몰래 여직원과 두 집 살림…추궁하자 "잘 됐다, 이혼하자"
- "멍청하다고? 말도 알아듣는다!"…유모차 타고 산책하는 '애완 닭' 화제