마취 전 검사에서 폐종양 발견…12살 몰티즈, 흉강경 수술로 새 삶
전체 맥락을 이해하기 위해서는 본문 보기를 권장합니다.
동물병원 진료에서는 계획된 치료 외에도 예기치 않은 문제가 발견되는 경우가 종종 있다.
28일 스카이동물메디컬센터에 따르면, 바람이는 피부 종괴 제거 수술을 위해 내원했지만, 마취 전 검사 과정에서 예상치 못한 폐 종괴가 발견됐다.
병원에서는 피부 종괴 수술 전 안전을 위해 혈액검사와 흉부 방사선 검사를 진행했고, 그 과정에서 폐에 이상 소견이 포착됐다.
이 글자크기로 변경됩니다.
(예시) 가장 빠른 뉴스가 있고 다양한 정보, 쌍방향 소통이 숨쉬는 다음뉴스를 만나보세요. 다음뉴스는 국내외 주요이슈와 실시간 속보, 문화생활 및 다양한 분야의 뉴스를 입체적으로 전달하고 있습니다.

(서울=뉴스1) 한송아 기자 = 동물병원 진료에서는 계획된 치료 외에도 예기치 않은 문제가 발견되는 경우가 종종 있다. 특히 눈에 보이지 않는 내부 질환은 정밀한 검사 과정을 통해서만 확인할 수 있다.
지난 7월 인천 24시 스카이동물메디컬센터를 찾은 12살 몰티즈 '바람이(가명)'가 그랬다. 28일 스카이동물메디컬센터에 따르면, 바람이는 피부 종괴 제거 수술을 위해 내원했지만, 마취 전 검사 과정에서 예상치 못한 폐 종괴가 발견됐다.
보호자에 따르면 바람이는 최근 들어 기력이 떨어지고 예민해지는 등 평소와 다른 모습을 보였다. 병원에서는 피부 종괴 수술 전 안전을 위해 혈액검사와 흉부 방사선 검사를 진행했고, 그 과정에서 폐에 이상 소견이 포착됐다.
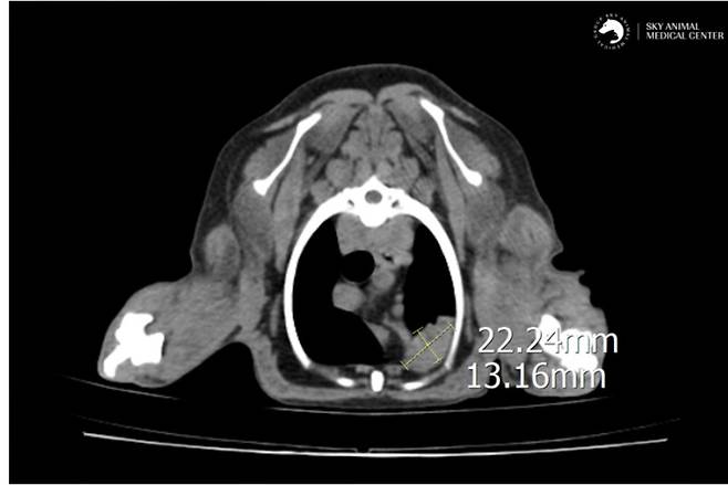
의료진은 피부 종괴보다 폐 병변이 더 시급한 문제라고 판단했다. 보호자와 상의 끝에 종양의 정확한 상태와 전이 여부를 확인하기 위해 CT(컴퓨터 단층촬영) 검사를 진행했다.

검사 결과, 폐 좌측 전엽에서 종양이 의심되는 소견이 발견됐다. 다행히 복부 내 장기에는 전이는 없었으나, 종괴가 크고 이로 인한 무기폐(폐 부피가 줄어든 상태)가 확인됐다.
전이될 위험성이 높고 종괴가 한 엽에 국한돼 있어 수술 후 예후가 좋을 것으로 판단됐다. 이에 보호자와 협의해 폐엽 절제 수술을 진행하기로 했다.
수술은 개흉 범위를 최소화하고 통증·감염·조직 손상 위험을 줄이기 위해 흉강경을 이용한 최소 침습 방식으로 진행됐다. 흉강경 수술은 흉부(가슴 안쪽)의 질환을 수술할 때 갈비뼈 사이에 작은 구멍을 뚫고 특수 내시경을 삽입해 진행하는 방식이다.
수술을 맡은 문종선 인천 스카이동물메디컬센터 대표원장은 병변이 위치한 폐엽만 정밀하게 절제해 주변 조직의 손상을 최소화했다.

수술 후 바람이는 큰 문제 없이 마취에서 회복했다. 흉강경 수술 덕분에 일반 개흉 수술보다 회복 속도가 빠르고 통증도 훨씬 적었다.
절제된 조직을 검사한 결과, 종양은 선암종으로 확인됐다. 이후 바람이는 내과 치료를 이어가고 있다.
문종선 원장은 "폐종양은 조기 발견이 치료 성공률을 높인다"며 "반려동물이 기력이 떨어지거나 평소와 다른 이상 증상을 보인다면, 이른 시일 내 정확한 진단을 받길 바란다"고 강조했다. [해피펫]

badook2@news1.kr
Copyright © 뉴스1. All rights reserved. 무단 전재 및 재배포, AI학습 이용 금지.
- "생후 23일 딸 세탁세제로 씻긴 산후도우미…발진 올라와, 감염 어쩌나"
- "조인성, 환율 1500원 넘는데 왜 가만있냐"…때아닌 댓글 테러, 왜?[N이슈]
- '5월 결혼' 박은영 셰프, 예비신랑 공개 "오래전 소개팅 후 재회"
- 런닝맨 나왔던 범프리카, 여성 BJ에게 소주 들이붓고 머리 '툭'…비난 폭주
- 묘지 1㎡당 1.6억 부담…'유골 보관용' 아파트 매입하는 중국인들
- 오영실 "부부싸움 중 '잡놈이랑 놀다 왔다' 했더니 남편 물건 던지며 광분"
- 아들 안은 에릭에 전진·앤디…신화 유부 멤버, 이민우 결혼식 부부 동반 총출동
- 전소미, 수천만원대 명품 액세서리 분실에 허탈 "눈물…내 가방 어디에도 없어"
- "8살 차 장모·사위, '누나 동생' 하다 불륜…처제랑 난리 난 사례도"
- '국힘 오디션 심사' 이혁재 "'룸살롱 폭행' 10년전 일…날 못 죽여 안달"