11세 소녀 치아가 무려 81개… 브라질서 무슨 일이?
전체 맥락을 이해하기 위해서는 본문 보기를 권장합니다.
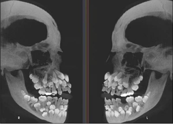
브라질에서 11세 소녀의 입 안에서 치아가 무려 81개가 발견된 희귀 사례가 보고됐다.
최근 베트남 매체 VN익스프레스에 따르면 이달 초 브라질에 사는 A양은 위턱에 있는 유치를 발치하기 위해 치과를 찾았다.
A양은 유치 18개, 영구치 32개, 과잉치 31개, 총 81개의 치아를 갖고 있었다.
이후 진행된 염색체 검사에서 9번 염색체 일부가 거꾸로 뒤집히는 현상이 발견되긴 했지만, A양의 증상과 직접적인 연관성이 있는 지는 불분명하다.
이 글자크기로 변경됩니다.
(예시) 가장 빠른 뉴스가 있고 다양한 정보, 쌍방향 소통이 숨쉬는 다음뉴스를 만나보세요. 다음뉴스는 국내외 주요이슈와 실시간 속보, 문화생활 및 다양한 분야의 뉴스를 입체적으로 전달하고 있습니다.

최근 베트남 매체 VN익스프레스에 따르면 이달 초 브라질에 사는 A양은 위턱에 있는 유치를 발치하기 위해 치과를 찾았다. 그러나 이어진 엑스레이 촬영 결과는 의료진을 충격에 빠뜨렸다. A양은 유치 18개, 영구치 32개, 과잉치 31개, 총 81개의 치아를 갖고 있었다.
이는 희귀 질환인 '다발성 과치증'으로, 정상 치아 개수인 28~32개보다 더 많은 치아를 갖는 질환이다. 과잉치는 1~2개 정도만 발견되는 게 일반적인데 이번처럼 30개가 넘는 과잉치가 확인된 것은 전 세계적으로도 드물다.
CT 검사 결과 다발성 과치증과 흔히 동반되는 구개열, 쇄골두개 이형성증, 가드너 증후군 같은 질환은 나타나지 않았다. 이후 진행된 염색체 검사에서 9번 염색체 일부가 거꾸로 뒤집히는 현상이 발견되긴 했지만, A양의 증상과 직접적인 연관성이 있는 지는 불분명하다.
소녀는 치료에도 어려움을 겪고 있다. 과잉치를 발치할 때는 턱 뼈 손상을 야기할 수 있기에 신중히 접근해야 하고, 잇몸 밖으로 드러나지 않은 치아도 있어 진짜 치아와 과잉치를 구분하기도 쉽지 않다. 현재 A양의 치료를 위해 구강안면외과, 교정과, 치주과, 보철과의 전문의들이 협력을 계획 중이다.
김다솜 기자 dasom0209@mt.co.kr
Copyright © 머니S & moneys.co.kr, 무단 전재 및 재배포 금지
- "15억 줬으니 주 2회 전화해"… 예비 며느리에 '도리' 압박하는 아빠 - 머니S
- 전교 1등 여고생, 빼낸 시험지 없이 기말고사 보자… 수학 40점 '충격' - 머니S
- 여고생과 '성관계'한 교사… "사귀자"는 말에 '잠자리 파트너' 제안 - 머니S
- "오빠가 안 안아주면 다른 남자랑 잔다"… 조울증 아내 막말에 충격 - 머니S
- 아들을 애인처럼 대하는 시모… 호출 거절에 "공황장애 왔다" 거짓말 - 머니S
- 10세 아들 앞에서… 샤워 후 '알몸 활보' 아내, 지적에 "애가 뭘 알아" - 머니S
- 포스코퓨처엠, 2분기 영업익 8억…양극재 부진·전구체 비용 '이중고' - 머니S
- [신년기획] ⑨내 일자리는 안전(?)… 'AI 활용 능력'이 양극화 만든다 - 머니S
- [헬스S] 머리 아플 때마다 찾는 진통제… 두통 더 악화시킨다 - 머니S
- [오늘날씨] "작은 불씨도 조심"… 대기 건조, 최저 '영하 15도' 강추위 - 머니S