[건강플러스] 발의 균형 무너뜨리는 '무지외반증'
폭 좁은 신발 신는 여성에 흔히 발병…초기엔 변형 적어 가볍게 넘기기도
증상 심하면 뼈 위치·각도 교정 필요…'MICA 수술'로 최소 절개·빠른 회복

걸그룹 '원더걸스'의 멤버이자 '24시간이 모자라', '가시나' 등의 히트곡을 낸 가수 '선미'는 원더걸스 활동 중이었던 2010년 돌연 활동을 중단한 적이 있다. 당시에는 학업을 이유로 활동을 중단한다고 밝혔지만, 실제로는 걸을 수 없을 정도로 악화된 무지외반증 때문이었다. 당시 '텔미', '쏘 핫', '노바디' 등으로 인기를 끌던 원더걸스의 스케줄은 쉴 틈이 없었고, 데뷔 전부터 앓고 있던 무지외반증은 치료시기를 놓쳐 끝내는 원더걸스 활동 중단에까지 이르게 만들었다.
◆ 자연적으로 낫지 않는 질병
선미의 가수활동을 중단시킬 정도로 심각한 질병인 무지외반증(Hallux Valgus)은 쉽게 말하면 '엄지발가락이 휘어지는 병'이다. 엄지발가락이 점점 바깥쪽으로 휘어져 첫 번째 중족골과의 각도가 넓어지면서, 발 안쪽이 돌출되는 대표적인 발 질환으로, 하이힐이나 폭이 좁은 신발을 자주 신는 여성에게 흔하다. 이 밖에도 선천적 요인, 평발, 관절 이완성 등도 발병에 영향을 미친다.
초기에는 눈에 띄는 변형이 적어 '신발에 눌리는 통증' 정도로 가볍게 여기기 쉽다. 그렇게방치하다가 시간이 지나면 관절의 변형이 점점 심해지고 통증과 보행 불편해진다. 끝내는 두 번째 발가락이 빠지거나(탈구) 발이나 발가락에 관절염으로 이어질 수 있다.
무지외반증이 무서운 이유는 자연적으로 원래 형태로 돌아가는 경우가 거의 없다는 점에 있다. 나호동 MS재건병원 족부·족관절클리닉 과장은 "초기에는 기능성 신발, 발가락 교정기, 패드 등의 보존적 치료를 시도할 수 있지만 돌아가는 각도가 커지고 관절염이나 발바닥 통증이 동반되면 비수술적 치료만으로는 일상생활의 불편을 해결하기 어렵다"고 말했다.
특히 변형이 심해진 상태에서는 뼈의 위치와 각도를 교정해 주어야 하며, 이를 위해 결국에는 수술을 선택할 수밖에 없다는 게 전문의들의 의견이다.

◆최근 수술 경향은 '작은 절개, 정밀 교정'
무지외반증을 예방하는 방법 중 하나가 신발을 잘 고르는 것이다. 신발 때문에 발 변형이 올 가능성이 높다 보니 하이힐처럼 발볼이 좁고 굽이 높은 신발은 피하고 부드러운 재질에 앞 볼이 넓고 조이지 않는 신발을 고르는 게 중요하다. 또 발가락을 오므렸다 펴주는 스트레칭이나 마사지볼이나 공을 이용한 발바닥 마사지도 도움이 된다.
무거운 체중도 발 모양의 변형을 부르기 때문에 적정 체중을 유지하는 것도 무지외반증 발생을 줄인다.
무지외반증의 치료를 결정할 때는 변형의 정도, 통증의 강도, 일상생활에 미치는 영향, 환자의 기대치 등을 종합적으로 고려해야 한다.
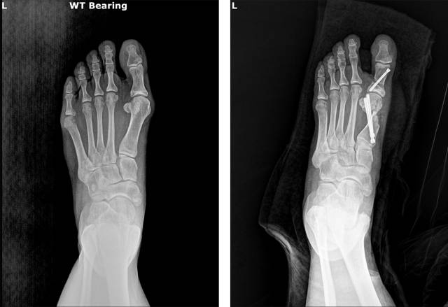
무지외반증의 치료법은 지속적인 연구와 학술 활동을 통해 발전해 왔는데, 최근 무지외반증에 적용되는 수술 방법으로는 절개 범위를 줄이고 회복을 빠르게 하는 최소침습 수술(MICA: Minimally Invasive Chevron-Akin Osteotomy)이 점차 널리 시행되고 있다.
약 1㎝ 미만의 작은 절개로 특수 기구를 넣어 뼈를 자르고 교정한 뒤, 실시간 투시 영상(C-arm)으로 교정 상태를 확인하며 나사로 고정한다. 보고된 장점으로는 출혈과 부종이 적고, 흉터가 거의 남지 않으며, 비교적 빠른 시기에 체중 부하와 일상생활 복귀가 가능하다는 점 등이다.
최소침습 수술에 관해서는 국내외 학회로부터 임상 결과, 수술 기구의 발전, 재발 방지 전략 등에 관한 연구가 꾸준히 발표되고 있다. 여기에 더해 여러 장기 추적 연구에서 만족도 높은 교정 결과와 기능적 회복이 확인되고 있다는 게 전문의들의 시각이다.
나 과장은 "다만 일부 연구에서는 무리한 교정으로 인한 관절 강직, 과교정, 재발 등의 합병증도 있다는 지적이 있어 수술 적응증과 수술 술기의 표준화에 관한 논의가 활발히 진행되고 있다"고 밝히기도 했다.
최소침습 수술은 작은 절개와 빠른 회복이 장점이지만, 뼈 교정과 고정 과정에서 고도의 기술과 경험이 요구된다.
나 과장은 "최소침습 수술은 단순히 '작게 절개한다'는 개념에 그치지 않으며, 변형의 회전, 전위, 단축을 3차원적으로 교정해야 하므로 해부학적 이해와 충분한 경험이 필요한 고난이도 수술로 분류된다"며 "수술이 필요하다고 판단될 경우에는 무지외반증과 족부 최소침습 수술에 대한 충분한 임상 경험과 연구적 근거를 갖춘 의료진과 상담을 통해 치료 계획을 세우는 것이 바람직하다"고 조언했다.
도움말 나호동 MS재건병원 족부·족관절클리닉 과장