“엄마 배가 너무 아파”…복통 호소 여아, 위장 속 보니 ‘이것’ 뭉치 가득
전체 맥락을 이해하기 위해서는 본문 보기를 권장합니다.
복통을 호소하던 6세 여아의 위장 안에서 예상치 못한 이물질이 발견된 사례가 학술지에 보고됐다.
이물질은 여아의 머리카락 뭉치였다.
동화 속 주인공이 높은 탑에서 길게 늘어뜨린 머리카락으로 외부와 이어지는 장면처럼, 실제 질환에서도 머리카락으로 형성된 이물질이 위에서 시작해 장까지 길게 이어지는 양상을 보이기 때문이다.
이 글자크기로 변경됩니다.
(예시) 가장 빠른 뉴스가 있고 다양한 정보, 쌍방향 소통이 숨쉬는 다음뉴스를 만나보세요. 다음뉴스는 국내외 주요이슈와 실시간 속보, 문화생활 및 다양한 분야의 뉴스를 입체적으로 전달하고 있습니다.
섭식 장애가 건강 이상으로 이어져
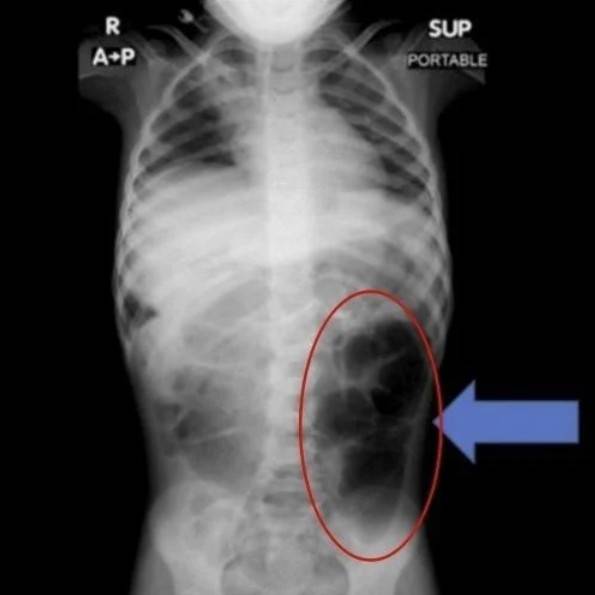
![위장에 포착된 머리카락 덩어리 [큐레우스 갈무리]](https://img3.daumcdn.net/thumb/R658x0.q70/?fname=https://t1.daumcdn.net/news/202601/26/mk/20260126084203306efik.jpg)
해당 질환은 일명 ‘라푼젤 증후군’이라고 불리며, 구토나 식욕 저하 등 신체 이상을 주는 것으로 전해졌다.
최근 의학 전문 저널 큐레우스(Cureus)는 사우디아라비아에 거주하는 6살 여아 A양이 겪은 일을 보도했다. A양은 갑작스럽게 복통, 소화 장애 증상이 지속돼 병원을 찾았다.
의료진이 A양의 위장을 정밀 검사한 결과, 위 내부에 머리카락이 엉켜 형성된 덩어리가 발견됐다. 머리카락은 위장에만 머무르지 않고 소장까지 이어진 상태였다. 의료진은 “소아 환자에게서 반복적인 복통, 구토, 식욕 저하 등이 장기간 지속되면 위장관 내 이물질의 존재 가능성을 반드시 고려해야 한다”고 당부했다.
머리카락이 위장에 축적돼 문제를 일으킨 사례는 과거에도 보고된 바 있다. 2014년 인도의 19세 여성 복부에서 약 2.4㎏에 달하는 머리카락 덩어리가 제거됐고, 2019년에는 미국의 18세 여성에게서 4.5㎏ 상당의 머리카락 덩어리가 발견되기도 했다.
이처럼 머리카락을 스스로 뽑은 뒤 삼키는 행동을 ‘라푼젤 증후군’이라고 부른다. 정신질환으로 분류되고 있으며 주로 청소년기 여성에게서 발현되는 경우가 많다.
병명은 독일 지방의 설화로 알려진 동화 ‘라푼젤’에서 따왔다. 동화 속 주인공이 높은 탑에서 길게 늘어뜨린 머리카락으로 외부와 이어지는 장면처럼, 실제 질환에서도 머리카락으로 형성된 이물질이 위에서 시작해 장까지 길게 이어지는 양상을 보이기 때문이다.
라푼젤 증후군은 자기도 모르게 머리카락을 뽑아 섭취하는 습관인 발모식증, 모발섭식증 등으로 인해 위 속에 머리카락 덩어리가 쌓이고, 이 머리카락이 소장까지 침범하며 발병한다.
주로 젊은 여성에게 나타나며 복통, 복부 팽만, 구토, 소화 불량, 체중 감소, 식욕 부진 등 증상이 나타난다. 장 폐색이나 출혈, 장 천공(구멍) 등 심각한 질환으로 이어질 위험도 있다.
수술을 통해 머리카락 덩어리를 제거하면 증상은 사라지지만, 재발을 막으려면 수술 후 정신건강 치료, 지속적인 관찰을 병행해야 한다.
Copyright © 매일경제 & mk.co.kr. 무단 전재, 재배포 및 AI학습 이용 금지
- 李 다주택자 최후통첩에…강남은 증여, 강북·경기권은 단기급매 가능성 - 매일경제
- 펀드매니저 10명 중 9명 “코스피 연내 10~20% 조정 가능성” - 매일경제
- “사회복무요원, 왜 현역이랑 차별하나”…소송 걸었던 공무원 결국 - 매일경제
- “돌반지 다 팔고, 이제 커플링 팔 차례”…은값 ‘온스당 100달러’ 뚫었다 - 매일경제
- ‘캄보디아 노쇼 사기’ 피의자 49명 부산서 전원 구속 - 매일경제
- [속보] 이해찬 민주평통 수석부의장 별세 - 매일경제
- 매경이 전하는 세상의 지식 (매-세-지, 1월 26일) - 매일경제
- ‘환헤지 전략’ 유턴에 원화값 안정세…커지는 국민연금 역할론 - 매일경제
- “목욕탕 수건, 비행기 담요에 자식 물건까지”…엄마 도벽에 골머리 사연 - 매일경제
- 수적 우위도 살리지 못한 이민성호, 베트남에 U-23 대표팀 맞대결 역사상 첫 패배···‘U-23 아시