발 벗고 나설 수 없는 아픔, 늦기 전에 손봐야
5㎜ 구멍으로 수술…뼈 손상 최소화

무지외반증 환자들은 변형된 발 모양 때문에 여름철 시원한 신발을 신기 어려운 정도를 넘어 지속적인 발의 통증을 감수해야 하는 고충이 있다. 걷기 힘든 정도의 통증을 느낄 정도로 발 형태가 변했다면 치료가 더 어려워지기 전에 수술받는 것이 좋다고 전문가들은 조언한다.
무지외반증으로 병원을 찾는 환자는 특히 발을 노출할 일이 많아지는 여름철에 늘어나는 추세를 보인다. 건강보험심사평가원 통계를 보면 지난해 한 해 동안 7월 환자 수가 가장 많았는데, 전체 환자 중 여성이 79.8%를 차지했다. 이처럼 여성 환자 비율이 월등히 높게 나타나는 이유로는 남성이 비교적 편한 신발을 신는 경향이 있어 발의 변형이 있어도 병원을 찾는 경우가 상대적으로 적다는 점이 꼽힌다.
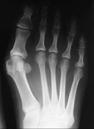
엄지발가락인 무지가 새끼발가락 쪽으로 휘는 무지외반증이 심해지면 돌출되는 엄지 관절 부위가 신발과 반복적으로 마찰하면서 통증과 염증을 유발한다. 대체로 평발이거나 발볼이 넓은 경우, 볼이 좁고 굽이 높은 신발을 자주 신는 경우 무지외반증에 걸릴 위험이 커진다. 환자들에겐 통증이 심한 엄지발가락 주변부를 바닥에 딛지 않고 걸으려는 습관이 생기기 쉬운데, 이 경우 보행 자세에도 이상이 생기면서 무릎이나 허리까지 통증이 나타날 수 있다.
무지외반증은 치료하지 않고 방치하면 계속 악화되는 질환이므로 빠른 치료가 중요하다. 변형이 심하지 않은 초기에는 발가락 교정기 등을 착용해 진행을 어느 정도 막을 수 있다. 하지만 증상이 호전되지 않거나 변형과 통증이 심하다면 교정을 위한 수술이 불가피하다. 무지외반증 수술은 변형된 엄지발가락 주변으로 지나가는 중요한 신경과 인대, 혈관 등의 조직 손상을 피해야 하므로 난도가 높다. 하지만 최근에는 절개하는 부위를 최소한으로 줄여 뼈와 인대 손상도 줄일 수 있는 수술 기법들이 나와 있어 과거보다 부담이 줄었다. ‘미카(MICA)’ ‘미타(MITA)’ 교정술 등은 4~5㎜ 크기의 작은 구멍으로 수술을 진행하고 피부를 봉합할 필요가 없어 흉터는 거의 없고 회복 속도는 빠른 것이 장점이다.
윤영식 바른세상병원 수족부센터 원장은 “증상을 방치하다 무지외반각이 40도 이상의 중증 변형으로 진행될 경우 수술이 더욱 복잡해지며 이후 재발 확률도 높아질 수 있다”며 “엄지발가락은 보행에 매우 중요한 구조물이기 때문에 수술에 대한 두려움으로 치료를 미루기보다는 하루빨리 정확한 진단 후 그에 맞는 치료를 받아야 수술 후 합병증은 적고 좋은 치료 결과를 얻을 수 있다”고 말했다.
김태훈 기자 anarq@kyunghyang.com
Copyright © 경향신문. 무단전재 및 재배포 금지.
- 조갑제 “한덕수 판결은 국민의힘에 대한 정치적 사망 선고”
- 300만원짜리 옷, 사자마자 단추 ‘뚝’···이런 게 ‘명품’이라고?
- 공공 일자리 탈락한 어르신도 웃었다···“‘그냥드림’에서 그냥 가져가세요”
- 전장에 첫 등장 ‘수소 심장 무인기’…우크라군이 띄운 절박한 이유는?
- 베트남행 조정식 특보, 이해찬 전 총리 병원 도착···“여전히 의식 없이 위중”
- “한국을 잡아라” 진격의 수입차…“이러다간 다 뺏긴다” 토종 브랜드의 반격
- 목디스크 수술 후 사후 처치 제대로 안해 환자 사망···50대 의사 벌금형
- 돼지농장은 왜 이주노동자의 무덤이 됐나
- 이 대통령 “220만원에 외국인 고용해 세계 최강 조선, 이상하지 않나”
- 미 쿠팡 투자자들 "한국이 쿠팡 차별" 미무역대표부에 조사 청원···‘쿠팡 사태’ 장기화할까