"기적처럼 얻은 소중한 시간"…심장병 말기 사랑이가 남긴 선물
전체 맥락을 이해하기 위해서는 본문 보기를 권장합니다.
심장 질환 말기.
주치의는 오랜 시간 누적된 심장 부담으로 인해 후천적으로 발생한 심방중격 파열로 판단했다.
사랑이의 보호자 또한 반려견의 심장이 안 좋아서 마지막에 많이 고생할까봐 걱정을 했다.
더케어동물의료센터 관계자는 "기존에 심장 질환을 앓고 있는 반려견에게 숨 쉬는 모습의 변화, 컨디션의 급격한 저하가 보인다면 '원래 심장이 안 좋으니까'라고 넘기기보다 즉시 상태를 확인하는 것이 중요하다"고 강조했다.
이 글자크기로 변경됩니다.
(예시) 가장 빠른 뉴스가 있고 다양한 정보, 쌍방향 소통이 숨쉬는 다음뉴스를 만나보세요. 다음뉴스는 국내외 주요이슈와 실시간 속보, 문화생활 및 다양한 분야의 뉴스를 입체적으로 전달하고 있습니다.

(서울=뉴스1) 최서윤 동물문화전문기자 = 심장 질환 말기. 당장 숨이 멈춰도 이상하지 않을 위태로운 순간 속에서 끝까지 평온을 유지하며 가족과 함께 한 반려견의 이야기가 눈시울을 붉히게 했다. 기적처럼 얻은 소중한 시간은 3개월. 주인공은 최근 13세의 나이로 삶의 긴 여정을 마친 몰티즈(말티즈) 강아지 '사랑이'다.
MMVD 앓던 노령견…이미 터져 있던 심장
29일 24시 구리 더케어동물의료센터에 따르면 사랑이는 MMVD(이첨판폐쇄부전증, 중증승모판질환)을 앓고 있던 노령견이다.
어느 날 갑자기 사랑이의 숨소리가 거칠어지기 시작했다. 보호자는 "평소에도 심장이 좋지 않았지만, 이번에는 숨 쉬는 모습이 이전과 완전히 달랐다"며 다급히 동물병원을 찾았다.
당시 사랑이의 상태는 매우 위중했다. 호흡수는 눈에 띄게 증가했다. 흥분할 때마다 호흡 곤란이 심해졌다.
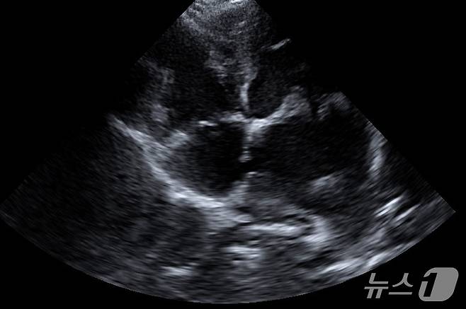
심장 초음파 검사 결과, 사랑이는 기존 MMVD로 인해 좌심방 압력이 극도로 상승된 상태였다. 이 과정에서 좌심방과 우심방을 나누는 심방중격 부위가 과도한 압력을 견디지 못하고 터져 있었다.
사랑이는 선천적인 심장 기형은 아니었다. 주치의는 오랜 시간 누적된 심장 부담으로 인해 후천적으로 발생한 심방중격 파열로 판단했다.
다행히 급사는 피했다. 숨가쁨과 통증 해소가 급선무였다. 수술로 문제를 해결할 수 있는 시기는 이미 지난 상황. 치료의 목표는 완치가 아닌 급성 위기를 넘기고 안정적인 시간을 확보하는 것이었다.
김예원 원장과 송원빈 부원장은 복수를 제거하는 응급 처치 후 내과적 치료와 집중 모니터링을 병행했다.

"편안하게 떠났다"…사랑이의 마지막 인사
그 결과 사랑이는 위기를 넘겼다. 호흡과 전신 상태가 비교적 안정되면서 3개월 동안 일상적인 생활을 이어갈 수 있었다. 단순히 생존 기간을 늘린 것이 아니라 보호자와 함께 조금 더 편안한 일상을 보내는 의미 있는 시간이었다.
강아지, 고양이와 고통 없는 이별은 모든 보호자들의 바람이다. 사랑이의 보호자 또한 반려견의 심장이 안 좋아서 마지막에 많이 고생할까봐 걱정을 했다. 사랑이가 살아있는 동안 아파하지 않고 편안하게 지낸 시간은 가족들에게 큰 위안이 됐다.
의료진은 심장 초음파를 통한 구조·혈류·압력의 종합 평가, 급성 악화 가능성을 고려한 즉각적인 대응을 했다. 보호자에게는 현재 상태와 예후를 충분히 설명했다. 수술이 어려운 상황에서도 선택할 수 있는 최선의 내과적 치료를 제시하면서 현실적인 선택을 고민했다. 덕분에 사랑이는 가족들과 따뜻한 이별을 할 수 있었다.
더케어동물의료센터 관계자는 "기존에 심장 질환을 앓고 있는 반려견에게 숨 쉬는 모습의 변화, 컨디션의 급격한 저하가 보인다면 '원래 심장이 안 좋으니까'라고 넘기기보다 즉시 상태를 확인하는 것이 중요하다"고 강조했다.
이어 "심장 질환 말기 단계에서는 질환의 완치보다 환자가 느끼는 고통을 최소화하고 삶의 질을 유지하는 것이 필요하다"며 "앞으로도 반려동물과 가족들이 마지막까지 후회 없는 시간을 보낼 수 있도록 최선을 다하겠다"고 말했다.[해피펫]
news1-1004@news1.kr
Copyright © 뉴스1. All rights reserved. 무단 전재 및 재배포, AI학습 이용 금지.
- "남편 해외 파견 간 새 남자 여럿과 외도…딸 데리고도 만났다" 충격
- 구준엽, 故서희원 동상 직접 만들었다…1주기 맞춰 제막식
- "화려한 속옷 엄마, 친구 남편과 바람…도와달라" 고2 딸의 '눈물'
- 노래방 도우미 부르고 48만원 쓴 남편 "왜 휴대전화 몰래 봐" 되레 짜증
- 결혼식 올렸는데 치매로 기억 못해…39년 함께 산 아내와 '두 번째 웨딩'
- 생년월일 모두 같은 102세 부부, 식성은 정반대…장수 비결은 '뜻밖'
- 1년간 메신저로만 연락하던 언니, 김치냉장고 속 시신으로 발견됐다
- "7년 동거 후 이별…잠시 함께 사는데 알몸으로 지내는 남친, 다시 찝쩍대나"
- '잠적 논란' 배우 장동주 "휴대폰 해킹 후 협박 당해…수십억 뜯겨 빚더미"
- 유병장수걸, 신장암 투병 끝 별세…"고통없이 쉬길" 남친이 전한 비보