"폐암 검사 아냐?" 오히려 조기 발견 방해…환자단체 목소리 내는 이유

폐암 환자단체가 흉부 X선 검사로는 암을 조기 발견할 수 없다며 인공지능(AI) 진단 보조 시스템의 도입, 저선량 흉부 CT 검사 대상 확대 등을 국회에 공식 요청했다. 오히려 흉부 X선 검사를 받았다고 안심하는 것이 폐암 진단을 방해할 수 있다고 했다. 실제 보건복지부는 환자단체 등의 주장을 수용해 올해부터 국가건강검진 결과지에 "흉부 X선은 폐암 선별 검사가 아니다"는 문구를 삽입했다. 하지만 이런 사실을 모르는 사람이 의외로 많다.
한국폐암환우회는 전날 국회 보건복지위원회 소속 더불어민주당 김윤 의원에게 폐암 검진 사각지대 해소를 위한 정책 제안서를 전달했다고 21일 밝혔다.
이 자리에서 조정일 폐암환우회장은 "현재 2년마다 진행되는 건강검진에 포함된 흉부 X선만으로는 폐암을 조기에 발견할 수 없다"고 지적했다. 이어 "오히려 흉부 X선 검사로 폐암 발견이 가능할 것이라는 오해가 조기 진단을 막는다"며 △흉부 X선 검사에 AI 판독 보조 시스템의 도입과 접목 △흡연력 외에 폐암 가족력 등을 고려한 저선량 흉부 CT 검사 대상 확대 등을 제안했다.

폐암은 국내 암 사망률 1위로 매년 약 3만명의 신규 환자가 발생한다. 2023년 기준 암 사망자 8만5271명 중 폐암이 1만8646명으로 5명 중 1명(21.9%)을 차지할 만큼 위험한 암이다. 조기 발견 시 5년 생존율은 80% 이상이지만, 초기 증상이 거의 없고 기침·가래 등 일반적이라 뒤늦게 발견하는 경우가 많기 때문이다. 최천웅 강동경희대병원 호흡기알레르기내과 교수는 "폐에는 통증을 느끼는 신경이 없다. 늑간·뼈로 전이될 때 통증이 나타나는데 그때는 굉장히 많이 진행한 것"이라 말했다.
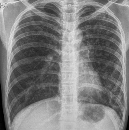
폐암을 조기 진단하는 가장 좋은 방법은 정기 검진이다. 다만, 환자 단체의 주장처럼 2년마다 전 국민을 대상으로 진행하는 건강검진 기본 항목의 '흉부 X선 촬영'은 폐암을 조기에 발견하는데 도움을 주지 못한다. 폐결핵이나 기관지염과 같은 다른 폐 질환을 잡는 데는 유용하지만 암은 예외다. 박동원 한양대병원 호흡기알레르기내과 교수는 "폐암 조기 진단에 흉부 X선이 무용하다는 것은 이미 여러 연구로 증명된 사실"이라 말했다. 보건복지부도 지난 1월부터 공단 건강검진 결과지에 "흉부 촬영 검사는 폐결핵 진단 검사이며 폐암 선별 검사는 아니다"는 문구를 삽입하고 있다.

이유가 뭘까. 첫째 낮은 해상도다. 흉부 X선은 크기가 1c㎝ 정도로 큰 폐암은 찾을 수 있지만 이보다 작은 건 발견하기가 힘들다. 건강검진의 목적이 '조기 진단'인데 커진 다음에야 발견할 수 있어 효용성이 적다.
둘째, 정확도가 낮다. 임형석 폐암환우회 이사는 "폐암 환자 중에서는 6개월간 기침과 흉통에 시달려 흉부 X선 검사를 받았는데 결과가 '정상'으로 나왔다가, 이로부터 반년이 지나 폐에 8㎝ 크기의 암이 뒤늦게 발견된 사례도 있다"고 말했다. 가능성 있는 일이다. 최천웅 교수는 "인체는 3차원인데 X선은 2차원 평면 촬영이라 다른 게 겹친 부위에 음영(그림자)이 생긴다"고 말했다.
박동원 교수는 "심장과 척추 등이 위치한 몸의 중앙 부위 폐암이 특히 잘 안 보인다"며 "주변 장기에 인접해 있거나 모양이 앞뒤로 길쭉한 경우, 혹은 딱딱하지 않은 간유리음영의 결절은 X선에서는 발견이 어렵기 때문에 흉부 X선으로 빨리 찾기 어려운 경우가 존재한다"고 했다.

현재 폐암 진단에 효용성을 입증한 '조기 진단' 도구는 저선량 흉부 CT다. 국가 암 검진 사업에 따라 54~74세, 30갑년 이상 흡연자는 5년마다 무료 검사가 시행된다. 조 회장은 "국내 폐암 환자의 40%는 비흡연자이고 여성 환자의 90%는 흡연력이 없다"며 "AI 기술 도입과 함께 저선량 CT 검진 대상을 확대해야 폐암 환자의 실질적 생존율을 높일 수 있다"고 말했다.
그러나 저선량 흉부 CT가 비흡연자 암 진단에 얼마나 도움이 되는지, 소모되는 의료자원 대비 사망률 감소 효과가 얼마일지 등이 명확하지는 않다. 박동원 교수는 "암 국가 검진은 많이 하는 게 목적이 아니라 흡연력 등 폐암 발생 고위험군을 잘 선별해 검진을 적용하는 것이 우선"이라며 "이를 위해 더 많은 연구와 사회적 합의가 필요하다"고 말했다. 그는 "폐질환 진단에서 흉부 X선의 전통적인 역할을 고려할 때 여전히 전국민을 대상으로 한 흉부 X선 검사가 필요한 것도 사실"이라고 덧붙였다. 최천웅 교수는 "원칙적으로 CT를 찍기 전에 과거 흉부 X선 사진을 보는 게 중요하다. 옛날에도 점이 있는데 10년간 똑같으면 괜찮은 것"이라며 "가능한 단일 병원에서 검진받아 연속성 있게 검사 결과를 확인하길 권한다"고 조언했다.
박정렬 기자 parkjr@mt.co.kr
Copyright © 머니투데이 & mt.co.kr. 무단 전재 및 재배포, AI학습 이용 금지.
- "아내가 시동생과 불륜"…목격한 시부 침묵한 이유가 '경악' - 머니투데이
- 강원래 "사라지고 싶다" "푹 자고 싶다"…팬들 걱정 산 SNS 글 - 머니투데이
- 결정사 간 '46세' 이정진 "난 자산 40억, 고졸"…여성 조건은? - 머니투데이
- 심형래 "이혼 후 만난 女, 스토커…독 탔을까 봐 음식도 못 먹어" - 머니투데이
- 이건주, 친동생 44년 만에 찾았다…프랑스서 끌어안고 오열 - 머니투데이
- "야 못생긴 X아" 드라마 촬영장 폭언에...아이돌 출신 배우가 한 행동 - 머니투데이
- "주식 폭망, 심장마비 올 듯"...홍석천, 입양 딸 결혼 앞두고 '패닉' - 머니투데이
- "230만원 노트북 샀는데 '낡은 패딩' 왔다"...택배기사가 '바꿔치기' - 머니투데이
- 20만전자·100만닉스 깨졌는데...다시 뛴다? 목표가는 줄상향, 왜 - 머니투데이
- '과거 6억 빚' 윤종신 "장항준 집=유토피아...가난한데 해맑아" - 머니투데이