아내 외도 2년간 의심한 50대 ‘충격 반전’…‘이 병’ 때문이었다
전체 맥락을 이해하기 위해서는 본문 보기를 권장합니다.
영국에서 아내가 바람을 피운다는 의심을 하는 등 이상 증세를 겪은 50대 남성이 '뇌종양'을 진단받고 숨진 것으로 전해졌다.
이 남성은 뇌종양 때문에 피해망상에 빠졌던 것으로 드러났다.
27일(현지시간) 더선 등에 따르면 영국에 거주하고 있는 남성 앤디 햄턴(55)은 지난 2023년부터 기억력 저하와 우울증, 피해망상 등 이상 증세를 겪었다.
이 글자크기로 변경됩니다.
(예시) 가장 빠른 뉴스가 있고 다양한 정보, 쌍방향 소통이 숨쉬는 다음뉴스를 만나보세요. 다음뉴스는 국내외 주요이슈와 실시간 속보, 문화생활 및 다양한 분야의 뉴스를 입체적으로 전달하고 있습니다.

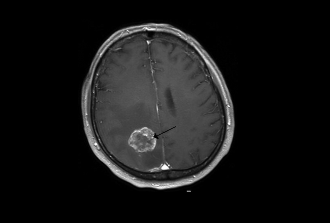
영국에서 아내가 바람을 피운다는 의심을 하는 등 이상 증세를 겪은 50대 남성이 ‘뇌종양’을 진단받고 숨진 것으로 전해졌다. 이 남성은 뇌종양 때문에 피해망상에 빠졌던 것으로 드러났다.
27일(현지시간) 더선 등에 따르면 영국에 거주하고 있는 남성 앤디 햄턴(55)은 지난 2023년부터 기억력 저하와 우울증, 피해망상 등 이상 증세를 겪었다. 그는 이를 단순한 정신 건강 문제로 여겨 치료를 받았지만 증상은 나아지지 않았다.
그중에서도 가장 괴로웠던 건 아내 제마가 외도하고 있다고 확신한 것이었다. 앤디는 “이 모든 게 머릿속에서 비롯된 거라는 걸 알지만 그런 생각을 멈출 수 없었다”고 토로했다.
제마는 “처음엔 앤디가 중년이 되면서 심리 변화를 겪고 있는 줄 알았다”며 “그는 심지어 제가 바람을 피우고 있다고 의심했다”고 전했다. 앤디는 근거 없이 타인을 의심하고 의도를 왜곡해 받아들이는 등 편집성 인격장애의 전형적인 모습을 보였다.
그러나 문제의 원인은 심리적인 것이 아닌 생물학적인 원인이었다. CT 검사를 받은 결과 그의 뇌에서는 7.5×8.1cm 크기의 종양이 발견됐다. 의료진은 그에게 3개월밖에 남지 않았을 수 있다며 시한부 진단을 내렸다.
앤디는 종양의 95%를 제거하는 수술을 받고 6주간 방사선 치료와 항암 화학요법을 병행했다. 수술 직후에는 얼굴 경련, 신장 감염 등 부작용이 있었고 뇌 손상으로 감정을 제대로 표현하지 못하는 어려움도 겪었다.
가족들은 그가 점차 회복하고 있다고 믿었다. 하지만 수술 후 약 1년 7개월 후 그는 다시 성격 변화처럼 보이는 증상을 보이기 시작했다. 당시 종양이 더 커진 것은 아니었지만, 검진 결과 뇌에 액체가 고인 상태였다.
제마는 “한동안은 모든 게 괜찮았다. 그런데 2024년 크리스마스 때 앤디가 또 평소와 다르게 행동하기 시작했다”며 “하루하루가 달랐고, 무엇이 잘못됐는지 알아낼 수 없었다”고 떠올렸다.
이후 앤디는 3시간 넘게 이어진 경련, 뇌출혈, 폐혈전, 새로운 종양 2개까지 추가로 발견됐고 결국 가족이 지켜보는 가운데 지난 5월 자택에서 생을 마감했다. 앤디에게는 자녀 4명이 있었다.
제마는 “뇌종양은 가족에게 시간을 주지 않는다. 그는 원래 활기차고 건강한 사람이었다”며 “지금쯤이면 우리 가족은 평범한 일상을 살고 있었을 것”이라고 말했다.
앤디의 사연을 접한 뇌종양 연구소의 직원 레티 그린필드는 “교모세포종은 암 연구에서 가장 복잡하고 연구 지원이 부족한 분야 중 하나”라면서 “더 나은 치료법을 개발하기 위한 정부의 투자 확대가 시급하다”고 강조했다.
하승연 기자
Copyright © 서울신문. 무단전재, 재배포, AI 학습 및 활용 금지.
- “구준엽, 서희원 묘지에서 봤다”…찍힌 사진보니 ‘뭉클’
- 이효리, 개 싸움 말리다 “손가락 거의 잘렸다”…신경 끊어져
- 김혜수, 윤상현과 다정한 모습…‘영화관 데이트’ 포착
- 차은우 맞아? 군대 가기 전 ‘완전 삭발’…“신기하고 어색”
- ‘언니’라 부르던 그 여자… 남편과 내 집에서 살림 차렸다
- “6년 남친과 동거 끝나” 걸그룹 멤버, 결별 소식 알렸다
- 전현무, ‘20세 연하’ 아나운서 홍주연과 ‘핑크빛’ 못 숨겼다
- ‘황은정과 이혼’ 윤기원 “재혼 후 얻은 아들, 입양 절차 중”
- 신지, ♥문원 논란 이후 핼쑥해진 근황…“마음고생 다이어트”
- 정동원 “결혼해서 아기 낳았다…예쁜 아내, 할머니 닮아”