심한 두통·구토 계속되면 ‘뇌종양’ 의심해봐야

뇌종양은 뇌뿐만 아니라 뇌막, 뇌신경, 두개골, 두피 등에 발생한 종양이다. 발생 경로에 따라 원발성(뇌와 주변부에서 발생)과 전이성(다른 장기로부터 전이됨)으로 구분된다. 원발성 뇌종양은 다른 장기로 전이되지 않고 뇌와 척수 등 중추신경계 안에서만 재발한다.
뇌종양의 가장 흔한 증상은 두통이다. 종양이 커지면서 두개골 내 뇌압을 상승시켜 반복적, 점진적, 지속적인 통증을 유발한다. 진통제를 복용해도 효과가 없고 통증이 점점 악화하거나 새벽이나 아침 시간대에 심한 통증이 나타나면 뇌종양을 의심할 수 있다. 또한 뇌압이 상승하면 구토나 메스꺼움이 생길 수 있는데 이를 소화기 문제로 오인해서 뇌종양 진단이 늦어지는 경우가 많아 주의해야 한다. 종양이 관련된 뇌신경을 압박할 경우 마비, 저림, 언어장애, 의식저하, 경련, 시력감퇴 및 시야축소 등 신경학적 증상이 발생할 수 있다. 뇌피질을 자극해 뇌전증이 동반되기도 한다.

뇌종양은 조직학적 특성에 따라 양성과 악성으로 나눈다. 양성 뇌종양은 성장속도가 1년에 1~2㎜ 미만으로 느리다. 증상이 있거나 주기적으로 MRI를 촬영하며 관찰하다가 성장 속도가 일반적인 경우보다 빠르다고 판단 될 때 치료를 고려해도 늦지 않다. 대표적인 양성 뇌종양에는 뇌를 둘러싼 수막에서 발생한 뇌수막종, 뇌의 정중앙부 하단에 위치한 ‘뇌하수체’에서 발생한 뇌하수체 선종, 뇌신경에서 발생하는 신경초종이 있다.
반면 악성 뇌종양은 진행이 빠르고, 성장하면서 뇌조직을 침범하는 경향을 보인다. 대표적으로 뇌교종은 뇌신경세포를 지지하는 교세포에서 발생하며, 절반 이상이 악성이다. 양성 뇌교종도 시간이 지나면서 악성화되는 경우가 많다. 뇌교종이 발견되면 일부 예외적인 경우를 제외하고, 대부분 증상이 없더라도 치료가 필수적이다. 교모세포종은 뇌교종 중에서도 발생 빈도와 악성도가 가장 높은 치명적인 유형이다. 국내에서 연간 800여명의 환자가 발생한다. 치료받지 않을 경우 평균 생존 기간은 3~6개월이다. 치료 시 약 1년이 연장된다. 교모세포종이 아닌 악성 뇌교종도 핍지교종을 제외하고는 불량한 예후를 보이는 경우가 많다.

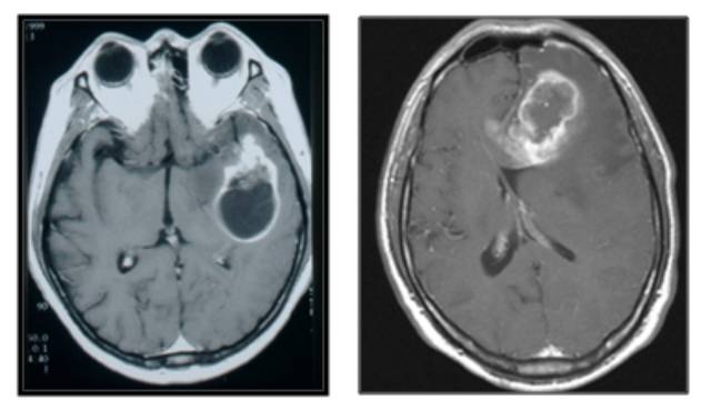
뇌종양 진단의 기본은 MRI 검사다. 이는 뇌종양이 의심될 때 뿐만 아니라 수술 전후 종양의 상태 관찰을 위해 자주 사용된다. 검사에서는 종양 부위를 선명하게 확인할 수 있도록 정맥 조영제를 투여한다.
뇌종양 진단 후에는 연령, 기저질환, 증상, 종양의 크기와 위치, 성장 속도를 검토해 치료 계획을 수립한다. 최종 진단은 수술로 종양을 제거한 후 현미경으로 직접 세포를 관찰하고 종양세포에 대한 유전자 검사를 해 내리게 된다. 이를 통해 뇌종양으로 확진돼야 방사선 치료나 항암화학요법 등 후속 치료를 진행할 수 있다.
뇌종양의 가장 기본적인 치료 방법은 수술이다. 그중 두피·두개골·뇌막까지 절개하고, 종양을 절제하는 개두술이 가장 효과적이고 신속하다. 양성 뇌종양은 개두술을 통해 신경학적 증상 개선과 완치를 기대할 수 있다. 악성 뇌종양에서는 확진을 통한 정확한 치료 계획의 수립과 종양 크기를 줄임으로써 후속 치료 효과를 높여 환자의 수명을 연장할 수 있다.
그 외 수술 방법으로는 두개골을 열지 않고 고용량의 방사선을 종양에 조사하는 방사선 수술, 내시경을 이용해 뇌 기저부 종양에 접근해 제거하는 뇌내시경 수술 등이 있다. 이외에 종양의 종류와 위치에 따라 각성수술, 영상유도수술, 형광유도수술, 수술중 신경 감시 및 매핑 등 특별한 수술보조기법을 이용해서 수술의 정확도와 안정성을 향상시킬 수 있다.
뇌교종처럼 뇌 안에 생기는 뇌종양은 종양 주위를 넓게 절제할 수 없어서 수술로 종양세포를 완전히 제거하기 어렵다. 이에 재발이 잦으며 재발을 예방하기 위해 방사선 치료나 항암화학요법을 병행한다.
방사선 치료는 방사선을 하루에 조금씩 분할 투여해 선택적으로 종양 세포를 죽이는 방법이다. 짧게는 2~3주, 길게는 6~8주 간 매일 치료를 실시한다. 약물 치료는 주로 악성 뇌교종에서 수술이나 방사선 치료와 병용하는 방법이다. 과거 뇌종양은 다른 암에 비해 항암제의 효과가 제한적이라고 알려졌다. 뇌와 뇌혈관 사이에 존재하는 ‘혈관-뇌 장벽’이 항암제가 뇌까지 전달되는 것을 막기 때문이다. 최근에는 이런 한계를 극복하는 다양한 신약과 표적치료제가 개발되어 약물 치료도 활발하게 시도되고 있다.
박철기 서울대병원 신경외과 교수는 “뇌종양 중 완치가 어렵고 손쓸 수 없는 경우도 분명 존재하지만, 대부분의 뇌종양은 치료가 가능하며 특별한 치료 없이 경과 관찰만으로도 평생 문제없이 살아갈 수 있는 경우도 많다”고 전했다. 이어 “최근 국내에서는 대규모 유전자 분석 기법의 도입과 다학제 진료 시스템의 확대로 맞춤형 진료 지침을 더욱 수월하게 수립하고 있다”고 말했다.
이미선 기자 already@dt.co.kr
Copyright © 디지털타임스. 무단전재 및 재배포 금지.
- ‘BI마약 혐의 무마’ 양현석, 징역 6개월·집유 1년 확정
- “사람 떠내려간다” 신고…광주천 신안교 부근서 이틀째 수색
- 2인분 시킨 혼밥女에 “얼른 먹어라” 호통…풍자 극찬한 여수 유명맛집 무슨일
- 2살때 시력 잃고도 늘 웃음을 잃지 않던 20대, 3명 살리고 하늘로 떠났다
- 홈런하면 ‘갤Z폴드7’ 준다…삼성, 3개 구단과 프로야구 연계 마케팅
- 이선균 협박해 3억 뜯은 女실장, 2심서 형량 늘어…“반성하는지 의문”
- ‘3번째 음주운전’ 배우 박상민, 2심도 징역형 집행유예
- 바닷가 여행 후 중요 부위에 ‘뱀’ 같은 발진이…꿈틀대던 ‘이것’ 정체는
- 제주 고교생, 카페 여성화장실서 몰카…다수 동영상 발견
- 학원장이 제자 집 몰래 들어가 귀금속 ‘쓱’…황당 이유