재채기 참다 결국 ‘여기’ 찢어져…코와 입 막고 참으면 위험
전체 맥락을 이해하기 위해서는 본문 보기를 권장합니다.
재채기 때문에 목이 찢어진 사람이 있다.
그는 코를 잡고 입을 다문 상태에서 재채기를 참다 통증이 시작됐다고 말했다.
의료진은 코를 잡고 입을 다물고 재채기를 참으면서 내부 압력이 급격히 높아져 파열됐다고 진단했다.
재채기하는 동안 입과 코를 닫았을 때 상기도의 압력은 평소에 비해 20배 이상 증가하는 걸로 추정된다.
이 글자크기로 변경됩니다.
(예시) 가장 빠른 뉴스가 있고 다양한 정보, 쌍방향 소통이 숨쉬는 다음뉴스를 만나보세요. 다음뉴스는 국내외 주요이슈와 실시간 속보, 문화생활 및 다양한 분야의 뉴스를 입체적으로 전달하고 있습니다.
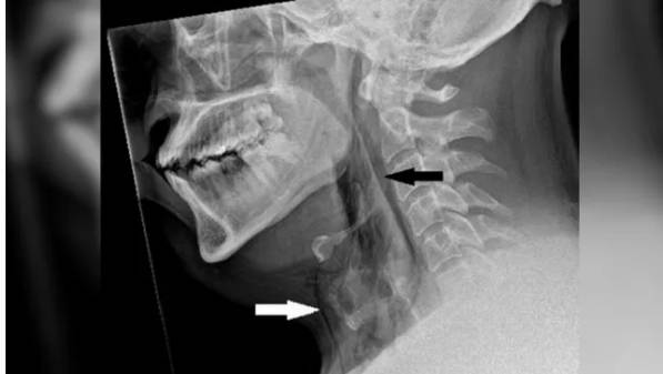
![기관지가 찢어진 남자의 X-선 이미지로 흰색과 검은색 화살표 부위가 피부 아래에 갇힌 공기 영역이다. 재채기를 참다 기관지가 찢어진 첫 사례다. [BMJ Case Reports 캡쳐]](https://img2.daumcdn.net/thumb/R658x0.q70/?fname=https://t1.daumcdn.net/news/202505/24/KorMedi/20250524085218557xowh.jpg)
재채기 때문에 목이 찢어진 사람이 있다.
영국에 사는 30대 남성이 목이 붓고 극심한 통증을 참으며 응급실에 갔다. 그는 코를 잡고 입을 다문 상태에서 재채기를 참다 통증이 시작됐다고 말했다. 건초열을 앓고 있던 그는 운전 중이라 재채기를 참았다.
이 남성은 숨을 쉬거나 음식을 삼키거나 말하는 데 아무런 문제가 없었다. 의료진은 그의 목을 검사하면서 희미하게 딱딱거리는 소리를 들었다. 엑스레이를 찍어보니 공기가 피부 아래 조직에 갇힌 상태인 외과적 폐기종의 징후가 있었다.
CT 스캔 결과 이 환자는 목의 세 번째와 네 번째 뼈 사이가 찢어져 있었다. 공기가 목의 조직과 폐 사이 공간으로 빠져나갈 수 있었다. 구멍 크기는 가로 세로 약 2mm 정도였다.
의료진은 코를 잡고 입을 다물고 재채기를 참으면서 내부 압력이 급격히 높아져 파열됐다고 진단했다. 환자의 찢어진 목 부위를 수술하는 대신 이틀 동안 입원 상태에서 산소 수치와 기타 활력 징후를 주의 깊게 관찰했다. 첫날에는 음식을 주지 않았다. 환자는 진통제와 건초열 약을 처방받고 2주 동안 격렬한 활동을 피하라는 권고를 듣고 퇴원했다. 5주 뒤 CT 스캔에서 찢어진 부위가 완전히 아물었다는 결과가 나왔다.
재채기하는 동안 입과 코를 닫았을 때 상기도의 압력은 평소에 비해 20배 이상 증가하는 걸로 추정된다. 의료진은 "입을 다문 상태에서 코를 잡고 재채기를 참지 말아야 한다"고 보고서에 썼다.
일반적인 기관지 파열은 주로 외상에 의해 일어난다. 또 갑상선 제거, 기관이나 식도에 튜브를 삽입 등 의료 과정에서 발생하기도 한다.
재채기로 인해 기관지가 찢어진 첫 보고인 이 사례는 영국의사협회 학술지인 'BMJ Case Reports'에 'Spontaneous tracheal perforation following a sneeze'란 제목으로 실렸다.
김성훈 기자 (kisada@kormedi.com)
Copyright © 코메디닷컴. 무단전재 및 재배포 금지.
- 수지, 잘록 허리+애플힙 비결은 ‘이 운동’? “다이어트에도 좋아” - 코메디닷컴
- "사춘기 생리 없이 15세에 폐경"…75세 노인의 뼈 가진 30대 女, 왜? - 코메디닷컴
- "앱에서 만나 '이 성관계' 하다"...알레르기 쇼크로 사망한 男, 무슨 일? - 코메디닷컴
- "자러 들어간 남편, 몇 시간 뒤 사망"…죽음, 미리 대화 못했다고 후회한 女, 무슨 사연? - 코메디
- “어떻게 만져주는 게 좋아?”…침대서 꼭 물어보라, 본질은 기브앤테이크! - 코메디닷컴
- 원더걸스 혜림 “출산 114일 만에 –17kg”…비결 뭐길래? - 코메디닷컴
- 서효림 “너무 야한가요?”…옷 너머 비치는 늘씬 몸매, 비결은? - 코메디닷컴
- "입술이 퉁퉁, 온몸에 발진"...이사간 집 '이것' 탓에 쇼크 온 40대女, 무슨 일? - 코메디닷컴
- “가슴 보형물 덕에 ‘암’ 빨리 발견?”...샤워 중 멍울 쉽게 잡혔다는 32세女, 진짜? - 코메디닷
- 61세 남보라母 "13명 자녀 낳고도 40대 미모"...가족 모두 '동안 DNA'? - 코메디닷컴