예은동물의료센터, TPLO 수술 특화…"합병증 막는 협진 체계"
전체 맥락을 이해하기 위해서는 본문 보기를 권장합니다.
예은동물의료센터(대표원장 권기범)가 초소형견부터 대형견까지 노령동물 관절 수술 특화 시스템을 구축했다고 밝혔다.
권기범 대표원장은 "과거에는 2㎏대의 초소형견에게 TPLO 수술을 적용하는 것에 대한 갑론을박이 있었다. 하지만 현재 수의학계에서는 체급과 무관하게 TPLO 수술의 우수성이 입증됐다"며 "다만 환자가 작을수록 수술 난이도가 올라가기 때문에 의료진의 축적된 수술 경험이 중요하다"고 설명했다.
이 글자크기로 변경됩니다.
(예시) 가장 빠른 뉴스가 있고 다양한 정보, 쌍방향 소통이 숨쉬는 다음뉴스를 만나보세요. 다음뉴스는 국내외 주요이슈와 실시간 속보, 문화생활 및 다양한 분야의 뉴스를 입체적으로 전달하고 있습니다.

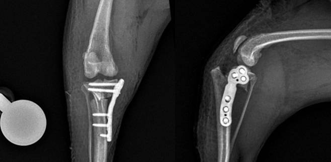
(서울=뉴스1) 최서윤 동물문화전문기자 = 예은동물의료센터(대표원장 권기범)가 초소형견부터 대형견까지 노령동물 관절 수술 특화 시스템을 구축했다고 밝혔다. TPLO(경골고평부 평정절골술) 및 골절 전용 '응급 수술 블록'을 운영해 내원 후 5일 이내 진단부터 수술까지 원스톱으로 진행하는 시스템을 갖췄다.
27일 서울 강남구 예은동물의료센터에 따르면 반려견의 노령화가 가속화되면서 십자인대파열로 동물병원을 찾는 환견이 늘고 있다. 강아지 십자인대 단열은 사람과 달리 퇴행성 질환인 경우가 많아 평균 발병 연령이 7세 이상이다. 10세가 넘는 노령견 비중도 높다.
치료법 중 하나로 뼈의 각도를 조절해 관절의 안정성을 되찾아주는 TPLO 수술이 있다. 노령견을 대상으로 하는 고난도 정형외과 수술로 마취의 안전성과 수술 전후의 통증 관리, 수술 계획에 따라 환자의 예후가 중요하다.
예은동물의료센터는 1일 평균 3건 이상의 TPLO 수술을 한다. 특히 노령견에 특화된 TPLO 수술 및 마취 시스템을 구축해 이에 맞는 진료를 하고 있다.
가장 큰 특징은 '3인 수의사 교차 검증 시스템'이다. 권기범 대표원장을 비롯해 국가고시 수석 출신의 황은혜 수의사, 남태훈 수의사 등 3명의 의료진이 독립적으로 수술 계획을 세우고 이를 상호 검토한다.
마취 및 통증 관리 시스템도 대학병원급으로 갖췄다. 서울대 마취통증과 박사과정 수의사가 마취 프로토콜을 관리한다. 수술 시 '신경 차단술'을 적용해 환견의 통증을 줄였다. 스톨츠 관절경 등 첨단 장비를 활용해 힘줄을 보존하는 최소 침습 수술을 시행해 수술 중 출혈을 극소화, 회복 속도를 높이고 있다는 점도 특징이다.
임플란트도 반려동물 맞춤형으로 적용된다. 최신 기구를 환견의 체구에 맞게 종류별, 크기별로 구비해 초소형견부터 대형견까지 최적의 수술을 한다.
권기범 대표원장은 "과거에는 2㎏대의 초소형견에게 TPLO 수술을 적용하는 것에 대한 갑론을박이 있었다. 하지만 현재 수의학계에서는 체급과 무관하게 TPLO 수술의 우수성이 입증됐다"며 "다만 환자가 작을수록 수술 난이도가 올라가기 때문에 의료진의 축적된 수술 경험이 중요하다"고 설명했다.
이어 "노령견 수술은 수술 자체 성공뿐만 아니라 회복 과정에서의 스트레스와 통증 관리가 핵심"이라면서 "수술 후 24시간 수의사가 상주하며 집중치료실(ICU) 단위의 관리가 가능한 시스템 유지를 위해 최선을 다하겠다"고 말했다.[해피펫]

news1-1004@news1.kr
Copyright © 뉴스1. All rights reserved. 무단 전재 및 재배포, AI학습 이용 금지.
- "8억 집 해준 시애미 남편 명의로 사놓고 멍멍이 소리" 며느리 막말 '뭇매'
- 48세 탕웨이,10년만에 둘째 임신 "또다른 망아지 생겨"…국내외 축하 물결(종합)
- '상간녀가 방송 나왔다' 저격당한 여성 "아직 재밌는 얘기 많다" 의미심장 글
- '룸살롱 접대' 연루 의혹 양정원 "3살 아기 홀로 키워…배려해달라"
- "예금 30만원 내놔"…숨진 누나 파묘, 유골 들고 은행 찾아간 인도 남성
- 악어 든 수조에 어린 소녀 감금 '아찔'…팔로워 1100만명 SNS 계정 정지
- 친정서 7억 집 해줬는데 시댁에 100만씩 보내는 남편…시모 "며느리 눈치 왜 봐"
- 48세 탕웨이, 둘째 임신 '경사'…플랫슈즈 신고 배 나온 모습 포착
- "새댁, 남편이 바람피워요"…병원서 다른 간병인과 외도, 아내 충격
- 고두심·김준현 태웠던 울산 유명 택시 기사, 여중생에게 "라면 먹고 갈래" 의혹