대장암 초기 진단하면 생존율 94%…“빨리 발견해야 산다” [건강하십니까]

■한국인 사망 원인 1위 '암'…고령화와 직결
한국인의 사망 원인 1위, 무엇일까요? 바로 암입니다.
2023년 인구 10만 명 당 사망자 수가 166.7명. 2위인 심장질환 사망자 수 64.8명의 2.6배입니다. 1983년 이래 2위와의 격차가 점점 커졌습니다. 암 사망자 수는 급격하게 늘어난 반면, 다른 원인에 의한 사망자 수는 감소하거나 완만하게 증가했기 때문입니다.

전국 단위 암 통계 발표가 시작된 1999년 암 발생자 수는 10만여 명이었습니다. 2022년에 28만여 명이 됐으니, 24년간 2.8배가 됐습니다.
이 같은 암 발생자 수 증가는 고령 인구 증가와 밀접한 관련이 있습니다. 65세 이상 인구가 증가하면서 암 발생자 수가 늘어난 걸 그래프로 확인할 수 있습니다.

지난 24년간 암을 진단받아 치료 중이거나 완치된 암 유병자 수는 모두 258만여 명입니다. 국민 20명당 1명입니다. 이를 65세 이상으로 좁혀보면 7명당 1명으로 늘어납니다. 전체 유병자 중 65세 이상 비율이 50.3%로 절반을 넘습니다.
나이가 들수록 암 예방과 관리가 얼마나 중요한지 실감할 수 있습니다.
연중기획 '데이터 리포트-여러분 건강하십니까'를 제작하고 있는 KBS 기획취재팀은 앞으로 몇 차례에 걸쳐 대한민국 암 발생과 치료의 현주소를 진단합니다. 한국인이 잘 걸리는 주요 암별로 위험 요인과 예방 방법, 치료 과정에서 주의할 점 등 꼭 필요한 정보들을 주요 통계와 함께 보도할 계획입니다.
■대장암 24년간 239% 증가…발생자 수 2위
58세 여성 김모 씨는 6월 중순 대장암 수술을 받았습니다. 올해 3월 생애 처음 실시한 대장 내시경 검사에서 암을 확인했습니다. 조직 검사를 해보니 일부 림프절 전이가 확인돼 직장암 3기 진단이 나왔습니다.
"눈에 띄게 혈변을 보거나 설사를 한다거나 그런 건 별로 없었거든요. 그래서 의심도 안했고, 대장 내시경 하는 거를 조금 등한시했던 것 같아요. 그게 후회스러워요."
병원 입원실에서 만난 김 씨의 말입니다. 김 씨는 앞으로 항암 치료와 방사선 치료를 이어가기로 했습니다.

우리 몸 속 대장의 길이는 150cm 정도입니다. 긴 튜브 모양인데 대장을 구성하는 맹장과 결장, 직장에 생기는 악성 종양을 대장암이라 부릅니다.
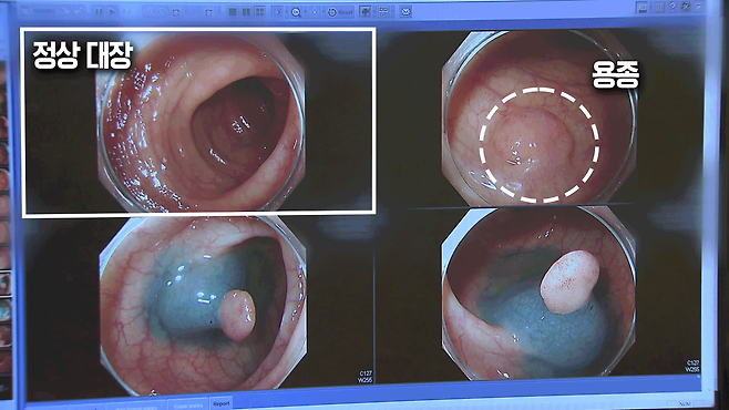
대장암의 징후는 내시경 검사에서 확인할 수 있습니다.

"정상 대장은 내시경을 보면 약간 반짝반짝하고 밑에 혈관도 잘 보입니다. 대장 안에 볼록 튀어나와 있는 게 용종인데요. 용종이 발견되면 내시경으로 절제를 합니다. 용종 중에서도 크기가 크고 넓게 퍼져 있는 용종은 암일 가능성이 있어서 떼어낸 다음 조직 검사를 합니다."
조용범 삼성서울병원 대장암센터장의 설명입니다.

2022년 전체 암 발생자 수는 28만여 명. 이 가운데 대장암은 3만 3천여 명, 11.8%로 갑상선암 다음으로 많았습니다. 1999년 대비 환자 수가 239% 증가했습니다.
■가족력 등 위험군은 대장 내시경 일찍 시작해야
대장암의 위험 요인으로는 식생활과 운동부족, 비만, 음주, 흡연 등을 들 수 있습니다. 돼지고기와 소고기 같은 붉은 고기, 소시지나 햄, 베이컨 같은 육가공품은 대장암 발생 위험을 높입니다.
신체활동과 운동이 부족하면 대변이 대장에 머무는 시간이 길어져 대변 속 발암물질들이 장 점막과 접촉하는 시간이 늘어나 대장암 발생 가능성을 높입니다.
유전적 요인도 대장암 발병에 영향을 주는데, 특히 가족력이 있다면 대장 내시경 검사에 더욱 신경써야 합니다.
조용범 삼성서울병원 대장암센터장은 "보통 45세나 50세 이후에 대장 내시경을 권해드리고 있는데 가족력이 있거나 용종을 예전에 뗀 적이 있으면 조금 더 일찍 대장 내시경을 하시는 게 좋다"고 말했습니다.
■대장암 조기 발견이 나를 살린다…초기 진단 생존율 94%
모든 암이 그렇지만 조기 검진의 중요성은 대장암 통계에서 명확히 확인됩니다.

대장암은 국가암검진 대상암종으로, 50세 이상 남녀에게 매년 검진을 받도록 하고 있습니다. 대장암 검진은 분별잠혈검사를 먼저 한 뒤 이상 소견이 있을 때 대장 내시경 검사를 하는데, 2004년 19.9%였던 수검률이 2023년 70.7%로 크게 증가했습니다.

검진이 늘어나자 암이 초기 단계에서 진단되는 비율도 늘었습니다. 암이 발생한 장기를 벗어나지 않은 국한 단계에서 진단되는 비율이 2022년 54.9%까지 올랐습니다.

대장암의 5년 상대 생존율은 74.6%인데 국한 병기에서 진단하면 94%까지 올라갑니다. 반면 암세포가 다른 부위까지 퍼진 원격전이 단계에서 발견하면 생존율은 20.6%에 그칩니다.
박성찬 국립암센터 대장암센터장은 "대장암의 위험군은 대장 내시경을 자주 해서 대장암의 씨앗이 될 수 있는 대장 용종이나 전 단계 병변을 빨리 발견해서 내시경으로 치료를 빨리 끝내는 것도 대장암을 예방할 수 있는 좋은 방법"이라고 말합니다.
보건복지부는 대장 내시경을 국가암검진 기본 항목에 포함하는 방안을 검토하고 있습니다.
대장암은 별다른 증상이 없어 병을 키우기 쉬운 질병으로 알려져 있습니다. 조기 검진으로 빨리 발견해 치료할수록 생존율이 높아진다는 사실, 명심해야겠습니다.
이와 함께 붉은 고기와 고단백·고지방 식사를 줄이고, 대신 섬유소가 풍부한 음식을 섭취하고, 운동을 꾸준히 하며, 음주와 흡연을 멀리하는 생활 습관도 대장암을 예방하는 좋은 방법입니다.
그래픽: 최창준
■ 제보하기
▷ 전화 : 02-781-1234, 4444
▷ 이메일 : kbs1234@kbs.co.kr
▷ 카카오톡 : 'KBS제보' 검색, 채널 추가
▷ 카카오 '마이뷰', 유튜브에서 KBS뉴스를 구독해주세요!
유광석 기자 (ksyoo@kbs.co.kr)
Copyright © KBS. All rights reserved. 무단 전재, 재배포 및 이용(AI 학습 포함) 금지
- “계엄 경험해본 세대라고 말씀하시니…” 이진관 판사의 질문 [이런뉴스]
- “밤낮없이 내 위치 노출?”…카카오톡이 내놓은 설명은 [잇슈 키워드]
- [단독] 입학준비금은 학부모 쌈짓돈?…명품 사고 취미 생활까지
- ‘신호 위반’ 택시에 쾅…그리고 40초 만에 벌어진 일 [잇슈 키워드]
- 김호중, 교도관에게 금품 강요 받았나…법무부 “진상 조사” [잇슈 컬처]
- [잇슈 키워드] “이상화 선수 경기 수백 번 봤어요”…12년 만에 깨진 세계 기록
- [크랩] 요즘 미국에서 핫하다는 K-소주의 정체
- 계단서 발 헛디딘 의원…귀중한 스테인드글라스 ‘와장창’ [잇슈 SNS]
- 식사 도중 날벼락…피자 레스토랑 덮친 음주 트럭 [잇슈 SNS]
- 범고래의 집요한 추격…사진작가 보트로 피신한 물범 [잇슈 SNS]