치과 발치, 골다공증 치료제 충분히 쉰 후에
약물 종류 따라 91일~1년 이상 중단

골다공증 치료제를 투여하고 있으면 치아를 뽑은 뒤 회복이 늦어져 턱뼈가 괴사할 위험이 커진다. 이런 위험을 막기 위해선 발치 전 골다공증 치료제를 충분한 기간 동안 중단하는 것이 좋다는 연구 결과가 나왔다.
분당서울대병원 내분비대사내과 공성혜 교수와 치과 이효정 교수 연구팀은 골다공증 치료제 투여를 중단한 기간이 길수록 치아 발치 후 턱뼈 괴사 위험이 감소한다는 연구를 국제학술지 ‘네이처 커뮤니케이션’에 게재했다고 19일 밝혔다. 연구진은 골다공증 치료를 받은 환자 15만2299명을 약물 중단 기간에 따라 4개 그룹으로 나눠 비교 분석했다.
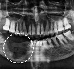
정상적인 뼈는 낡거나 손상된 조직을 제거하는 ‘골흡수’와 새로운 뼈를 만드는 ‘골형성’이 균형을 이뤄 유지된다. 하지만 골다공증 환자의 뼈는 골흡수 속도가 빨라져 점차 가늘고 약해진다. 치료를 위해선 골흡수를 억제해 골밀도를 유지·상승시키는 치료제인 ‘졸레드로네이트’나 ‘이반드로네이트’를 환자 상태에 맞춰 투여한다. 다만 약의 효과로 골흡수가 지나치게 억제되면 낡은 뼈가 잘 제거되지 않고 손상이 누적될 수 있는데, 특히 턱뼈는 이런 상태에서 발치나 임플란트 등 치료를 시행하면 회복이 지연돼 괴사로 이어지기 쉽다.
연구진은 발치 전 효과적인 골다공증 치료제 중단 시점을 분석했다. 그 결과 중단 기간이 길수록 턱뼈 괴사 발생 위험이 유의미하게 감소하는 것으로 나타났다. 턱뼈 괴사 발생률은 약물을 90일 이하 중단한 그룹(1.28%)에서 91~180일 중단한 그룹(0.71%), 365일 이상 중단한 그룹(0.42%)으로 갈수록 낮아졌다.
약물 종류에 따라서도 중단 기간이 턱뼈 괴사 발생률에 미치는 영향에서 차이를 보였다. 이반드로네이트는 91일 이상만 중단해도 괴사 발생률이 크게 감소한 반면, 졸레드로네이트는 1년 이상 중단해야 괴사 발생률이 효과적으로 줄었다. 연구진은 졸레드로네이트의 반감기가 더 길어 체내에 오래 남아 작용하기 때문이라고 설명했다.
공성혜 교수는 “연구 결과 비스포스포네이트를 중단하면 턱뼈 괴사 위험이 낮아질 수 있지만, 한편으로는 중단 기간이 길수록 척추·고관절 골절 위험이 증가하는 경향도 확인됐다”며 “치과 수술이 예정된 골다공증 환자는 약물 중단 여부와 시기를 관련 전문의와 상담해야 한다”고 말했다.
김태훈 기자 anarq@kyunghyang.com
Copyright © 경향신문. 무단전재 및 재배포 금지.
- [속보]대통령 ‘압박’ 통했나···강남3구·용산 아파트값 2년 만에 꺾였다
- 이 대통령의 경고 “불법 계곡시설 은폐 공직자들, 재보고 기회 놓치면···수사·처벌”
- 김동연 “전한길 대관 목적 거짓 위장···윤 어게인 집회가 어떻게 ‘순수한 가족 문화 공연’
- 이 대통령 지지율 67% 최고치…국민의힘 17%, 장동혁 취임 후 최저치 [NBS]
- 대법원 “골프 코스 저작권 있다”…골프존 저작권 소송 파기환송
- [속보]‘박수홍 돈 횡령’ 친형, 징역 3년6개월 대법서 확정···형수는 집행유예
- 김정은과 똑같은 가죽 코트 입은 김주애, 열병식서 아버지보다 정중앙서 걸어
- 공정위, ‘갑질’ 쿠팡에 과징금 21억원 부과···“납품업자 희생 강요·보복성 수단통해 마진
- “백해룡, 확증편향 빠져 무리한 수사”···동부지검 ‘마약수사 외압’ 수사결과 발표
- 병원서 찍은 게 아니라니…5000광년 떨어진 우주서 포착한 ‘투명한 두개골’ 비밀은?