[김태열의 생생건강S펜] “소아 평발 수술법 비교 연구..‘종골 정지술’ 회복 빠르고 부담 적어”
전체 맥락을 이해하기 위해서는 본문 보기를 권장합니다.
분당서울대병원 정형외과 성기혁 교수 연구팀이 소아 특발성 평발 환자를 대상으로 대표적인 두 수술법인 '종골 연장술'과 '종골 정지술'의 치료 효과와 수술별 특성 차이를 비교 분석한 연구 결과를 발표했다.
두 수술 모두 평발 교정에 효과적인 것으로 알려져 있지만, 실제 환자 데이터를 바탕으로 두 수술법의 치료 결과를 비교한 연구는 거의 없었다.
이 글자크기로 변경됩니다.
(예시) 가장 빠른 뉴스가 있고 다양한 정보, 쌍방향 소통이 숨쉬는 다음뉴스를 만나보세요. 다음뉴스는 국내외 주요이슈와 실시간 속보, 문화생활 및 다양한 분야의 뉴스를 입체적으로 전달하고 있습니다.
[헤럴드경제=김태열 건강의학 선임기자] 분당서울대병원 정형외과 성기혁 교수 연구팀이 소아 특발성 평발 환자를 대상으로 대표적인 두 수술법인 ‘종골 연장술’과 ‘종골 정지술’의 치료 효과와 수술별 특성 차이를 비교 분석한 연구 결과를 발표했다.
특발성 평발은 특별한 외상이나 질병 없이 성장기 아동에게 발생하는 발 모양의 변화를 말한다. 발바닥 아치가 무너지고 발이 안쪽으로 꺾이는 구조적 이상이 나타나며, 체중이 실리면 통증, 보행 이상 등을 유발할 수 있다. 대부분은 깔창 착용이나 스트레칭 운동과 같은 보존적 치료로 증상이 완화되지만, 증상이 지속되거나 변형이 심한 경우에는 수술을 고려하게 된다.
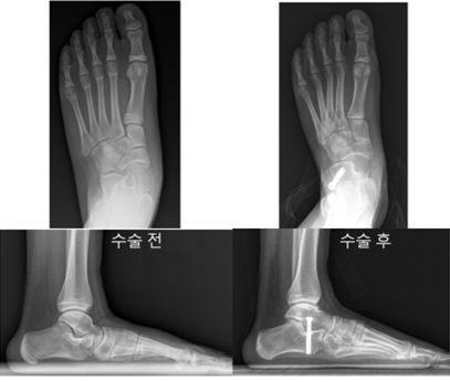
대표적으로 시행되는 ‘종골 연장술’은 뒷꿈치뼈(종골)를 절골한 뒤 뼈를 이식해 아치를 복원하는 수술로, 한 번의 수술로도 지속적인 교정 효과를 얻을 수 있다. 또 다른 수술법인 ‘종골 정지술’은 나사 1개를 삽입해 평발을 교정하는 방식으로, 보다 간단한 수술이 가능하다는 점이 특징이다. 두 수술 모두 평발 교정에 효과적인 것으로 알려져 있지만, 실제 환자 데이터를 바탕으로 두 수술법의 치료 결과를 비교한 연구는 거의 없었다.

이에, 연구팀은 두 수술법의 치료 결과를 비교하기 위해 2003년부터 2022년까지 평발 교정 수술을 받은 10~14세 소아 환자 127명(총 223족)을 대상으로 연구를 진행했다. 수술 전후의 발 모양과 기능 변화를 확인하고자 방사선 사진과 삶의 질 평가 설문(OAFQ)을 통해 분석하고, 회복 기간과 합병증 발생 여부를 함께 비교했다.
연구 결과, 두 수술법 모두 평발을 교정하는 데 효과적인 것으로 나타났다. 두 환자군 모두에서 발 아치와 정렬을 나타내는 방사선 사진 수치들이 수술 후 크게 개선됐으며, 삶의 질 평가에서도 신체 기능, 학교생활 및 놀이, 정서적 측면, 신발 착용 등 모든 영역에서 점수가 향상된 것을 확인할 수 있었다.

하지만 회복 속도에서는 두 수술법 간 차이가 있었다. 종골 정지술을 받은 환자군은 체중 부하가 가능해 정상적으로 보행하기까지 평균 17.6일이 걸렸고, 종골 연장술을 받은 환자군은 평균 42.9일로 회복 속도에 유의미한 차이를 보였다. 또한, 종골 정지술을 받은 환자군에서 절골부의 불유합(뼈가 붙지 않는 상태) 등 주요 합병증의 발생 비율이 더 낮은 것으로 나타났다.
다만, 연구팀은 종골 정지술의 경우 수술 후 약 3년이 지나 발 성장이 마무리되는 시점에, 삽입한 나사를 제거하는 추가 수술이 필요하다는 점도 함께 고려해야 한다고 설명했다. 그럼에도 불구하고, 종골 정지술은 절개 범위가 크지 않아 회복이 빠르고, 주요 합병증 위험이 비교적 낮다. 교정 효과 또한 안정적으로 유지돼 소아 평발 환자에게 우선적으로 고려해볼 수 있는 것을 확인할 수 있었다.

성기혁 교수는 “이번 연구가 소아 평발 환자의 상태에 따라 보다 적절한 수술법을 선택하는 데 실질적인 근거를 마련했다는 점에서 의미가 깊다”며, “향후에는 특히 종골 정지술 환자에서 나사 제거 이후의 발 정렬 유지 여부 등 장기적인 예후를 확인하는 연구를 이어나가겠다”고 밝혔다.
한편, 이번 연구는 세계적으로 권위 있는 미국족부족관절학회(American Orthopaedic Foot & Ankle Society) 공식 학술지 ‘Foot & Ankle International’에 게재됐다.
Copyright © 헤럴드경제. 무단전재 및 재배포 금지.
- “에스파인데 왜 이래? 이건 충격” 완전 망했다…삼성에 눌린 아이폰 ‘망연자실’
- [단독]신생아특례 40%는 경기·인천 내집마련…주거사다리 막히나[부동산360]
- ‘연초 5000만 투자→지금 2.3억’ 장원영 뷰티 디바이스 ‘이 회사’…올해 코스피 상승률 1위 [
- ‘케데헌’ 헌트릭스 ‘골든’, 美 빌보드 ‘핫100’ 1위…女 K-팝 최초
- “日, 재앙처럼 비 쏟아져”…구마모토에 ‘최고 수준 대피령’ 떨어졌다
- “한국서 하루 1대도 안 팔려” 충격 받은 모토로라…50만원 싼 ‘접는폰’ 내놓는다
- 김병만 “판결문 해석 차이”…입양딸 파양 논란 재입장
- 영부인 바뀔 뻔했다고?!…27년 전 미모의 여배우에게 걸려온 ‘그 전화’
- 김민경 “처음 먹어본 음식 때문에…‘맛녀석’ 하차‘ 결심해”
- 김다현, 1천년전 사랑과 이별 애절함 담은 신곡 ‘천년 사랑’ 발표 “경주 APEC에 도움됐으면…