반복되는 강아지 발작, 뇌전증 아니었다…MRI 검사로 찾은 원인은
전체 맥락을 이해하기 위해서는 본문 보기를 권장합니다.
반려견이 반복적인 발작이나 경련을 보인다면 단순 뇌전증이 아니라 '뇌수막염(MUE, 원인 불명 뇌수막염)'일 가능성도 있어 정밀 검사가 필요하다는 지적이 나온다.
박지운 본동물의료센터 영상의학과 과장은 "강아지 뇌수막염은 초기 증상이 뇌전증 등 다른 신경 질환과 유사해 정확한 감별 진단이 중요하다"며 "단순 항경련제만으로는 근본 원인을 해결할 수 없는 경우가 있어 MRI와 뇌척수액 검사를 포함한 정밀 평가가 필요하다"고 설명했다.
이 글자크기로 변경됩니다.
(예시) 가장 빠른 뉴스가 있고 다양한 정보, 쌍방향 소통이 숨쉬는 다음뉴스를 만나보세요. 다음뉴스는 국내외 주요이슈와 실시간 속보, 문화생활 및 다양한 분야의 뉴스를 입체적으로 전달하고 있습니다.

(서울=뉴스1) 한송아 기자 = 반려견이 반복적인 발작이나 경련을 보인다면 단순 뇌전증이 아니라 '뇌수막염(MUE, 원인 불명 뇌수막염)'일 가능성도 있어 정밀 검사가 필요하다는 지적이 나온다.
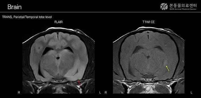
3일 본동물의료센터에 따르면 강아지 뇌수막염(MUE)은 세균이나 바이러스 감염이 아닌 비감염성 염증이 뇌와 수막에 발생하는 질환이다. 정확한 원인은 밝혀지지 않았지만 면역계 이상으로 발생하는 면역매개성 질환으로 추정된다. MRI(자기공명영상)와 뇌척수액(CSF) 검사에서 염증 소견이 확인되며 감염성 질환 검사에서는 음성을 보이는 것이 특징이다.
이 질환은 모든 연령과 품종에서 발생할 수 있지만 특히 어린 연령부터 중년령의 중소형견에서 비교적 자주 보고된다. 반복적인 발작과 부분 경련을 비롯해 보행실조, 사경, 시력 저하, 목 통증 등 다양한 신경학적 이상이 나타날 수 있다.
최근 본동물의료센터에는 안면부 부분 발작과 보행실조 증상을 보인 8살령 중성화 수컷 포메라니안이 내원했다. 신경학적 검사에서 병변이 뇌에 국한된 것으로 판단돼 MRI 검사를 실시했다. 그 결과 좌측 대뇌 반구에 광범위한 염증성 병변이 확인됐다.

이어 시행한 뇌척수액 검사에서는 총 유핵세포수 증가와 단핵세포 우세 소견이 확인됐다. 감염성 질환 배제 검사를 종합한 결과 MUE로 잠정 진단됐다.

의료진은 스테로이드와 면역억제제, 항경련제 치료를 병행해 염증을 조절했다. 치료 후 해당 반려견은 발작과 보행 이상 증상이 사라졌으며 현재 안정적인 상태를 유지하고 있다.
박지운 본동물의료센터 영상의학과 과장은 "강아지 뇌수막염은 초기 증상이 뇌전증 등 다른 신경 질환과 유사해 정확한 감별 진단이 중요하다"며 "단순 항경련제만으로는 근본 원인을 해결할 수 없는 경우가 있어 MRI와 뇌척수액 검사를 포함한 정밀 평가가 필요하다"고 설명했다.
이어 "반려견이 갑작스러운 발작이나 반복적인 경련을 보인다면 일시적인 증상으로 넘기지 말고 정확한 원인을 확인해야 한다"며 "강아지 뇌수막염은 조기 진단과 적절한 면역 치료가 예후를 좌우하는 질환"이라고 강조했다. [해피펫]

badook2@news1.kr
Copyright © 뉴스1. All rights reserved. 무단 전재 및 재배포, AI학습 이용 금지.
- "조인성, 환율 1500원 넘는데 왜 가만있냐"…때아닌 댓글 테러, 왜?[N이슈]
- 런닝맨 나왔던 범프리카, 여성 BJ에게 소주 들이붓고 머리 '툭'…비난 폭주
- "생후 23일 딸 세탁세제로 씻긴 산후도우미…발진 올라와, 감염 어쩌나"
- 묘지 1㎡당 1.6억 부담…'유골 보관용' 아파트 매입하는 중국인들
- '5월 결혼' 박은영 셰프, 예비신랑 공개 "오래전 소개팅 후 재회"
- 오영실 "부부싸움 중 '잡놈이랑 놀다 왔다' 했더니 남편 물건 던지며 광분"
- 아들 안은 에릭에 전진·앤디…신화 유부 멤버, 이민우 결혼식 부부 동반 총출동
- 전소미, 수천만원대 명품 액세서리 분실에 허탈 "눈물…내 가방 어디에도 없어"
- "8살 차 장모·사위, '누나 동생' 하다 불륜…처제랑 난리 난 사례도"
- '국힘 오디션 심사' 이혁재 "'룸살롱 폭행' 10년전 일…날 못 죽여 안달"