점인 줄 알았는데 치명적 '암'이었다…미리 알 수 있는 방법은 [건강+]

오랜기간 축적된 자외선 때문에 생기는 피부암은 조기에 발견하면 대부분 완치가 가능하다. 그러나 생김새가 점과 비슷해 치료 시기를 놓치는 경우가 많다. 피부암의 치료법부터 자가진단법까지 조성진 서울대병원 피부과 교수와 알아봤다.
1. 피부암이란?
피부암은 피부에 발생한 악성 종양을 총칭하며 표피, 진피 등 피부를 구성하는 모든 조직과 세포에서 발생할 수 있다. 피부암은 피부에서 발생이 시작한 ‘원발성 피부암’, 타 장기에서 발생한 후 피부로 전이된 경우의 ‘전이성 피부암’으로 분류한다. 통상적으로 피부암은 전체의 95%를 차지하는 원발성 피부암을 의미한다.
2. 종류
원발성 피부암은 크게 피부의 멜라닌 세포에서 기원한 악성흑색종과 각질형성세포 등에서 기원한 비흑색종 피부암(흑색종 이외의 피부암)으로 분류할 수 있고, 한국인의 경우 기저세포암과 편평세포암이 흔하고 악성흑색종은 상대적으로 드물다. 피부암전구증은 원발성 피부암으로 진행되기 전 단계 질환으로, 광선각화증이 대표적인 경우이다. 전구증을 단순한 피부질환으로 오인해 치료를 늦출 경우, 암으로 발전할 가능성이 있어 각별한 주의가 필요하다.
3. 위험 인자
자외선이 피부암의 대표적인 위험 인자이다. 이외에도 방사선 노출, 면역 억제, 만성 궤양, 비소 섭취 등이 피부암의 위험을 증가시킬 수 있다.

4. 주요 증상
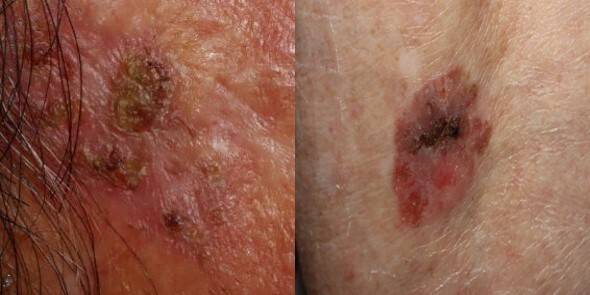
(1) 피부암
피부암은 종류가 매우 다양하며, 피부암의 종류와 발생 부위 등에 따라 여러 가지 모양으로 나타날 수 있다. 기저세포암은 대부분 얼굴에 발생하며, 검은색 혹은 흑갈색의 볼록한 병변 형태로 나타나거나 중심부가 함몰되어 보이는 경우가 많다. 편평세포암은 초기에 붉은 반점처럼 보이지만 점점 병변이 두꺼워지면서 각질과 진물이 동반되고, 심해지면 궤양이나 흉터가 생길 수 있다. 악성흑색종은 아시아인의 경우 주로 손바닥, 발바닥 혹은 손발톱 주위에 발생하며, 처음에는 검은 점처럼 보이지만 계속 병변이 커지면서 불규칙한 형태로 진행한다. 합병증을 동반한 경우를 제외하면, 대부분의 피부암은 그 자체로 통증이나 심한 가려움증을 동반하지 않는다.
(2) 피부암전구증
전구증의 일종인 광선각화증은 얼굴 등 햇빛에 자주 노출되는 피부에 발생하며, 병변이 편평한 붉은 반 형태로 나타나거나 뿔처럼 솟아오르기도 한다. 보웬병도 붉은 판 형태로 발현되며, 육안으로는 습진과 유사하다.
5. 진단
피부암이 의심되는 경우, 확진을 위해 피부조직검사를 시행한다. 기저세포암은 타 장기로의 전이가 비교적 드물지만, 편평세포암이나 악성흑색종은 병기 결정을 위해 CT나 PET 검사를 활용하여 전신 전이 여부를 확인하는 경우가 많다.
6. 치료
피부암은 저절로 호전되지 않으므로, 반드시 적절한 치료를 받아야 한다. 대부분 일차적으로 수술이 고려되며, 암세포를 완전히 제거하기 위해 육안적으로는 정상처럼 보이는 피부 조직도 포함하여 제거한다. 이때 피부 결손이 클 경우, 국소피판술 및 피부이식술 등으로 피부를 재건한다. 타 장기로의 전이가 발견되거나 가능성이 높은 경우에는 수술 이후 전신 항암치료, 방사선치료 등을 진행할 수 있다.
7. 예방 및 자가검진법
자외선이 피부암의 대표적인 위험 인자로 알려져 있다. 야외 활동을 할 경우 2시간 간격으로 자외선차단제를 도포하고 양산을 쓰는 등 자외선 차단을 습관화하는 것이 중요하다.
대부분의 피부암은 조기에 발견하면 완치할 수 있다. 초기 악성흑색종을 발견하기 위한 자가진단법으로 ABCD방법이 널리 알려져 있으며, 이를 다른 피부암에도 적용해 의심증상이 있으면 반드시 피부과 전문의의 검진을 받아야 한다.

ABCD는 각각 비대칭성, 불규칙한 경계, 색조의 다양함과 직경이 6mm 이상을 의미한다. 악성흑색종은 양성모반(점)과 달리 모양이 상하좌우 대칭적이지 않고, 가장자리가 균일하지 않으며, 색조가 검은색, 갈색, 회색 등으로 다양하게 나타날 수 있다. 동시에 점의 크기가 커지거나 직경이 6mm 이상인 특징이 있어, 본인의 피부를 유심히 관찰할 필요가 있다.
이진우 기자 realstone@segye.com
Copyright © 세계일보. 무단전재 및 재배포 금지.
- “통장에 1600만원 찍혀도 컵라면 불렸다” 박형식, ‘식탐’ 소년의 눈물겨운 억대 보상
- “100억 빌딩보다 ‘아버지의 배’가 먼저”… 박신혜·박서진·자이언티가 돈을 쓰는 법
- “비데 공장 알바서 45억 성북동 주택으로”… 유해진, 30년 ‘독기’가 만든 자수성가
- “매일 1만보 걸었는데 심장이”…50대의 후회, ‘속도’가 생사 갈랐다
- “아파트로 돈 버는 시대는 끝난 것 같아요…싹 정리할까 합니다” [수민이가 궁금해요]
- “부모님 빚 갚고 싶었다”… ‘자낳괴’ 장성규가 청담동 100억 건물주 된 비결
- “방배동 1만 평·3000억 가문”…이준혁·이진욱, 집안 배경 숨긴 ‘진짜 왕족’
- ‘냉골방’서 ‘700억’ 인간 승리…장윤정·권상우, 명절에 ‘아파트 한 채 값’ 쓰는 클래스
- “왕십리 맛집 말고 구리 아파트 사라”… 김구라, 아들 그리에게 전수한 ‘14년 인고’의 재테
- “대기업 다니는 너희가 밥값 내라”…사회에서 위축되는 중소기업인들 [수민이가 슬퍼요]