단순 코막힘인줄 알았는데…이마 부풀어올라 ‘깜짝’

단순한 코막힘으로 여겼던 증상이 8살 남자아이의 이마를 불룩하게 만들며 의료진에게 충격을 안겼다. 진단 결과는 두개골 감염성 질환이었다.
의학 학술지 Cureus에는 21일, 아랍에미리트 두바이에 사는 한 건강한 8살 남자아이의 이마가 부풀어 오른 사례가 공개됐다.
아이는 이마 부종과 함께 열, 두통, 감기 같은 증상도 호소했다. 부종은 8cm x 5cm 크기로 커졌고, 코뿌리에서 눈꺼풀 위까지 퍼졌다.
2주 전, 아이는 이미 다른 병원에서 코막힘과 발열로 부비동염(축농증) 진단을 받고 항생제를 일주일간 복용했다.
외상은 없었으며, 혈액검사에서는 백혈구 수치가 12,000/μL로 증가했고, 염증을 나타내는 C-반응성 단백질(CRP)은 38.4 mg/L로 매우 높았다. 세균 배양 검사에서는 균이 검출되지 않았다.
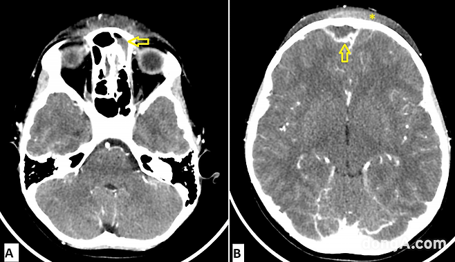
CT 검사 결과, 급성 전두동염(이마 부위 축농증)이 두개골과 그 주변으로 퍼졌다는 사실이 밝혀졌다.
의료진은 뇌와 가까운 부위까지 감염이 퍼지는 희귀 질환인 ‘팟츠 퍼피 종양(Pott’s Puffy Tumor)’을 진단했다.
아이에게는 이마 뼈 속에 고름이 고인 ‘골수염’과 ‘피하 고름집’, ‘두피 염증’까지 나타났다.
병원은 감염내과, 이비인후과, 신경외과, 안과로 팀을 구성해 치료에 나섰다. 고름집의 크기가 비교적 작아 수술은 하지 않고, 세 가지 항생제로 치료하기 시작했다.

이틀 후 아이의 열은 떨어졌고, 염증 수치도 점차 감소했다. 이마 부종과 두통도 서서히 사라졌으며, 3주 만에 입원을 마치고 퇴원해 완전히 회복했다.
팟츠 퍼피 종양은 뇌와 가까운 전두동 감염이 뼈를 녹이며 고름을 형성하는 질환이다. 최근에는 항생제 발달로 매우 드물지만, 제대로 치료하지 않으면 뇌농양, 수막염 등으로 진행해 생명을 위협할 수 있다.
특히 소아에서는 이마 부위 부종이 생기면 외상뿐 아니라 전두동염으로 인한 합병증이 생길 수도 있다.
때문에 두통, 코막힘, 발열이 지속될 때는 반드시 이비인후과 전문의 진료를 받는 것이 중요하다. 이번 사례는 조기 영상검사와 적극적인 항생제 치료만으로 수술 없이 완치된 매우 드문 사례로 평가받고 있다.
최강주 기자 gamja822@donga.com
Copyright © 동아일보. All rights reserved. 무단 전재, 재배포 및 AI학습 이용 금지
- 경찰 “尹·홍장원·김봉식 비화폰 기록 원격으로 삭제돼”
- 이재명 “민간인 국방장관 바람직…남북정상회담 당연히 준비”
- 김문수 “다같이 25만원씩 나눠갖자는 개념, 공산당에도 없을 것”
- 이준석 “단일화 가능성 0%…김문수 사퇴하는 게 옳다”
- 김행 ‘전광훈 공세’ 민주당에 “5년 전 일 연결시켜…후안무치”[정치를 부탁해]
- 내일부터 전세계약 전 ‘집주인 정보’ 열람 가능해진다
- 전공의 추가모집 내일 대부분 마감…대규모 복귀 없을 듯
- 트럼프 “푸틴 완전히 미쳤다”…러-우 휴전 난항에 분노 폭발
- 매일 콜라 2~3리터 마셨더니…방광서 결석 35개 ‘우르르’
- 마라톤 이어 격투기…로봇 기술 맘껏 뽐낸 중국