사람팔 파고드는 기생충 흔해진다…구더기 연구자 "공포 영화 장면 떠올라"
전체 맥락을 이해하기 위해서는 본문 보기를 권장합니다.
아프리카 열대우림에 사는 기생파리의 일종인 '룬드파리'는 구더기증이 발생하는 원인의 하나다.
룬드파리 유충으로 발생하는 구더기증 환자가 앞으로 점점 늘어날 수 있다는 전문가 의견이 제시됐다.
룬드파리 유충은 영장류를 포함한 포유류에 기생해 구더기증을 유발한다.
골드버그 교수는 룬드파리 유충에 감염돼 생기는 구더기증이 앞으로 더욱 늘어날 수 있다고 보았다.
이 글자크기로 변경됩니다.
(예시) 가장 빠른 뉴스가 있고 다양한 정보, 쌍방향 소통이 숨쉬는 다음뉴스를 만나보세요. 다음뉴스는 국내외 주요이슈와 실시간 속보, 문화생활 및 다양한 분야의 뉴스를 입체적으로 전달하고 있습니다.

아프리카 열대우림에 사는 기생파리의 일종인 ‘룬드파리’는 구더기증이 발생하는 원인의 하나다. 룬드파리 유충으로 발생하는 구더기증 환자가 앞으로 점점 늘어날 수 있다는 전문가 의견이 제시됐다.
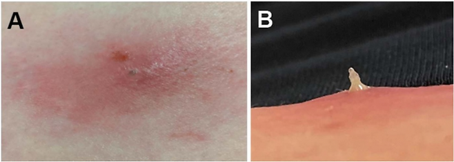
룬드파리 유충은 영장류를 포함한 포유류에 기생해 구더기증을 유발한다. 구더기증은 동물의 몸에 기생하는 파리 유충인 구더기가 일으키는 감염질환이다. 파리 유충이 피부를 뚫고 들어가거나 코나 입을 통해 들어가 기생하면서 부종, 발열, 통증, 염증, 조직 괴사 등을 일으키고 방치하면 사망을 유발하기도 한다.
토니 골드버그 미국 위스콘신-매디슨대 수의과대학 병리생물학과 교수는 21일(현지시간) 국제학술지 ‘사이언스’를 통해 기생파리에 대한 연구가 점점 중요해지고 있다고 설명했다.
골드버그 교수는 2013년 우간다에 있는 키발레국립공원에 방문했다가 자신의 코에서 진드기를 발견했다. 코에서 통증과 가려움증이 느껴져 살펴본 결과 진드기가 기생하고 있다는 것을 발견했다. 골드버그 교수는 새로운 진드기 종일 수 있다고 보고 진드기의 유전자 염기서열을 분석했다. 기존 진드기 데이터베이스에 존재하지 않는 새로운 종이라는 점을 확인했다.
골드버그 교수는 최근 키발레국립공원을 재방문했다. 이번에는 자신의 겨드랑이를 파고드는 룬드파리 유충을 발견했다. 룬드파리 유충은 갈고리 모양의 입으로 살을 파고들기 때문에 바늘에 찔린 것 같은 느낌이 든다. 유충 크기가 커지면 움직임이 느껴질 수도 있다.
골드버그 교수는 겨드랑이에서 룬드파리 유충을 발견한 상황에 대해 “임신부의 몸에 기생충이 자라는 공포 영화 장면이 떠올랐다”고 말했다.
룬드파리 유충이 감염된 경로는 빨래일 것으로 추정했다. 파리는 습한 곳에 알을 낳는 습성이 있다. 말리기 위해 널어놓은 젖은 옷에 룬드파리가 알을 낳았을 것이란 추정이다. 골드버그 교수는 파리 유충에 감염되지 않으려면 옷을 다림질해 열을 가할 것을 권장했다. 그의 주변인 중에는 베개 다림질을 깜빡해 유충 50마리가 뺨에 붙은 상태로 깨어난 사례도 있다고 설명했다.
파리 유충에 감염됐다는 사실을 알게 됐을 때는 병변에 바셀린을 바를 것을 권장했다. 유충은 숨을 쉴 수 없으면 기어 나온다는 것이다. 유충이 질식해 나오지 못한다면 유충을 직접 짜내야 한다고 설명했다.
룬드파리 유충은 아프리카의 비인간 영장류에 주로 기생하며 사람에게도 기생한다. 골드버그 교수는 룬드파리 유충에 감염돼 생기는 구더기증이 앞으로 더욱 늘어날 수 있다고 보았다.
골드버그 교수는 “전 세계 사람들의 여행 빈도가 높아지고 기후 변화가 일어나고 있다는 점에서 룬드파리 유충은 더욱 흔해질 것”이라며 “파리 유충 연구는 학문적 관심사를 넘어 인간과 동물 건강을 위해 중요하다”고 말했다.
[문세영 기자 moon09@donga.com]
Copyright © 동아사이언스. 무단전재 및 재배포 금지.