“남들은 모르지만”…안면 비대칭 고민이라면 ‘이것’ 먼저 알아야
![비대칭을 고치고 싶다면, 먼저 '어디가 비대칭인지' 알아야 한다. [사진= 게티이미지뱅크]](https://img3.daumcdn.net/thumb/R658x0.q70/?fname=https://t1.daumcdn.net/news/202505/01/KorMedi/20250501150558489pjou.jpg)
그동안 세 번에 걸쳐 안면비대칭에 대해 설명드렸습니다.
이번 글은 그 마지막 편입니다.
안면비대칭에 대해 이야기할 때, 항상 가장 먼저, 그리고 가장 중요하게 강조 드리는 점이 있습니다.
"대부분의 안면비대칭은 남의 눈에 띄지 않고, 수술이 필요한 경우 역시 거의 없다."
하지만, 안면비대칭을 교정하고 싶다면, 수술 외의 방법으로 의미 있는 개선을 기대하기 어렵다는 것 또한 사실입니다.
비대칭으로 스트레스를 받는 분들 중, "남들에게는 보이지 않으니 괜찮다"라는 말에 안심하는 경우도 많습니다.
그러나 결국 그 집착을 떨쳐내지 못하고, 또 다른 시도를 반복하는 경우 역시 자주 봐왔습니다. 그래서 '남의 눈에 띄지 않으니 너무 걱정하지 마세요'라는 말이, 자칫하면 '착하지만 허망한 조언'이 되어버리는 건 아닐까 걱정이 되기도 합니다.
비대칭을 고치고 싶다면, 먼저 '어디가 비대칭인지' 알아야 합니다. 얼굴이 비대칭이라는 많은 분들이, 정작 어디가, 어떻게 비대칭인지는 제대로 알지 못합니다. 지난 칼럼에서는 이와 관련해 비대칭을 이해하는 데 꼭 알아야 할 두 가지 요소를 설명드렸습니다.
첫 번째는, 비대칭을 볼 때는 '턱 끝 중심의 위치를 기준으로' 봐야 한다는 것입니다.
두 번째는 무의식적인 '보상 자세'입니다. 예를 들어, 턱 끝이 왼쪽으로 치우친 경우 자신도 모르게 고개를 살짝 오른쪽으로 돌려 '중심이 맞는 것처럼' 보이게 만듭니다.
오늘은 여기에 세 번째 중요한 요소를 추가로 설명드리겠습니다.
세 번째는 '입은 턱 끝을 따라 움직인다'는 것입니다.
우리는 흔히 입의 위치가 치아에 의해 결정된다 생각하기 쉽습니다. 하지만, 입은 주변 근육에 의해 사방으로 당겨지며 '공중에 떠 있는 구조'입니다.
![입은 치아를 따라 움직이는 것이 아닙니다. 입은 주변 근육에 의해 사방으로 당겨지며 '공중에 떠 있는 구조'입니다. [사진= Anatomy Next]](https://img4.daumcdn.net/thumb/R658x0.q70/?fname=https://t1.daumcdn.net/news/202505/01/KorMedi/20250501150559892xibo.jpg)
특히 아래입술은 턱끝뼈의 위치에 직접적인 영향을 받습니다.
따라서, 턱 끝이 한쪽으로 치우치면, 입도 그 방향으로 따라가 기울어지게 됩니다.
이 세 가지 요소를 함께 보면, 얼굴 비대칭이 왜 복잡하게 느껴지는지 쉽게 이해할 수 있습니다.
이전에 설명드렸던 이미지와 함께 다시 보겠습니다.
가장 흔히 볼 수 있는 형태의 비대칭은 턱 끝이 한쪽으로 쏠린 형태입니다.

치아의 비대칭이나 기울어짐과 상관없이, 턱 끝이 왼쪽으로 쏠리면 아래 입술은 턱 끝을 따라 왼쪽으로 따라 갑니다.
입이 기울어진 것을 보고 "치아가 기울어졌다"라고 오해하여 치과를 찾는 분들도 많습니다. 하지만, 대부분은 치아와 상관없이 턱 끝의 위치에 의해 발생한 기울어짐입니다. 따라서 교정 치료로는 안면비대칭이나 입의 기울어짐을 해결할 수 없습니다.

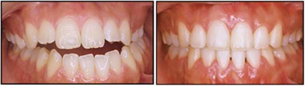
![교정으로 치아의 비대칭이 잘 교정된 예입니다. [사진=Am J Orthod Dentofacial Orthop 2016;150:1028]](https://img2.daumcdn.net/thumb/R658x0.q70/?fname=https://t1.daumcdn.net/news/202505/01/KorMedi/20250501150604441lhga.jpg)
실제 교정으로 치아의 비대칭이 잘 교정된 예를 보겠습니다. 치아 교정으로 치아가 대칭이 되어도, 안면비대칭과 입의 비대칭은 크게 변하지 않고 여전히 남아 있습니다.
![기대와 달리 안면 비대칭은 좋아지지 않았습니다. 입의 기울어짐도 그대로 남아있습니다. [사진=Am J Orthod Dentofacial Orthop 2016;150:1028]](https://img2.daumcdn.net/thumb/R658x0.q70/?fname=https://t1.daumcdn.net/news/202505/01/KorMedi/20250501150605974bqdk.jpg)
교합면과 치아의 중심선은 대칭이 맞았지만, 안면비대칭과 입의 기울어짐이 남았습니다. 위의 내용을 이해하셨다면 이제 이 이유를 잘 알 수 있습니다. 턱 끝의 비대칭이 안면비대칭을 결정하고, 턱 끝의 위치가 입술의 위치를 정하기 때문입니다. 하지만, 정작 치과에서는 이 내용을 알지 못하는 경우가 많습니다.
여기에 더해, 무의식적인 '보상 자세'로 인해. 비대칭은 더 복잡하게 보이게 됩니다.

'보상 자세'입니다. 예를 들어, 턱 끝이 왼쪽으로 치우친 경우 자신도 모르게 고개를 살짝 오른쪽으로 돌려 '중심이 맞는 것처럼' 보이게 만듭니다. 모든 얼굴은 비대칭이므로, 스스로 비대칭이라 인식하지 않은 대부분의 사람들도 사실은 무의식적으로 보상 자세를 취하는 경향이 어느 정도 있습니다.

우리들 대부분이 갖고 있는 비대칭은 대개 현실에서 이런 느낌으로 보입니다. 눈높이에도 차이가, 얼굴의 좌우 높이가 달라 보이며, 입도 기울어 보입니다. 때문에, 비대칭이 고민인 분들은 눈 때문인지, 코 때문인지, 치아 때문인지, 혼란스러워하는 경우가 많습니다. 하지만, 이 모든 비대칭의 대부분은 결국 턱 끝이 한쪽으로 틀어진 것 때문입니다.
물론, 이런 비대칭들은 거의 남의 눈에 띄지 않습니다. 대개 수술도 필요하지 않습니다.
하지만, 정말 해결하고 싶다면, 수술만이 의미 있는 해결책입니다.
지금까지의 과정을 거꾸로 돌려본다면, 비대칭 교정이 훨씬 쉽게 이해됩니다.

먼저 눈을 수평으로 맞춰서 보상 자세를 되돌립니다. 그러면 결국, 턱 끝이 한쪽으로 치우친 것만 남게 됩니다. 수술의 핵심은 턱 끝을 가운데로 이동시키는 것입니다.
실제 안면비대칭을 교정한 전형적인 케이스를 보겠습니다.

오른쪽 눈썹이 높고, 입도 기울어져 있는 등 복잡한 비대칭의 양상처럼 보입니다. 하지만, 눈을 수평으로 맞춰 보상 자세를 없애면 비대칭은 턱 끝에 주로 있다는 것을 알 수 있습니다.

이렇게 얼굴의 축을 맞추고 나면, 턱 끝의 중심을 옮기는 것이 필요하다는 것을 쉽게 알 수 있습니다.

여러 요소가 비대칭을 복잡하게 보이게 만들어, 많은 분들이 쉽게 이해하지 못하시는 것 같습니다.
그런데, 알고 보면 쉬운 내용이지만, 정작 안면비대칭과 관련된 '전문가' 들은 오히려 대부분 이 내용을 잘 알지 못합니다. '전문가'의 특성이 좁은 분야를 깊게 아는 것이므로, 자신의 분야를 벗어난 내용을 인지하지 못하는 '전문가의 오류'에 빠지기 쉽기 때문입니다.
예를 들어 치과의사는 '교합면의 각도'와, '치아 중심선'을 기준으로 안면비대칭을 판단하는 경향이 있지만, 안면비대칭은 이 두 가지 요소와 큰 관련이 없습니다. 단지 치과의 영역에 속하는 부분이기 때문에 이 두 가지에 주목하는 것입니다. 경락이나 마사지, 심지어 한의원 같은 곳들에서 비대칭 교정의 효과를 볼 수 있다고 주장하는 것도 '보상 자세'에 주목하기 때문입니다. 하지만 안면비대칭은 이런 요소들을 교정하여 해결할 수 없습니다.
이 때문에, 여러 의미 없는 치료들을 시도하시면서 고생하시는 분들이 많은 것 아닌가 하는 생각입니다.
최근 4회에 걸쳐 설명드린 안면비대칭에 대한 내용은, 실제 진료 현장에서 환자분들께 늘 설명드리는 내용입니다.
거듭 말씀드린 내용이지만, 마지막으로 한 번 더 설명하며, 안면비대칭 시리즈를 마무리하겠습니다.
실제로 대부분의 안면비대칭은 남들이 쉽게 눈치채지 못합니다. 그리고 많은 경우, 수술이 필요하지 않습니다. 하지만, 정말로 비대칭을 교정하고 싶다면, 수술 외의 방법으로는 의미 있는 개선을 기대하기 어렵습니다. 단지 수술이 무섭고 부담스러워서, 효과가 없는 방식에 큰 비용을 들이는 선택은 피하셨으면 합니다.

박준규 원장 (parks@kormedi.com)
Copyright © 코메디닷컴. 무단전재 및 재배포 금지.
- 한그루 “7kg 찌운 거 맞아?”…늘씬 탄탄 몸매 비결, ‘이것’ 덕분? - 코메디닷컴
- 40세부터 쭉...날씬+탄탄 몸매 유지하는 비결은? - 코메디닷컴
- 이영애 “쫄면에 ‘이것’ 넣어 먹어”…혈당 관리에 좋다고? - 코메디닷컴
- “성관계하라, 진심으로 행복해지고 싶다면”…다만 ‘이런 식’으로 - 코메디닷컴
- “어떻게 만져주는 게 좋아?”…침대서 꼭 물어보라, 본질은 기브앤테이크! - 코메디닷컴
- "앱에서 만나 '이 성관계' 하다"...알레르기 쇼크로 사망한 男, 무슨 일? - 코메디닷컴
- 서효림 “너무 야한가요?”…옷 너머 비치는 늘씬 몸매, 비결은? - 코메디닷컴
- "이유없이 39℃까지 고열"...식사 때 삼킨 2.5cm '이것', 간에 박혔다고? - 코메디닷컴
- “가슴 보형물 덕에 ‘암’ 빨리 발견?”...샤워 중 멍울 쉽게 잡혔다는 32세女, 진짜? - 코메디닷
- 61세 남보라母 "13명 자녀 낳고도 40대 미모"...가족 모두 '동안 DNA'? - 코메디닷컴